| UNIPROT | P98106 |
| Иммуноген | RPA569Ra01-Recombinant P-Selectin (SELP) |
Polyclonal Antibody to P-Selectin (SELP) (PAA569Ra01)
Реактивность подтвержденная:
крыса
Источник (хозяин):
кролик
Валидировано для:
IHC
Характеристики
Техническое описание
| Русское название | PAA569Ra01 Поликлональное антитело к SELP (крыса) <Cloud-Clone,Китай> |
| Каталожный номер | PAA569Ra01 |
| Название антигена | Selectin, Platelet (SELP) |
| UNIPROT | P98106 |
| Иммуноген | RPA569Ra01-Recombinant P-Selectin (SELP) |
| Английские синонимы | CD62P, CD 62P, CD-62P, P-Selectin, PSEL, GMP140, LECAM3, GRMP, GMRP, PADGEM, Leukocyte-endothelial cell adhesion molecule 3, Platelet activation dependent granule-external membrane |
| Русские синонимы | P-селектин, п-селектин |
Реактивность подтвержденная Нужна другая реактивность? |
крыса |
| Реактивность предсказываемая | мышь |
| Источник (хозяин) | кролик |
| Клональность | поликлональное |
| Рекомбинантное | нет |
| Готовое к использованию | нет |
| Концентрация | 500 мкг/мл |
| Конъюгат | По запросу: HRP, biotin, PerCP, PE, Cy3, FITC, Cy7, Cy5.5, PE-Cy5, PE-Cy7, PerCp-Cy5.5, APC, Cy5, PE-Cy3, PE-Cy5.5, APC-Cy7, Biotin-APC, FITC-Biotin, TRITC, APC-Cy5, AF488, AF594, AF405, AF555, AF700, AF647, AF750 |
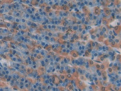
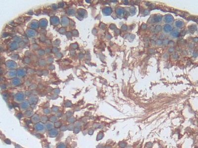
| Валидировано для | IHC Иммуногистохимия |
| Рекомендуемые разведения | WB: 0.5-2 мкг/мл; IHC: 5-20 мкг/мл; ICC: 5-20 мкг/мл; Оптимальное разведение определяется конечным потребителем |
| Метод очистки | Антигенспецифическая аффинная хроматография с последующей аффинной хроматографией с белком А |
| Состав буфера | 0.01M PBS, pH7.4, 0.05% Proclin-300, 50% глицерин |
| Условия доставки | термобокс с аккумуляторами холода |
| Условия хранения | Сразу после получения аликвотировать и хранить при -20ºС до 24 месяцев. Для частого использования хранить при +4ºС не более 2 недель. Избегать повторения циклов замерзания/оттаивания |
| Срок хранения | 24 месяца |
| Производитель | Cloud-Clone Corp. |
| Ссылка на страницу товара на сайте производителя | http://www.cloud-clone.com/products/PAA569Ra01.html |
|
Артикул
|
Наименование |
Производитель
|
|---|
|
Артикул
|
Наименование |
Производитель
|
|---|
|
Артикул
|
Наименование |
Производитель
|
|---|
|
Артикул
|
Наименование |
Производитель
|
|---|
|
Артикул
|
Наименование |
Производитель
|
|---|
|
Артикул
|
Наименование |
Производитель
|
|---|
|
Артикул
|
Наименование |
Производитель
|
|---|
Акции и предложения
Популярные продукты:
ELISA Kit DIY Materials for Prostate Specific Antigen (PSA) (KSA151Mu01)
Организм: мышь
Диапазон определения: 0.156-10 нг/мл
Чувствительность: 0.061 нг/мл
Диапазон определения: 0.156-10 нг/мл
Чувствительность: 0.061 нг/мл
Guinea Pig Protein dachsous homolog 2 ELISA kit (E05D0585)
Организм: морская свинка
Guinea Pig Thiosulfate sulfurtransferase(TST) ELISA kit (E05T0742)
Организм: морская свинка
Chicken P selectin ELISA kit (E12P0111)
Организм: курица

