| UNIPROT | Q62000 |
| Иммуноген | RPC688Mu01-Recombinant Osteoglycin (OGN) |
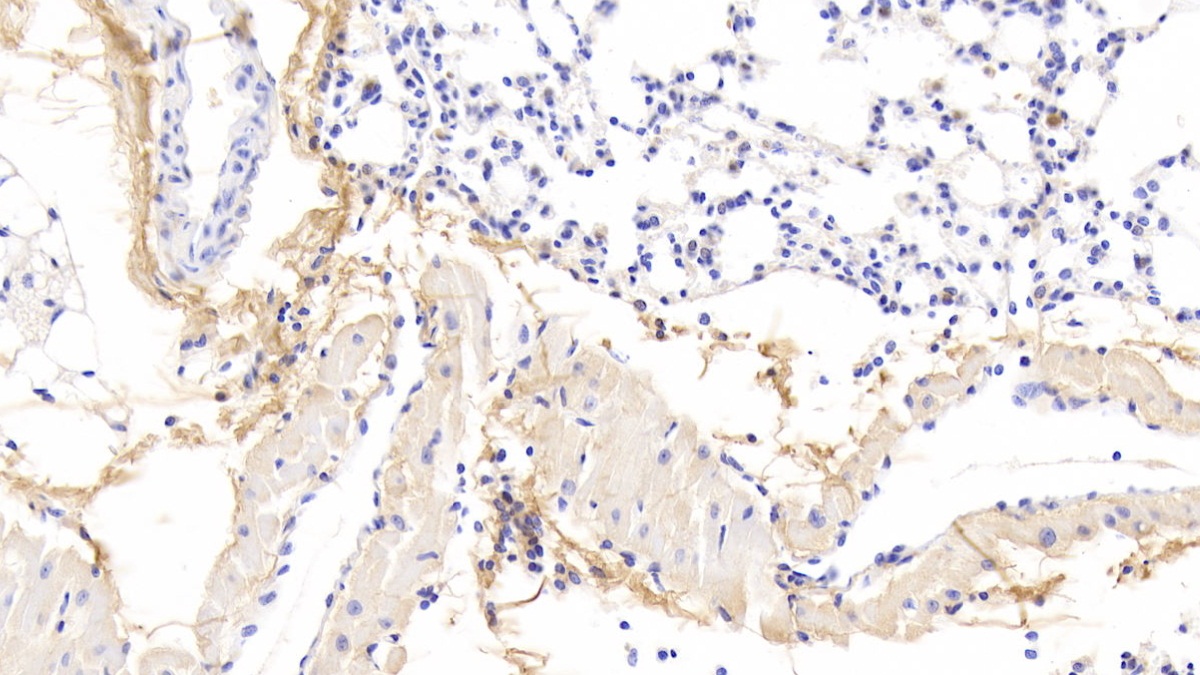
Polyclonal Antibody to Osteoglycin (OGN) (PAC688Mu01)
Реактивность подтвержденная:
мышь
Источник (хозяин):
кролик
Валидировано для:
IHC
WB
Характеристики
Техническое описание
| Русское название | PAC688Mu01 Поликлональное антитело к OGN (мышь) <Cloud-Clone,Китай> |
| Каталожный номер | PAC688Mu01 |
| Название антигена | Osteoglycin (OGN) |
| UNIPROT | Q62000 |
| Иммуноген | RPC688Mu01-Recombinant Osteoglycin (OGN) |
| Английские синонимы | OIF, SLRR3A, Mimecan Proteoglycan, Osteoinductive Factor |
Реактивность подтвержденная Нужна другая реактивность? |
мышь |
| Реактивность предсказываемая | крыса |
| Источник (хозяин) | кролик |
| Клональность | поликлональное |
| Рекомбинантное | нет |
| Готовое к использованию | нет |
| Концентрация | 0.28 мг/мл |
| Конъюгат | По запросу: HRP, biotin, PerCP, PE, Cy3, FITC, Cy7, Cy5.5, PE-Cy5, PE-Cy7, PerCp-Cy5.5, APC, Cy5, PE-Cy3, PE-Cy5.5, APC-Cy7, Biotin-APC, FITC-Biotin, TRITC, APC-Cy5, AF488, AF594, AF405, AF555, AF700, AF647, AF750 |
| Валидировано для | IHC WB Иммуногистохимия; Вестерн-блоттинг |
| Рекомендуемые разведения | WB: 0.5-2 мкг/мл; 1:140-550; IHC: 5-20 мкг/мл; 1:14-55; ICC: 5-20 мкг/мл; 1:14-55; Оптимальное разведение определяется конечным потребителем |
| Метод очистки | Антигенспецифическая аффинная хроматография с последующей аффинной хроматографией с белком А |
| Состав буфера | 0.01M PBS, pH7.4, 0.05% Proclin-300, 50% глицерин |
| Условия доставки | термобокс с аккумуляторами холода |
| Условия хранения | Сразу после получения аликвотировать и хранить при -20ºС до 24 месяцев. Для частого использования хранить при +4ºС не более 2 недель. Избегать повторения циклов замерзания/оттаивания |
| Срок хранения | 24 месяца |
| Производитель | Cloud-Clone Corp. |
| Ссылка на страницу товара на сайте производителя | http://www.cloud-clone.com/products/PAC688Mu01.html |
|
Артикул
|
Наименование |
Производитель
|
|---|
|
Артикул
|
Наименование |
Производитель
|
|---|
|
Артикул
|
Наименование |
Производитель
|
|---|
|
Артикул
|
Наименование |
Производитель
|
|---|
|
Артикул
|
Наименование |
Производитель
|
|---|
Акции и предложения
Популярные продукты:
Anti-HPV16 E6/Protein E6 Antibody (R4D94) (RVV09005)
Источник (хозяин): мышь
Реактивность подтвержденная: вирусы
Валидировано для: ELISA
Реактивность подтвержденная: вирусы
Валидировано для: ELISA
Sheep 5-Hydroxytryptophan ELISA kit (E14H1454)
Организм: овца
Human 5-Hydroxytryptophan ELISA kit (E01H1454)
Организм: человек
Monkey Endoribonuclease Dicer ELISA Kit (E09D0330)
Организм: обезьяна
Goat SET domain containing 1B ELISA kit (E06S0800)
Организм: коза
Rat SET domain containing 1B ELISA kit (E02S0800)
Организм: крыса

