| UNIPROT | Q5I0D6 |
| Иммуноген | RPA628Ra01-Recombinant Nitric Oxide Synthase Trafficker (NOSTRIN) |
Polyclonal Antibody to Nitric Oxide Synthase Trafficker (NOSTRIN) (PAA628Ra01)
Реактивность подтвержденная:
крыса
Источник (хозяин):
кролик
Валидировано для:
IHC
WB
Характеристики
Техническое описание
| Русское название | PAA628Ra01 Поликлональное антитело к NOSTRIN (крыса) <Cloud-Clone,Китай> |
| Каталожный номер | PAA628Ra01 |
| Название антигена | Nitric Oxide Synthase Trafficker (NOSTRIN) |
| UNIPROT | Q5I0D6 |
| Иммуноген | RPA628Ra01-Recombinant Nitric Oxide Synthase Trafficker (NOSTRIN) |
| Английские синонимы | BM247 homolog, Nitric oxide synthase traffic inducer, eNOS-trafficking inducer |
Реактивность подтвержденная Нужна другая реактивность? |
крыса |
| Источник (хозяин) | кролик |
| Клональность | поликлональное |
| Рекомбинантное | нет |
| Готовое к использованию | нет |
| Концентрация | 500 мкг/мл |
| Конъюгат | По запросу: HRP, biotin, PerCP, PE, Cy3, FITC, Cy7, Cy5.5, PE-Cy5, PE-Cy7, PerCp-Cy5.5, APC, Cy5, PE-Cy3, PE-Cy5.5, APC-Cy7, Biotin-APC, FITC-Biotin, TRITC, APC-Cy5, AF488, AF594, AF405, AF555, AF700, AF647, AF750 |
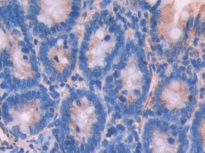
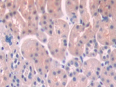
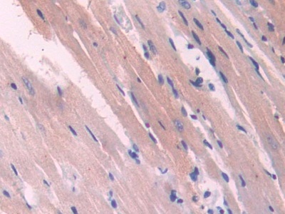
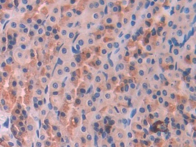
| Валидировано для | IHC WB Иммуногистохимия; Вестерн-блоттинг |
| Рекомендуемые разведения | WB: 0.5-2 мкг/мл; 1:250-1000; IHC: 5-20 мкг/мл; 1:25-100; ICC: 5-20 мкг/мл; 1:25-100; Оптимальное разведение определяется конечным потребителем |
| Метод очистки | Антигенспецифическая аффинная хроматография с последующей аффинной хроматографией с белком А |
| Состав буфера | 0.01M PBS, pH7.4, 0.05% Proclin-300, 50% глицерин |
| Условия доставки | термобокс с аккумуляторами холода |
| Условия хранения | Сразу после получения аликвотировать и хранить при -20ºС до 24 месяцев. Для частого использования хранить при +4ºС не более 2 недель. Избегать повторения циклов замерзания/оттаивания |
| Срок хранения | 24 месяца |
| Производитель | Cloud-Clone Corp. |
| Ссылка на страницу товара на сайте производителя | http://www.cloud-clone.com/products/PAA628Ra01.html |
|
Артикул
|
Наименование |
Производитель
|
|---|
|
Артикул
|
Наименование |
Производитель
|
|---|
|
Артикул
|
Наименование |
Производитель
|
|---|
Акции и предложения
Популярные продукты:
Human ADP ribosylation factor 1(ARF1) ELISA kit (E01A1624)
Организм: человек
Диапазон определения: 100-2500 пг/мл
Чувствительность: 1 пг/мл
Диапазон определения: 100-2500 пг/мл
Чувствительность: 1 пг/мл
Canine Kruppel Like Factor 15 ELISA kit (E08K0029)
Организм: собака
Canine Histone deacetylases 1 ELISA kit (E08H1403)
Организм: собака
Monkey Monoamine oxidase A ELISA kit (E09M0225)
Организм: обезьяна
Canine Hedgehog Homolog, Sonic ELISA kit (E08S0104)
Организм: собака
Диапазон определения: 100-2500 пг/мл
Чувствительность: 1 пг/мл
Диапазон определения: 100-2500 пг/мл
Чувствительность: 1 пг/мл

