| UNIPROT | Q8MJD1 |
| Иммуноген | RPA181Ca01-Recombinant Neutrophil Elastase (NE) |
Polyclonal Antibody to Neutrophil Elastase (NE) (PAA181Ca01)
Реактивность подтвержденная:
собака
Источник (хозяин):
кролик
Валидировано для:
IHC
WB
Характеристики
Техническое описание
| Русское название | PAA181Ca01 Поликлональное антитело к нейтрофильной эластазе (собака) <Cloud-Clone,Китай> |
| Каталожный номер | PAA181Ca01 |
| Название антигена | Elastase 2, Neutrophil (ELA2) |
| UNIPROT | Q8MJD1 |
| Иммуноген | RPA181Ca01-Recombinant Neutrophil Elastase (NE) |
| Английские синонимы | ELANE, HLE, HNE, NE, PMN-E, Neutrophil Elastase, Medullasin, Polymorphonuclear Leukocyte Elastase, Bone Marrow Serine Protease, Human Leukocyte Elastase, PMN Elastase, Anti-Neutrophil Elastase Antibody (ANEA) |
Реактивность подтвержденная Нужна другая реактивность? |
собака |
| Реактивность предсказываемая | человек |
| Источник (хозяин) | кролик |
| Клональность | поликлональное |
| Рекомбинантное | нет |
| Готовое к использованию | нет |
| Концентрация | 0.5 мг/мл |
| Конъюгат | По запросу: HRP, biotin, PerCP, PE, Cy3, FITC, Cy7, Cy5.5, PE-Cy5, PE-Cy7, PerCp-Cy5.5, APC, Cy5, PE-Cy3, PE-Cy5.5, APC-Cy7, Biotin-APC, FITC-Biotin, TRITC, APC-Cy5, AF488, AF594, AF405, AF555, AF700, AF647, AF750 |
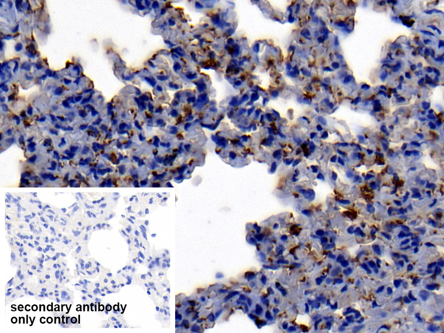
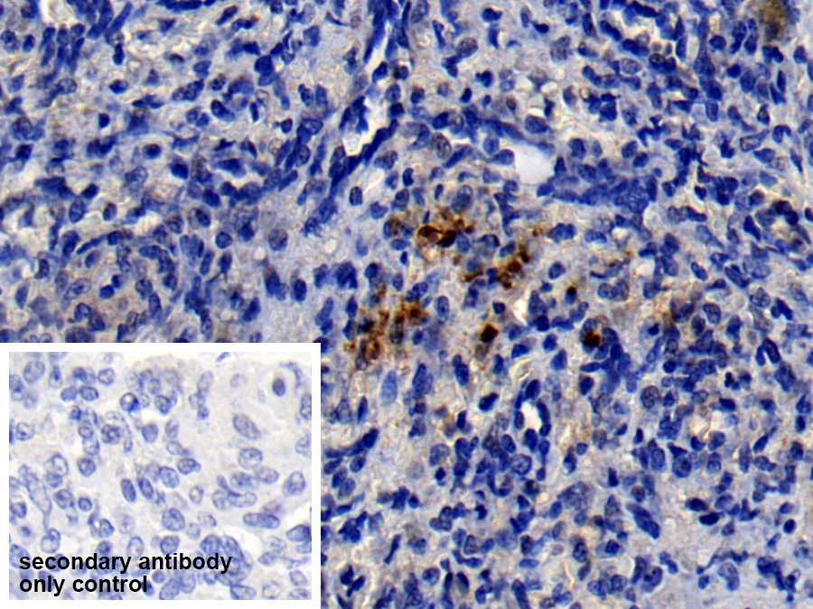
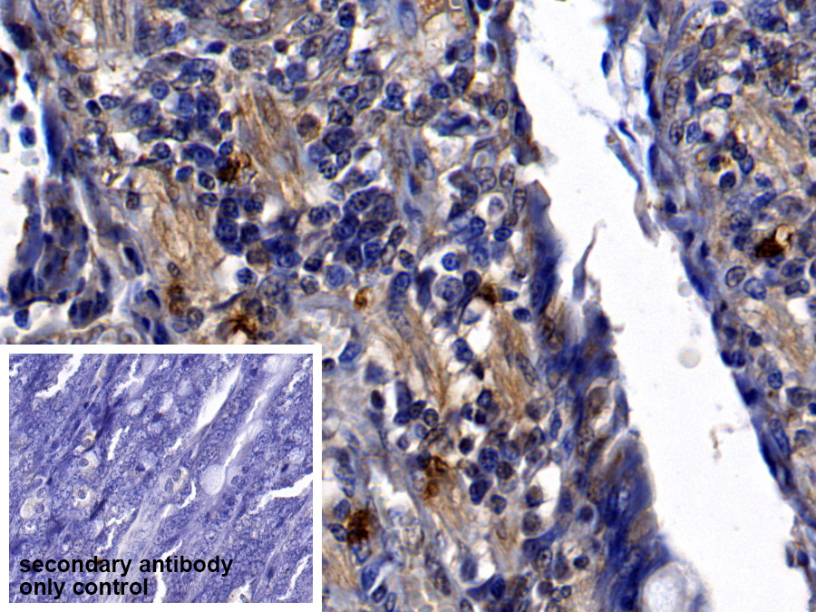
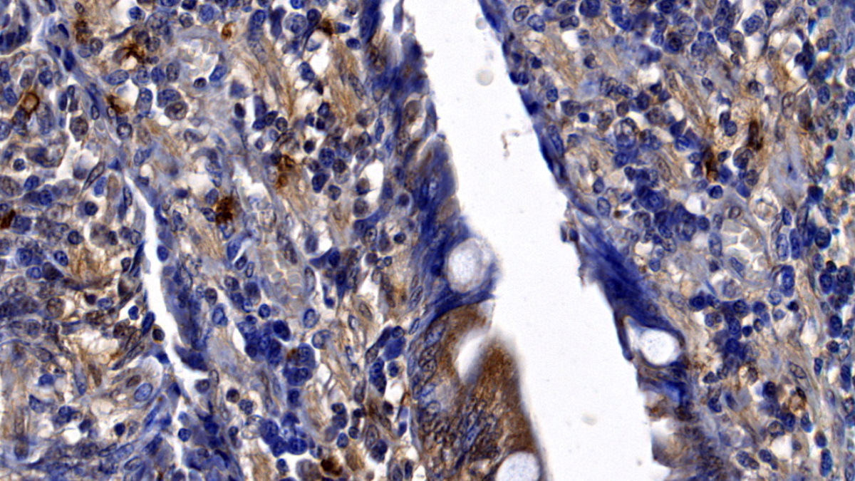
| Валидировано для | IHC WB Иммуногистохимия; Вестерн-блоттинг |
| Рекомендуемые разведения | WB: 0.01-2 мкг/мл; IHC: 5-20 мкг/мл; Оптимальное разведение определяется конечным потребителем |
| Метод очистки | Антигенспецифическая аффинная хроматография с последующей аффинной хроматографией с белком А |
| Состав буфера | 0.01M PBS, pH7.4, 0.05% Proclin-300, 50% глицерин |
| Условия доставки | термобокс с аккумуляторами холода |
| Условия хранения | Сразу после получения аликвотировать и хранить при -20ºС до 24 месяцев. Для частого использования хранить при +4ºС не более 2 недель. Избегать повторения циклов замерзания/оттаивания |
| Срок хранения | 24 месяца |
| Производитель | Cloud-Clone Corp. |
| Ссылка на страницу товара на сайте производителя | http://www.cloud-clone.com/products/PAA181Ca01.html |
|
Артикул
|
Наименование |
Производитель
|
|---|
|
Артикул
|
Наименование |
Производитель
|
|---|
|
Артикул
|
Наименование |
Производитель
|
|---|
|
Артикул
|
Наименование |
Производитель
|
|---|
|
Артикул
|
Наименование |
Производитель
|
|---|
|
Артикул
|
Наименование |
Производитель
|
|---|
|
Артикул
|
Наименование |
Производитель
|
|---|
Акции и предложения
Популярные продукты:
Anti-Human CKMB Antibody (R4D88) (RHC21102)
Источник (хозяин): мышь
Реактивность подтвержденная: человек
Валидировано для: CLIA, ELISA
Реактивность подтвержденная: человек
Валидировано для: CLIA, ELISA
Mouse Copine 1(CPNE1) ELISA kit (E03C2010)
Организм: мышь
Rat Chemokine Like Factor ELISA kit (E02C0596)
Организм: крыса
Goat Granzyme A ELISA kit (E06G0375)
Организм: коза
Mouse Malondialdehyde ELISA kit (E03M0023)
Организм: мышь
Диапазон определения: 2.5-50 нг/мл
Чувствительность: 0.1 нг/мл
Диапазон определения: 2.5-50 нг/мл
Чувствительность: 0.1 нг/мл
Bovine GATA Binding Protein 4 ELISA kit (E11G0093)
Организм: корова

