| UNIPROT | P60570 |
| Иммуноген | RPE788Ra01-Recombinant Pannexin 1 (PANX1) |
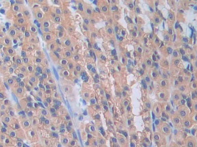
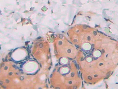
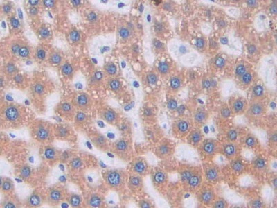
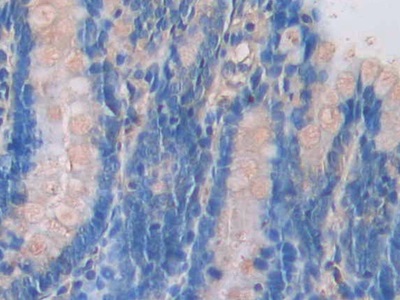
Polyclonal Antibody to Pannexin 1 (PANX1) (PAE788Ra01)
Реактивность подтвержденная:
крыса
Источник (хозяин):
кролик
Валидировано для:
IHC
Характеристики
Техническое описание
| Русское название | PAE788Ra01 Поликлональное антитело к PANX1 (крыса) <Cloud-Clone,Китай> |
| Каталожный номер | PAE788Ra01 |
| Название антигена | Pannexin 1 (PANX1) |
| UNIPROT | P60570 |
| Иммуноген | RPE788Ra01-Recombinant Pannexin 1 (PANX1) |
| Английские синонимы | MRS1, PX1, Innexin |
Реактивность подтвержденная Нужна другая реактивность? |
крыса |
| Источник (хозяин) | кролик |
| Клональность | поликлональное |
| Рекомбинантное | нет |
| Готовое к использованию | нет |
| Концентрация | 0.5 мг/мл |
| Конъюгат | По запросу: HRP, biotin, PerCP, PE, Cy3, FITC, Cy7, Cy5.5, PE-Cy5, PE-Cy7, PerCp-Cy5.5, APC, Cy5, PE-Cy3, PE-Cy5.5, APC-Cy7, Biotin-APC, FITC-Biotin, TRITC, APC-Cy5, AF488, AF594, AF405, AF555, AF700, AF647, AF750 |
| Валидировано для | IHC Иммуногистохимия |
| Рекомендуемые разведения | WB: 0.5-2 мкг/мл; IHC: 5-20 мкг/мл; ICC: 5-20 мкг/мл; Оптимальное разведение определяется конечным потребителем |
| Метод очистки | Антигенспецифическая аффинная хроматография с последующей аффинной хроматографией с белком А |
| Состав буфера | 0.01M PBS, pH7.4, 0.05% Proclin-300, 50% глицерин |
| Условия доставки | термобокс с аккумуляторами холода |
| Условия хранения | Сразу после получения аликвотировать и хранить при -20ºС до 24 месяцев. Для частого использования хранить при +4ºС не более 2 недель. Избегать повторения циклов замерзания/оттаивания |
| Срок хранения | 24 месяца |
| Производитель | Cloud-Clone Corp. |
| Ссылка на страницу товара на сайте производителя | http://www.cloud-clone.com/products/PAE788Ra01.html |
|
Артикул
|
Наименование |
Производитель
|
|---|
|
Артикул
|
Наименование |
Производитель
|
|---|
|
Артикул
|
Наименование |
Производитель
|
|---|
Акции и предложения
Популярные продукты:
Anti-Mouse CLEC4F Nanobody (SAb2322) (RMP17101)
Источник (хозяин): альпака
Реактивность подтвержденная: мышь
Валидировано для: ELISA, SPR
Реактивность подтвержденная: мышь
Валидировано для: ELISA, SPR
Anti-AAV9 VP1/Capsidprotein VP1 Antibody (SAb2392) (RVV46701)
Источник (хозяин): мышь
Реактивность подтвержденная: вирусы
Валидировано для: CLIA, ELISA, IHC, IP, WB
Реактивность подтвержденная: вирусы
Валидировано для: CLIA, ELISA, IHC, IP, WB
ELISA Kit DIY Materials for Na+ Taurocholate Cotransporting Polypeptide (NTCP) (KSE421Hu01)
Организм: человек
Диапазон определения: 0.78-50 нг/мл
Чувствительность: 0.32 нг/мл
Диапазон определения: 0.78-50 нг/мл
Чувствительность: 0.32 нг/мл
Monoclonal Antibody to Cathepsin B (CTSB) (MAC964Hu29)
Источник (хозяин): мышь
Реактивность подтвержденная: человек
Валидировано для: WB
Реактивность подтвержденная: человек
Валидировано для: WB
Polyclonal Antibody to Secretory Immunoglobulin A (sIgA) (PAA641Hu01)
Источник (хозяин): кролик
Реактивность подтвержденная: человек
Валидировано для: ICC, IHC, WB
Реактивность подтвержденная: человек
Валидировано для: ICC, IHC, WB
Sheep Protein dachsous homolog 2 ELISA kit (E14D0585)
Организм: овца

