| UNIPROT | P00480 |
| Иммуноген | RPB492Hu01-Recombinant Ornithine Transcarbamylase (OTC) |
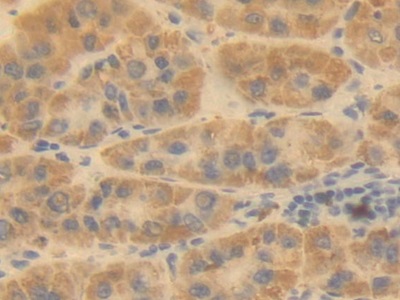
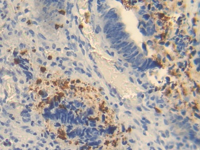
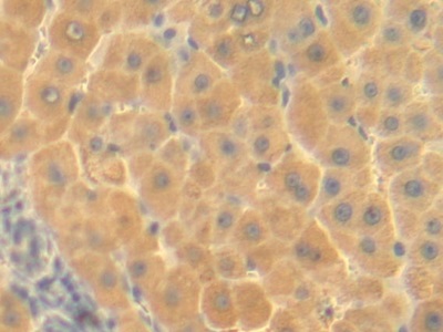
Polyclonal Antibody to Ornithine Transcarbamylase (OTC) (PAB492Hu01)
Реактивность подтвержденная:
человек
Источник (хозяин):
кролик
Валидировано для:
IHC
WB
Характеристики
Техническое описание
| Русское название | PAB492Hu01 Поликлональное антитело к OTC (человек) <Cloud-Clone,Китай> |
| Каталожный номер | PAB492Hu01 |
| Название антигена | Ornithine Carbamoyl Transferase (OCT) |
| UNIPROT | P00480 |
| Иммуноген | RPB492Hu01-Recombinant Ornithine Transcarbamylase (OTC) |
| Английские синонимы | OCTD, OTCase, Ornithine Transcarbamylase, Ornithine Carbamoyltransferase |
Реактивность подтвержденная Нужна другая реактивность? |
человек |
| Реактивность предсказываемая | мышь, крыса |
| Источник (хозяин) | кролик |
| Клональность | поликлональное |
| Рекомбинантное | нет |
| Готовое к использованию | нет |
| Концентрация | 0.42 мг/мл |
| Конъюгат | По запросу: HRP, biotin, PerCP, PE, Cy3, FITC, Cy7, Cy5.5, PE-Cy5, PE-Cy7, PerCp-Cy5.5, APC, Cy5, PE-Cy3, PE-Cy5.5, APC-Cy7, Biotin-APC, FITC-Biotin, TRITC, APC-Cy5, AF488, AF594, AF405, AF555, AF700, AF647, AF750 |
| Валидировано для | IHC WB Иммуногистохимия; Вестерн-блоттинг |
| Рекомендуемые разведения | WB: 0.01-2 мкг/мл; IHC: 5-20 мкг/мл; ICC: 5-20 мкг/мл; Оптимальное разведение определяется конечным потребителем |
| Метод очистки | Антигенспецифическая аффинная хроматография с последующей аффинной хроматографией с белком А |
| Состав буфера | PBS, pH7.4, 0.02% NaN3, 50% глицерин |
| Условия доставки | термобокс с аккумуляторами холода |
| Условия хранения | Сразу после получения аликвотировать и хранить при -20ºС до 24 месяцев. Для частого использования хранить при +4ºС не более 2 недель. Избегать повторения циклов замерзания/оттаивания |
| Срок хранения | 24 месяца |
| Производитель | Cloud-Clone Corp. |
| Ссылка на страницу товара на сайте производителя | http://www.cloud-clone.com/products/PAB492Hu01.html |
|
Артикул
|
Наименование |
Производитель
|
|---|
|
Артикул
|
Наименование |
Производитель
|
|---|
|
Артикул
|
Наименование |
Производитель
|
|---|
|
Артикул
|
Наименование |
Производитель
|
|---|
|
Артикул
|
Наименование |
Производитель
|
|---|
Акции и предложения
Популярные продукты:
Canine Anti Teichoic acid antibody ELISA kit (E08T0496)
Организм: собака
Canine Cytosolic carboxypeptidase 1(AGTPBP1) ELISA kit (E08C1187)
Организм: собака
Porcine Cytoplasmic protein NCK2(NCK2) ELISA kit (E07C2360)
Организм: свинья
Goat Calpain 9(CAPN9) ELISA kit (E06C1365)
Организм: коза
Goat Cytokeratin 17,CK 17 ELISA kit (E06C2327)
Организм: коза

