| UNIPROT | B2RYG6 |
| Иммуноген | RPL838Ra01-Recombinant Otubain 1 (OTUB1) |
Polyclonal Antibody to Otubain 1 (OTUB1) (PAL838Ra01)
Реактивность подтвержденная:
крыса
Источник (хозяин):
кролик
Валидировано для:
IHC
WB
Характеристики
Техническое описание
| Русское название | PAL838Ra01 Поликлональное антитело к OTUB1 (крыса) <Cloud-Clone,Китай> |
| Каталожный номер | PAL838Ra01 |
| Название антигена | Otubain 1 (OTUB1) |
| UNIPROT | B2RYG6 |
| Иммуноген | RPL838Ra01-Recombinant Otubain 1 (OTUB1) |
| Английские синонимы | HSPC263, OTB1, OTU1, OTU Domain,Ubiquitin Aldehyde Binding 1, Deubiquitinating enzyme OTUB1, Ubiquitin-specific-processing protease OTUB1 |
Реактивность подтвержденная Нужна другая реактивность? |
крыса |
| Реактивность предсказываемая | человек, мышь |
| Источник (хозяин) | кролик |
| Клональность | поликлональное |
| Рекомбинантное | нет |
| Готовое к использованию | нет |
| Концентрация | 500 мкг/мл |
| Конъюгат | По запросу: HRP, biotin, PerCP, PE, Cy3, FITC, Cy7, Cy5.5, PE-Cy5, PE-Cy7, PerCp-Cy5.5, APC, Cy5, PE-Cy3, PE-Cy5.5, APC-Cy7, Biotin-APC, FITC-Biotin, TRITC, APC-Cy5, AF488, AF594, AF405, AF555, AF700, AF647, AF750 |
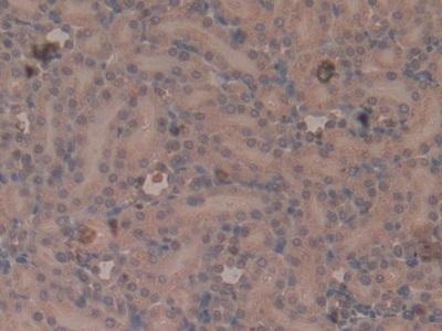
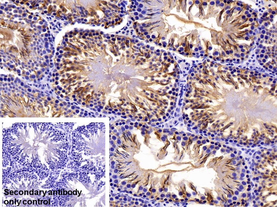
| Валидировано для | IHC WB Иммуногистохимия; Вестерн-блоттинг |
| Рекомендуемые разведения | WB: 0.2-2 мкг/мл; 1:250-2500; IHC: 5-20 мкг/мл; 1:25-100; ICC: 5-20 мкг/мл; 1:25-100; Оптимальное разведение определяется конечным потребителем |
| Метод очистки | Антигенспецифическая аффинная хроматография с последующей аффинной хроматографией с белком А |
| Состав буфера | 0.01M PBS, pH7.4, 0.05% Proclin-300, 50% глицерин |
| Условия доставки | термобокс с аккумуляторами холода |
| Условия хранения | Сразу после получения аликвотировать и хранить при -20ºС до 24 месяцев. Для частого использования хранить при +4ºС не более 2 недель. Избегать повторения циклов замерзания/оттаивания |
| Срок хранения | 24 месяца |
| Производитель | Cloud-Clone Corp. |
| Ссылка на страницу товара на сайте производителя | http://www.cloud-clone.com/products/PAL838Ra01.html |
|
Артикул
|
Наименование |
Производитель
|
|---|
|
Артикул
|
Наименование |
Производитель
|
|---|
|
Артикул
|
Наименование |
Производитель
|
|---|
|
Артикул
|
Наименование |
Производитель
|
|---|
Акции и предложения
Популярные продукты:
Multiplex Assay Kit for Scavenger Receptor Class B Member 1 (SCARB1) (LMH194Mu)
Организм: мышь
Диапазон определения: 0.01-10 нг/мл
Чувствительность: 0.003 нг/мл
Диапазон определения: 0.01-10 нг/мл
Чувствительность: 0.003 нг/мл
ELISA Kit DIY Materials for Cathepsin D (CTSD) (KSB280Ra01)
Организм: крыса
Диапазон определения: 62.5-4000 пг/мл
Чувствительность: 24.4 пг/мл
Диапазон определения: 62.5-4000 пг/мл
Чувствительность: 24.4 пг/мл
Monoclonal Antibody to Glutathione Reductase (GR) (MAB314Ra22)
Источник (хозяин): мышь
Реактивность подтвержденная: крыса
Валидировано для: WB
Реактивность подтвержденная: крыса
Валидировано для: WB
ELISA Kit for Dynamin 1 Like Protein (DNM1L) (SEK069Hu)
Организм: человек
Диапазон определения: 0.312-20 нг/мл
Чувствительность: 0.124 нг/мл
Диапазон определения: 0.312-20 нг/мл
Чувствительность: 0.124 нг/мл
Porcine Clarin 1(CLRN1) ELISA kit (E07C1812)
Организм: свинья

