| UNIPROT | O08760 |
| Иммуноген | RPC704Mu01-Recombinant Oxoguanine Glycosylase 1 (OGG1) |
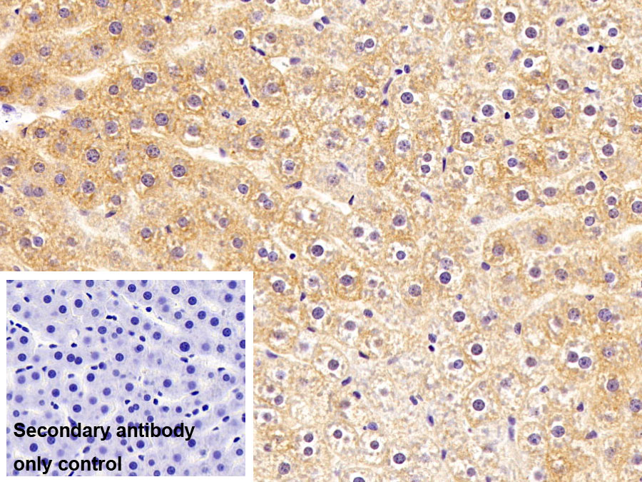
Polyclonal Antibody to Oxoguanine Glycosylase 1 (OGG1) (PAC704Mu02)
Реактивность подтвержденная:
мышь
Источник (хозяин):
кролик
Валидировано для:
IHC
Характеристики
Техническое описание
| Русское название | PAC704Mu02 Поликлональное антитело к OGG1 (мышь) <Cloud-Clone,Китай> |
| Каталожный номер | PAC704Mu02 |
| Название антигена | Oxoguanine Glycosylase 1 (OGG1) |
| UNIPROT | O08760 |
| Иммуноген | RPC704Mu01-Recombinant Oxoguanine Glycosylase 1 (OGG1) |
| Английские синонимы | HMMH, HOGG1, MUTM, OGH1, 8-Oxoguanine DNA Glycosylase, DNA-(apurinic or apyrimidinic site) lyase, N-glycosylase/DNA lyase |
Реактивность подтвержденная Нужна другая реактивность? |
мышь |
| Источник (хозяин) | кролик |
| Клональность | поликлональное |
| Рекомбинантное | нет |
| Готовое к использованию | нет |
| Концентрация | 500 мкг/мл |
| Конъюгат | По запросу: HRP, biotin, PerCP, PE, Cy3, FITC, Cy7, Cy5.5, PE-Cy5, PE-Cy7, PerCp-Cy5.5, APC, Cy5, PE-Cy3, PE-Cy5.5, APC-Cy7, Biotin-APC, FITC-Biotin, TRITC, APC-Cy5, AF488, AF594, AF405, AF555, AF700, AF647, AF750 |
| Валидировано для | IHC Иммуногистохимия |
| Рекомендуемые разведения | WB: 0.5-2 мкг/мл; IHC: 5-20 мкг/мл; ICC: 5-20 мкг/мл; Оптимальное разведение определяется конечным потребителем |
| Метод очистки | Антигенспецифическая аффинная хроматография с последующей аффинной хроматографией с белком А |
| Состав буфера | PBS, pH7.4, 0.02% NaN3, 50% глицерин |
| Условия доставки | термобокс с аккумуляторами холода |
| Условия хранения | Сразу после получения аликвотировать и хранить при -20ºС до 24 месяцев. Для частого использования хранить при +4ºС не более 2 недель. Избегать повторения циклов замерзания/оттаивания |
| Срок хранения | 24 месяца |
| Производитель | Cloud-Clone Corp. |
| Ссылка на страницу товара на сайте производителя | http://www.cloud-clone.com/products/PAC704Mu02.html |
|
Артикул
|
Наименование |
Производитель
|
|---|
|
Артикул
|
Наименование |
Производитель
|
|---|
|
Артикул
|
Наименование |
Производитель
|
|---|
|
Артикул
|
Наименование |
Производитель
|
|---|
|
Артикул
|
Наименование |
Производитель
|
|---|
Акции и предложения
Популярные продукты:
Anti-OGG1 Antibody (R1D88) (RHA56001)
Источник (хозяин): кролик
Реактивность подтвержденная: человек
Валидировано для: WB
Реактивность подтвержденная: человек
Валидировано для: WB
CCDC113 Polyclonal Antibody (E-AB-52521)
Источник (хозяин): кролик
Реактивность подтвержденная: человек, мышь
Валидировано для: IHC
Реактивность подтвержденная: человек, мышь
Валидировано для: IHC
ELISA Kit for Brain Natriuretic Peptide (BNP) (CEA541Ca)
Организм: собака
Диапазон определения: 24.69-2000 пг/мл
Чувствительность: 9.39 пг/мл
Диапазон определения: 24.69-2000 пг/мл
Чувствительность: 9.39 пг/мл
Mini Samples ELISA Kit for Brain Natriuretic Peptide (BNP) (MEA541Ra)
Организм: крыса
Диапазон определения: 15.6-1,000 пг/мл
Чувствительность: 0.060 нг/мл
Диапазон определения: 15.6-1,000 пг/мл
Чувствительность: 0.060 нг/мл
Bovine Chordin like protein 1(CHRDL1) ELISA kit (E11C1700)
Организм: корова

