| UNIPROT | Q8IVI9 |
| Иммуноген | RPA628Hu01-Recombinant Nitric Oxide Synthase Trafficker (NOSTRIN) |
Polyclonal Antibody to Nitric Oxide Synthase Trafficker (NOSTRIN) (PAA628Hu01)
Реактивность подтвержденная:
человек
Источник (хозяин):
кролик
Валидировано для:
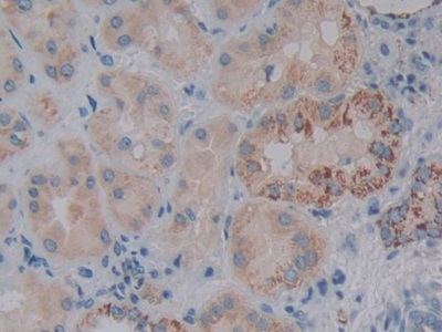
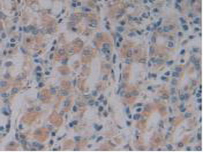
IHC
Характеристики
Техническое описание
| Русское название | PAA628Hu01 Поликлональное антитело к NOSTRIN (человек) <Cloud-Clone,Китай> |
| Каталожный номер | PAA628Hu01 |
| Название антигена | Nitric Oxide Synthase Trafficker (NOSTRIN) |
| UNIPROT | Q8IVI9 |
| Иммуноген | RPA628Hu01-Recombinant Nitric Oxide Synthase Trafficker (NOSTRIN) |
| Английские синонимы | BM247 homolog, Nitric oxide synthase traffic inducer, eNOS-trafficking inducer |
Реактивность подтвержденная Нужна другая реактивность? |
человек |
| Реактивность предсказываемая | мышь |
| Источник (хозяин) | кролик |
| Клональность | поликлональное |
| Рекомбинантное | нет |
| Готовое к использованию | нет |
| Концентрация | 500 мкг/мл |
| Конъюгат | По запросу: HRP, biotin, PerCP, PE, Cy3, FITC, Cy7, Cy5.5, PE-Cy5, PE-Cy7, PerCp-Cy5.5, APC, Cy5, PE-Cy3, PE-Cy5.5, APC-Cy7, Biotin-APC, FITC-Biotin, TRITC, APC-Cy5, AF488, AF594, AF405, AF555, AF700, AF647, AF750 |
| Валидировано для | IHC Иммуногистохимия |
| Рекомендуемые разведения | WB: 0.5-2 мкг/мл; IHC: 5-20 мкг/мл; ICC: 5-20 мкг/мл; Оптимальное разведение определяется конечным потребителем |
| Метод очистки | Антигенспецифическая аффинная хроматография с последующей аффинной хроматографией с белком А |
| Состав буфера | 0.01M PBS, pH7.4, 0.05% Proclin-300, 50% глицерин |
| Условия доставки | термобокс с аккумуляторами холода |
| Условия хранения | Сразу после получения аликвотировать и хранить при -20ºС до 24 месяцев. Для частого использования хранить при +4ºС не более 2 недель. Избегать повторения циклов замерзания/оттаивания |
| Срок хранения | 24 месяца |
| Производитель | Cloud-Clone Corp. |
| Ссылка на страницу товара на сайте производителя | http://www.cloud-clone.com/products/PAA628Hu01.html |
|
Артикул
|
Наименование |
Производитель
|
|---|
|
Артикул
|
Наименование |
Производитель
|
|---|
|
Артикул
|
Наименование |
Производитель
|
|---|
|
Артикул
|
Наименование |
Производитель
|
|---|
Акции и предложения
Популярные продукты:
PPP1R14B Mouse Monoclonal Antibody (BF9413)
Источник (хозяин): мышь
Реактивность подтвержденная: человек
Валидировано для: WB
Реактивность подтвержденная: человек
Валидировано для: WB
Bovine Adenylate kinase isoenzyme 1(AK1) ELISA kit (E11A1347)
Организм: корова
Guinea Pig Alanyl tRNA synthetase, cytoplasmic(AARS) ELISA kit (E05A1121)
Организм: морская свинка
Rat Calmegin(CLGN) ELISA kit (E02C1790)
Организм: крыса
Canine Protein kinase C Alpha ELISA kit (E08P0670)
Организм: собака

