| UNIPROT | Q9UKX7 |
| Иммуноген | RPB101Hu01-Recombinant Nucleoporin 50kDa (NUP50) |
Polyclonal Antibody to Nucleoporin 50kDa (NUP50) (PAB101Hu01)
Реактивность подтвержденная:
человек
Источник (хозяин):
кролик
Валидировано для:
IHC
WB
Характеристики
Техническое описание
| Русское название | PAB101Hu01 Поликлональное антитело к NUP50 (человек) <Cloud-Clone,Китай> |
| Каталожный номер | PAB101Hu01 |
| Название антигена | Nucleoporin 50kDa (NUP50) |
| UNIPROT | Q9UKX7 |
| Иммуноген | RPB101Hu01-Recombinant Nucleoporin 50kDa (NUP50) |
| Английские синонимы | NPAP60, NPAP60L, Nuclear pore-associated protein 60 kDa-like |
Реактивность подтвержденная Нужна другая реактивность? |
человек |
| Источник (хозяин) | кролик |
| Клональность | поликлональное |
| Рекомбинантное | нет |
| Готовое к использованию | нет |
| Концентрация | 0.5 мг/мл |
| Конъюгат | По запросу: HRP, biotin, PerCP, PE, Cy3, FITC, Cy7, Cy5.5, PE-Cy5, PE-Cy7, PerCp-Cy5.5, APC, Cy5, PE-Cy3, PE-Cy5.5, APC-Cy7, Biotin-APC, FITC-Biotin, TRITC, APC-Cy5, AF488, AF594, AF405, AF555, AF700, AF647, AF750 |
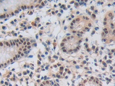
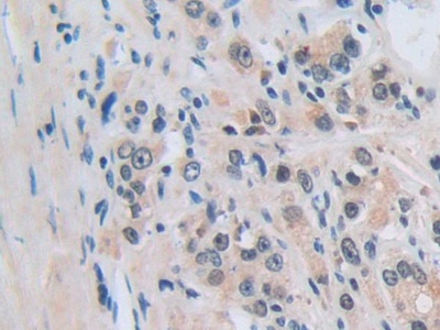
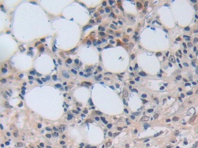
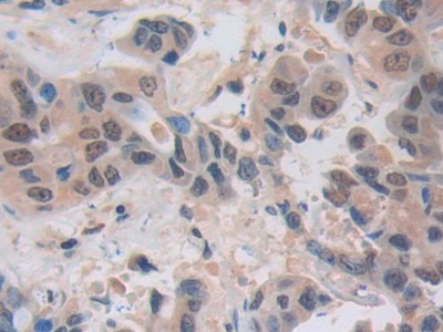
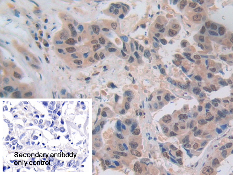
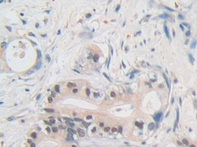
| Валидировано для | IHC WB Иммуногистохимия; Вестерн-блоттинг |
| Рекомендуемые разведения | WB: 0.01-2 мкг/мл; IHC: 5-20 мкг/мл; ICC: 5-20 мкг/мл; Оптимальное разведение определяется конечным потребителем |
| Метод очистки | Антигенспецифическая аффинная хроматография с последующей аффинной хроматографией с белком А |
| Состав буфера | 0.01M PBS, pH7.4, 0.05% Proclin-300, 50% глицерин |
| Условия доставки | термобокс с аккумуляторами холода |
| Условия хранения | Сразу после получения аликвотировать и хранить при -20ºС до 24 месяцев. Для частого использования хранить при +4ºС не более 2 недель. Избегать повторения циклов замерзания/оттаивания |
| Срок хранения | 24 месяца |
| Производитель | Cloud-Clone Corp. |
| Ссылка на страницу товара на сайте производителя | http://www.cloud-clone.com/products/PAB101Hu01.html |
|
Артикул
|
Наименование |
Производитель
|
|---|
|
Артикул
|
Наименование |
Производитель
|
|---|
|
Артикул
|
Наименование |
Производитель
|
|---|
|
Артикул
|
Наименование |
Производитель
|
|---|
|
Артикул
|
Наименование |
Производитель
|
|---|
Акции и предложения
Популярные продукты:
Anti-Human CD8A Antibody (Fs0325), PE (FHK18543)
Источник (хозяин): мышь
Реактивность подтвержденная: человек
Валидировано для: ELISA, FCM
Реактивность подтвержденная: человек
Валидировано для: ELISA, FCM
Rat 14-3-3 protein gamma(YWHAG) ELISA kit (E02Y0006)
Организм: крыса
Rat Protein capicua homolog ELISA kit (E02C1725)
Организм: крыса
Guinea Pig 39S ribosomal protein L3, mitochondrial(MRPL3) ELISA kit (E05M0466)
Организм: морская свинка
Bovine 5 hydroxytryptamine receptor 2A(HTR2A) ELISA kit (E11H1397)
Организм: корова

