| UNIPROT | P16109 |
| Иммуноген | RPA569Hu02-Recombinant P-Selectin (SELP) |
Polyclonal Antibody to P-Selectin (SELP) (PAA569Hu02)
Реактивность подтвержденная:
человек
Источник (хозяин):
кролик
Валидировано для:
IHC
Характеристики
Техническое описание
| Русское название | PAA569Hu02 Поликлональное антитело к SELP (человек) <Cloud-Clone,Китай> |
| Каталожный номер | PAA569Hu02 |
| Название антигена | Selectin, Platelet (SELP) |
| UNIPROT | P16109 |
| Иммуноген | RPA569Hu02-Recombinant P-Selectin (SELP) |
| Английские синонимы | CD62P, CD 62P, CD-62P, P-Selectin, PSEL, GMP140, LECAM3, GRMP, GMRP, PADGEM, Leukocyte-endothelial cell adhesion molecule 3, Platelet activation dependent granule-external membrane |
| Русские синонимы | P-селектин, п-селектин |
Реактивность подтвержденная Нужна другая реактивность? |
человек |
| Источник (хозяин) | кролик |
| Клональность | поликлональное |
| Рекомбинантное | нет |
| Готовое к использованию | нет |
| Концентрация | 500 мкг/мл |
| Конъюгат | По запросу: HRP, biotin, PerCP, PE, Cy3, FITC, Cy7, Cy5.5, PE-Cy5, PE-Cy7, PerCp-Cy5.5, APC, Cy5, PE-Cy3, PE-Cy5.5, APC-Cy7, Biotin-APC, FITC-Biotin, TRITC, APC-Cy5, AF488, AF594, AF405, AF555, AF700, AF647, AF750 |
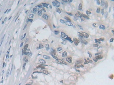
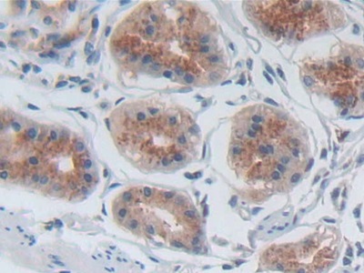
| Валидировано для | IHC Иммуногистохимия |
| Рекомендуемые разведения | WB: 0.5-2 мкг/мл; IHC: 5-20 мкг/мл; ICC: 5-20 мкг/мл; Оптимальное разведение определяется конечным потребителем |
| Метод очистки | Антигенспецифическая аффинная хроматография с последующей аффинной хроматографией с белком А |
| Состав буфера | 0.01M PBS, pH7.4, 0.05% Proclin-300, 50% глицерин |
| Условия доставки | термобокс с аккумуляторами холода |
| Условия хранения | Сразу после получения аликвотировать и хранить при -20ºС до 24 месяцев. Для частого использования хранить при +4ºС не более 2 недель. Избегать повторения циклов замерзания/оттаивания |
| Срок хранения | 24 месяца |
| Производитель | Cloud-Clone Corp. |
| Ссылка на страницу товара на сайте производителя | http://www.cloud-clone.com/products/PAA569Hu02.html |
|
Артикул
|
Наименование |
Производитель
|
|---|
|
Артикул
|
Наименование |
Производитель
|
|---|
|
Артикул
|
Наименование |
Производитель
|
|---|
|
Артикул
|
Наименование |
Производитель
|
|---|
|
Артикул
|
Наименование |
Производитель
|
|---|
|
Артикул
|
Наименование |
Производитель
|
|---|
|
Артикул
|
Наименование |
Производитель
|
|---|
Акции и предложения
Популярные продукты:
Porcine Lymphocyte antigen 86 ELISA kit (E07L1200)
Организм: свинья
Guinea Pig Progesterone receptor membrane component 2 ELISA kit (E05P1255)
Организм: морская свинка
Monkey Carboxypeptidase E(CPE) ELISA kit (E09C1997)
Организм: обезьяна
Canine 40S ribosomal protein S9(RPS9) ELISA kit (E08R0152)
Организм: собака
Bovine P selectin ELISA kit (E11P0111)
Организм: корова
Диапазон определения: 2.5-50 нг/мл
Чувствительность: 0.1 нг/мл
Диапазон определения: 2.5-50 нг/мл
Чувствительность: 0.1 нг/мл
Guinea Pig P selectin ELISA kit (E05P0111)
Организм: морская свинка

