| UNIPROT | Q8NFH4 |
| Иммуноген | RPB088Hu01-Recombinant Nucleoporin 37 (NUP37) |
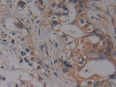
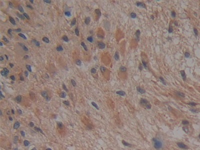
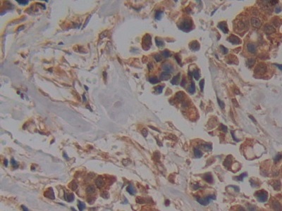
Polyclonal Antibody to Nucleoporin 37 (NUP37) (PAB088Hu01)
Реактивность подтвержденная:
человек
Источник (хозяин):
кролик
Валидировано для:
IHC
WB
Характеристики
Публикации
Техническое описание
| Русское название | PAB088Hu01 Поликлональное антитело к NUP37 (человек) <Cloud-Clone,Китай> |
| Каталожный номер | PAB088Hu01 |
| Название антигена | Nucleoporin 37kDa (NUP37) |
| UNIPROT | Q8NFH4 |
| Иммуноген | RPB088Hu01-Recombinant Nucleoporin 37 (NUP37) |
| Английские синонимы | p37, Nup107-160 subcomplex subunit Nup37 |
Реактивность подтвержденная Нужна другая реактивность? |
человек |
| Реактивность предсказываемая | мышь, крыса |
| Источник (хозяин) | кролик |
| Клональность | поликлональное |
| Рекомбинантное | нет |
| Готовое к использованию | нет |
| Концентрация | 0.5 мг/мл |
| Конъюгат | По запросу: HRP, biotin, PerCP, PE, Cy3, FITC, Cy7, Cy5.5, PE-Cy5, PE-Cy7, PerCp-Cy5.5, APC, Cy5, PE-Cy3, PE-Cy5.5, APC-Cy7, Biotin-APC, FITC-Biotin, TRITC, APC-Cy5, AF488, AF594, AF405, AF555, AF700, AF647, AF750 |
| Валидировано для | IHC WB Иммуногистохимия; Вестерн-блоттинг |
| Рекомендуемые разведения | WB: 0.5-2 мкг/мл; IHC: 5-20 мкг/мл; ICC: 5-20 мкг/мл; Оптимальное разведение определяется конечным потребителем |
| Метод очистки | Антигенспецифическая аффинная хроматография с последующей аффинной хроматографией с белком А |
| Состав буфера | PBS, pH7.4, 0.02% NaN3, 50% глицерин |
| Условия доставки | термобокс с аккумуляторами холода |
| Условия хранения | Сразу после получения аликвотировать и хранить при -20ºС до 24 месяцев. Для частого использования хранить при +4ºС не более 2 недель. Избегать повторения циклов замерзания/оттаивания |
| Срок хранения | 24 месяца |
| Производитель | Cloud-Clone Corp. |
| Ссылка на страницу товара на сайте производителя | http://www.cloud-clone.com/products/PAB088Hu01.html |
|
Артикул
|
Наименование |
Производитель
|
|---|
|
Артикул
|
Наименование |
Производитель
|
|---|
Акции и предложения
Популярные продукты:
Canine Argininosuccinate lyase(ASL) ELISA kit (E08A1722)
Организм: собака
Porcine Cystatin F(CST7) ELISA kit (E07C2126)
Организм: свинья
Rat Transcobalamin II ELISA kit (E02T0753)
Организм: крыса
Mouse Crumbs homolog 1(CRB1) ELISA kit (E03C2038)
Организм: мышь
Porcine Cysteine rich protein 2(CRIP2) ELISA kit (E07C2060)
Организм: свинья
Sheep Cytohesin 1 ELISA kit (E14C0479)
Организм: овца

