| UNIPROT | P06748 |
| Иммуноген | RPC664Hu02-Recombinant Nucleophosmin 1 (NPM1) |
Polyclonal Antibody to Nucleophosmin 1 (NPM1) (PAC664Hu02)
Реактивность подтвержденная:
человек
Источник (хозяин):
кролик
Валидировано для:
FCM
IHC
WB
Характеристики
Техническое описание
| Русское название | PAC664Hu02 Поликлональное антитело к NPM1 (человек) <Cloud-Clone,Китай> |
| Каталожный номер | PAC664Hu02 |
| Название антигена | Nucleophosmin (NPM) |
| UNIPROT | P06748 |
| Иммуноген | RPC664Hu02-Recombinant Nucleophosmin 1 (NPM1) |
| Английские синонимы | B23, NPM1, Nucleolar Phosphoprotein B23, Numatrin, Nucleophosmin/Nucleoplasmin Family,Member 1, Nucleolar protein NO38 |
Реактивность подтвержденная Нужна другая реактивность? |
человек |
| Реактивность предсказываемая | мышь, крыса |
| Источник (хозяин) | кролик |
| Клональность | поликлональное |
| Рекомбинантное | нет |
| Готовое к использованию | нет |
| Концентрация | 0.5 мг/мл |
| Конъюгат | По запросу: HRP, biotin, PerCP, PE, Cy3, FITC, Cy7, Cy5.5, PE-Cy5, PE-Cy7, PerCp-Cy5.5, APC, Cy5, PE-Cy3, PE-Cy5.5, APC-Cy7, Biotin-APC, FITC-Biotin, TRITC, APC-Cy5, AF488, AF594, AF405, AF555, AF700, AF647, AF750 |
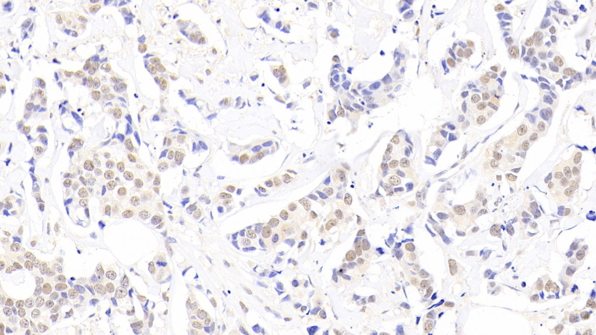
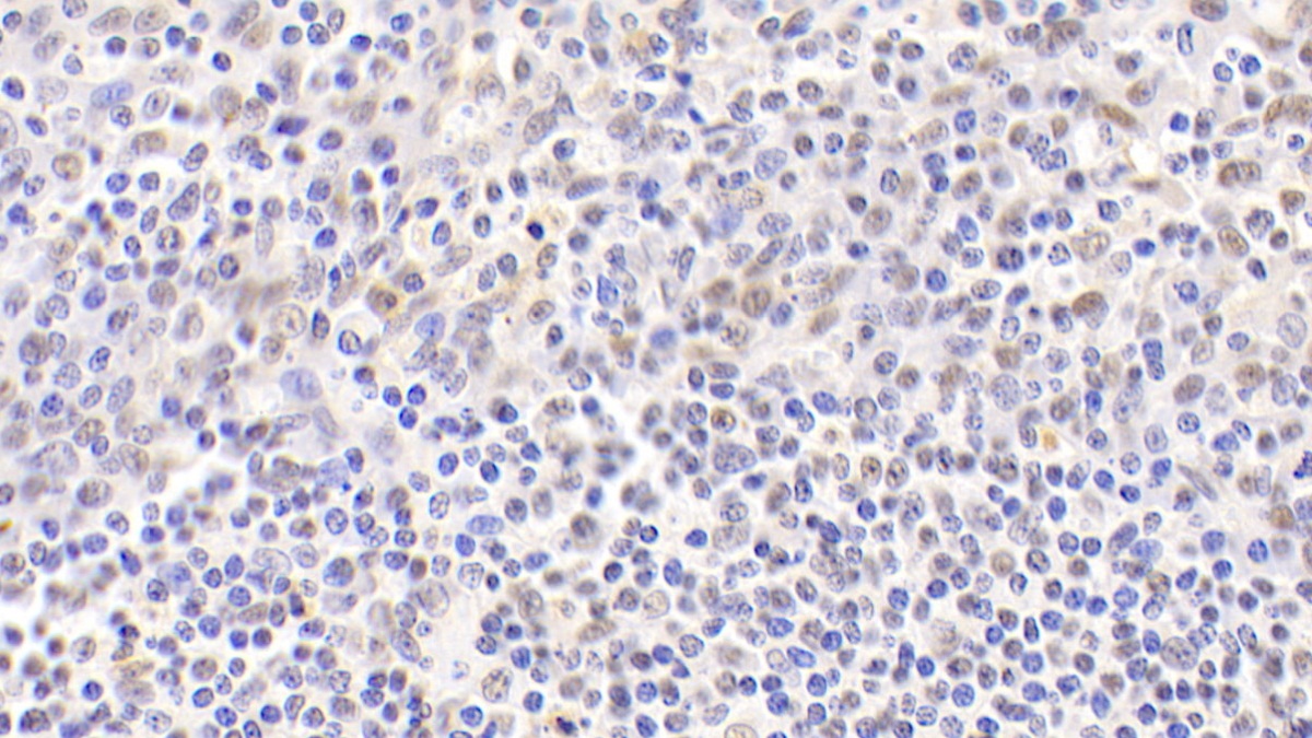
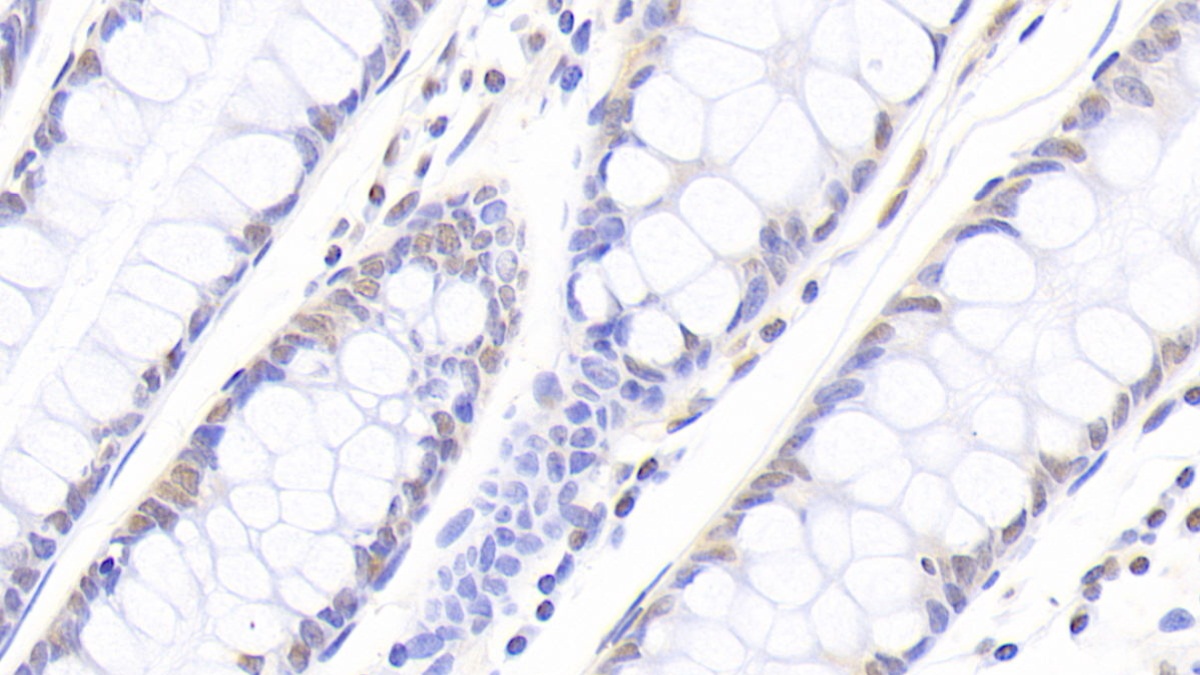
| Валидировано для | FCM IHC WB Проточная цитометрия; Иммуногистохимия; Вестерн-блоттинг |
| Рекомендуемые разведения | WB: 0.01-2 мкг/мл; IHC: 5-20 мкг/мл; FCM: 20 мкг/мл; Оптимальное разведение определяется конечным потребителем |
| Метод очистки | Антигенспецифическая аффинная хроматография с последующей аффинной хроматографией с белком А |
| Состав буфера | PBS, pH7.4, 0.02% NaN3, 50% глицерин |
| Условия доставки | термобокс с аккумуляторами холода |
| Условия хранения | Сразу после получения аликвотировать и хранить при -20ºС до 24 месяцев. Для частого использования хранить при +4ºС не более 2 недель. Избегать повторения циклов замерзания/оттаивания |
| Срок хранения | 24 месяца |
| Производитель | Cloud-Clone Corp. |
| Ссылка на страницу товара на сайте производителя | http://www.cloud-clone.com/products/PAC664Hu02.html |
|
Артикул
|
Наименование |
Производитель
|
|---|
|
Артикул
|
Наименование |
Производитель
|
|---|
|
Артикул
|
Наименование |
Производитель
|
|---|
|
Артикул
|
Наименование |
Производитель
|
|---|
|
Артикул
|
Наименование |
Производитель
|
|---|
|
Артикул
|
Наименование |
Производитель
|
|---|
Акции и предложения
Популярные продукты:
Guinea Pig Probable ATP dependent RNA helicase DDX20(DDX20) ELISA kit (E05P0772)
Организм: морская свинка
Hamster Proteasome subunit β type 5 ELISA kit (E18P1263)
Организм: хомяк
Canine Cytochrome P450 2D6(CYP2D6) ELISA kit (E08C2242)
Организм: собака
Recombinant Human PIN1 Protein, N-GST (YHG57503)
Источник (хозяин): E.coli
Организм: человек
Фрагмент: Glu51-Glu163
Теги: N-GST
Биоактивность: нет
Организм: человек
Фрагмент: Glu51-Glu163
Теги: N-GST
Биоактивность: нет
Recombinant Human HOXA10 Protein, N-His-SUMO (YHD93501)
Источник (хозяин): E.coli
Организм: человек
Фрагмент: Arg340-Ser410
Теги: N-His-SUMO
Биоактивность: нет
Организм: человек
Фрагмент: Arg340-Ser410
Теги: N-His-SUMO
Биоактивность: нет
PE/Cyanine7 Anti-Mouse CD38 Antibody[NIMR5] (FCE3355)
Источник (хозяин): крыса
Реактивность подтвержденная: мышь
Валидировано для: FCM
Реактивность подтвержденная: мышь
Валидировано для: FCM

