| UNIPROT | Q9BRQ8 |
| Иммуноген | RPG247Hu01-Recombinant p53 Responsive Gene 3 (PRG3) |
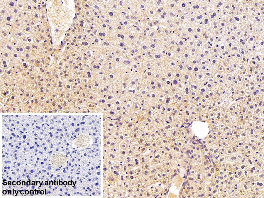
Polyclonal Antibody to p53 Responsive Gene 3 (PRG3) (PAG247Hu01)
Реактивность подтвержденная:
человек
Источник (хозяин):
кролик
Валидировано для:
IHC
Характеристики
Техническое описание
| Русское название | PAG247Hu01 Поликлональное антитело к PRG3 (человек) <Cloud-Clone,Китай> |
| Каталожный номер | PAG247Hu01 |
| Название антигена | p53 Responsive Gene 3 (PRG3) |
| UNIPROT | Q9BRQ8 |
| Иммуноген | RPG247Hu01-Recombinant p53 Responsive Gene 3 (PRG3) |
| Английские синонимы | AIFM2, AMID, Apoptosis-Inducing Factor,Mitochondrion-Associated 2, p53-responsive gene 3, Apoptosis-inducing factor homologous mitochondrion-associated inducer of death, Ferroptosis Suppressor Protein-1, FSP-1, FSP1 |
Реактивность подтвержденная Нужна другая реактивность? |
человек |
| Источник (хозяин) | кролик |
| Клональность | поликлональное |
| Рекомбинантное | нет |
| Готовое к использованию | нет |
| Концентрация | 500 мкг/мл |
| Конъюгат | По запросу: HRP, biotin, PerCP, PE, Cy3, FITC, Cy7, Cy5.5, PE-Cy5, PE-Cy7, PerCp-Cy5.5, APC, Cy5, PE-Cy3, PE-Cy5.5, APC-Cy7, Biotin-APC, FITC-Biotin, TRITC, APC-Cy5, AF488, AF594, AF405, AF555, AF700, AF647, AF750 |
| Валидировано для | IHC Иммуногистохимия |
| Рекомендуемые разведения | WB: 0.2-2 мкг/мл; 1:250-2500; IHC: 5-20 мкг/мл; 1:25-100; ICC: 5-20 мкг/мл; 1:25-100; Оптимальное разведение определяется конечным потребителем |
| Метод очистки | Антигенспецифическая аффинная хроматография с последующей аффинной хроматографией с белком А |
| Состав буфера | PBS, pH7.4, 0.02% NaN3, 50% глицерин |
| Условия доставки | термобокс с аккумуляторами холода |
| Условия хранения | Сразу после получения аликвотировать и хранить при -20ºС до 24 месяцев. Для частого использования хранить при +4ºС не более 2 недель. Избегать повторения циклов замерзания/оттаивания |
| Срок хранения | 24 месяца |
| Производитель | Cloud-Clone Corp. |
| Ссылка на страницу товара на сайте производителя | http://www.cloud-clone.com/products/PAG247Hu01.html |
|
Артикул
|
Наименование |
Производитель
|
|---|
|
Артикул
|
Наименование |
Производитель
|
|---|
Акции и предложения
Популярные продукты:
Anti-Cytokeratin 7 (CK7) Polyclonal Antibody (FAA556Ra03)
Источник (хозяин): кролик
Реактивность подтвержденная: крыса
Валидировано для: FCM
Реактивность подтвержденная: крыса
Валидировано для: FCM
Rabbit Arylsulfatase D(ARSD) ELISA kit (E04A1685)
Организм: кролик
Rabbit Immunoglobulin Transcription Factor 1 ELISA kit (E04I0762)
Организм: кролик
EMC8 Polyclonal Antibody (E-AB-14013)
Источник (хозяин): кролик
Реактивность подтвержденная: человек, мышь, крыса
Валидировано для: IHC, WB
Реактивность подтвержденная: человек, мышь, крыса
Валидировано для: IHC, WB
ELISA Kit for Double C2 Like Domains Alpha (DOC2a) (SEG173Hu)
Организм: человек
Диапазон определения: 0.156-10 нг/мл
Чувствительность: 5.9 пг/мл
Диапазон определения: 0.156-10 нг/мл
Чувствительность: 5.9 пг/мл
Rabbit Arylacetamide deacetylase(AADAC) ELISA kit (E04A1115)
Организм: кролик

