| UNIPROT | Q3UZZ4 |
| Иммуноген | RPA162Mu01-Recombinant Olfactomedin 4 (OLFM4) |
Polyclonal Antibody to Olfactomedin 4 (OLFM4) (PAA162Mu01)
Реактивность подтвержденная:
мышь
Источник (хозяин):
кролик
Валидировано для:
ICC
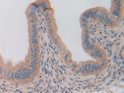
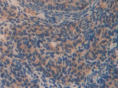
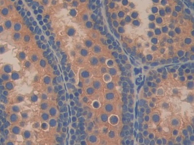
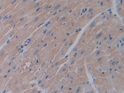
IHC
WB
Характеристики
Публикации
Техническое описание
| Русское название | PAA162Mu01 Поликлональное антитело к OLFM4 (мышь) <Cloud-Clone,Китай> |
| Каталожный номер | PAA162Mu01 |
| Название антигена | Olfactomedin 4 (OLFM4) |
| UNIPROT | Q3UZZ4 |
| Иммуноген | RPA162Mu01-Recombinant Olfactomedin 4 (OLFM4) |
| Английские синонимы | OLM4, hGC1, hOLfD, OlfD, GW112, GC1, G-CSF-stimulated clone 1 protein, Antiapoptotic protein GW112 |
Реактивность подтвержденная Нужна другая реактивность? |
мышь |
| Реактивность предсказываемая | крыса |
| Источник (хозяин) | кролик |
| Клональность | поликлональное |
| Рекомбинантное | нет |
| Готовое к использованию | нет |
| Концентрация | 0.5 мг/мл |
| Конъюгат | По запросу: HRP, biotin, PerCP, PE, Cy3, FITC, Cy7, Cy5.5, PE-Cy5, PE-Cy7, PerCp-Cy5.5, APC, Cy5, PE-Cy3, PE-Cy5.5, APC-Cy7, Biotin-APC, FITC-Biotin, TRITC, APC-Cy5, AF488, AF594, AF405, AF555, AF700, AF647, AF750 |
| Валидировано для | ICC IHC WB Иммуноцитохимия; Иммуногистохимия; Вестерн-блоттинг |
| Рекомендуемые разведения | WB: 0.01-3 мкг/мл; IHC: 5-30 мкг/мл; ICC: 5-30 мкг/мл; Оптимальное разведение определяется конечным потребителем |
| Метод очистки | Антигенспецифическая аффинная хроматография с последующей аффинной хроматографией с белком А |
| Состав буфера | PBS, pH7.4, 0.02% NaN3, 50% глицерин |
| Условия доставки | термобокс с аккумуляторами холода |
| Условия хранения | Сразу после получения аликвотировать и хранить при -20ºС до 24 месяцев. Для частого использования хранить при +4ºС не более 2 недель. Избегать повторения циклов замерзания/оттаивания |
| Срок хранения | 24 месяца |
| Производитель | Cloud-Clone Corp. |
| Ссылка на страницу товара на сайте производителя | http://www.cloud-clone.com/products/PAA162Mu01.html |
|
Артикул
|
Наименование |
Производитель
|
|---|
|
Артикул
|
Наименование |
Производитель
|
|---|
|
Артикул
|
Наименование |
Производитель
|
|---|
|
Артикул
|
Наименование |
Производитель
|
|---|
|
Артикул
|
Наименование |
Производитель
|
|---|
Акции и предложения
Популярные продукты:
Human Cyclin O(CCNO) ELISA kit (E01C1169)
Организм: человек
Диапазон определения: 5-100 нг/мл
Чувствительность: 1 нг/мл
Диапазон определения: 5-100 нг/мл
Чувствительность: 1 нг/мл
Canine IgG2, lambda Isotype Control antibody (HyHEL-10) (FGJ92920)
Источник (хозяин): собака
Валидировано для: CTRL, FCM
Валидировано для: CTRL, FCM
Anti-VSV G/Glycoprotein G Antibody (M31.55) (RVV09809)
Источник (хозяин): человек
Реактивность подтвержденная: вирусы
Валидировано для: ELISA
Реактивность подтвержденная: вирусы
Валидировано для: ELISA
Recombinant Human OLFM4 Protein, N-His (YHJ09301)
Источник (хозяин): E.coli
Организм: человек
Фрагмент: Ile407-Gln510
Теги: N-His
Биоактивность: нет
Организм: человек
Фрагмент: Ile407-Gln510
Теги: N-His
Биоактивность: нет
AICDA Antibody (DF7935)
Источник (хозяин): кролик
Реактивность подтвержденная: человек
Валидировано для: IHC, WB
Реактивность подтвержденная: человек
Валидировано для: IHC, WB

