| UNIPROT | P48450 |
| Иммуноген | RPB898Ra01-Recombinant Oxidosqualene Cyclase (OSC) |
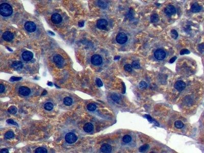
Polyclonal Antibody to Oxidosqualene Cyclase (OSC) (PAB898Ra01)
Реактивность подтвержденная:
крыса
Источник (хозяин):
кролик
Валидировано для:
IHC
Характеристики
Техническое описание
| Русское название | PAB898Ra01 Поликлональное антитело к OSC (крыса) <Cloud-Clone,Китай> |
| Каталожный номер | PAB898Ra01 |
| Название антигена | Oxidosqualene Cyclase (OSC) |
| UNIPROT | P48450 |
| Иммуноген | RPB898Ra01-Recombinant Oxidosqualene Cyclase (OSC) |
| Английские синонимы | LSS, Lanosterol Synthase, 2,3-epoxysqualene--lanosterol cyclase, Oxidosqualene--lanosterol cyclase |
Реактивность подтвержденная Нужна другая реактивность? |
крыса |
| Реактивность предсказываемая | человек |
| Источник (хозяин) | кролик |
| Клональность | поликлональное |
| Рекомбинантное | нет |
| Готовое к использованию | нет |
| Концентрация | 500 мкг/мл |
| Конъюгат | По запросу: HRP, biotin, PerCP, PE, Cy3, FITC, Cy7, Cy5.5, PE-Cy5, PE-Cy7, PerCp-Cy5.5, APC, Cy5, PE-Cy3, PE-Cy5.5, APC-Cy7, Biotin-APC, FITC-Biotin, TRITC, APC-Cy5, AF488, AF594, AF405, AF555, AF700, AF647, AF750 |
| Валидировано для | IHC Иммуногистохимия |
| Рекомендуемые разведения | WB: 0.2-2 мкг/мл; 1:250-2500; IHC: 5-20 мкг/мл; 1:25-100; ICC: 5-20 мкг/мл; 1:25-100; Оптимальное разведение определяется конечным потребителем |
| Метод очистки | Антигенспецифическая аффинная хроматография с последующей аффинной хроматографией с белком А |
| Состав буфера | 0.01M PBS, pH7.4, 0.05% Proclin-300, 50% глицерин |
| Условия доставки | термобокс с аккумуляторами холода |
| Условия хранения | Сразу после получения аликвотировать и хранить при -20ºС до 24 месяцев. Для частого использования хранить при +4ºС не более 2 недель. Избегать повторения циклов замерзания/оттаивания |
| Срок хранения | 24 месяца |
| Производитель | Cloud-Clone Corp. |
| Ссылка на страницу товара на сайте производителя | http://www.cloud-clone.com/products/PAB898Ra01.html |
|
Артикул
|
Наименование |
Производитель
|
|---|
|
Артикул
|
Наименование |
Производитель
|
|---|
|
Артикул
|
Наименование |
Производитель
|
|---|
Акции и предложения
Популярные продукты:
Anti-Dermatophagoides pteronyssinus Der p 21 Polyclonal Antibody (PXY00029)
Источник (хозяин): кролик
Реактивность подтвержденная: паукообразные
Валидировано для: ELISA, IHC, WB
Реактивность подтвержденная: паукообразные
Валидировано для: ELISA, IHC, WB
Porcine 14-3-3 protein gamma(YWHAG) ELISA kit (E07Y0006)
Организм: свинья
Bovine Cofilin 2, Muscle ELISA kit (E11C0470)
Организм: корова
Диапазон определения: 0.5-10 нг/мл
Чувствительность: 0.1 нг/мл
Диапазон определения: 0.5-10 нг/мл
Чувствительность: 0.1 нг/мл
Human Chymotrypsin-like elastase family member 1(ELA1) ELISA kit (E01C2281)
Организм: человек
Диапазон определения: 100-2500 пг/мл
Чувствительность: 1 пг/мл
Диапазон определения: 100-2500 пг/мл
Чувствительность: 1 пг/мл
Guinea Pig Leukotriene E4 ELISA kit (E05L0289)
Организм: морская свинка
Anti-Human CD150/SLAMF1 Antibody (SAA1581) (RHG47401)
Источник (хозяин): мышь
Реактивность подтвержденная: человек
Валидировано для: ELISA
Реактивность подтвержденная: человек
Валидировано для: ELISA

