| UNIPROT | P52430 |
| Иммуноген | RPA243Mu02-Recombinant Paraoxonase 1 (PON1) |
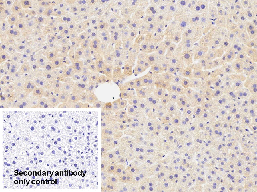
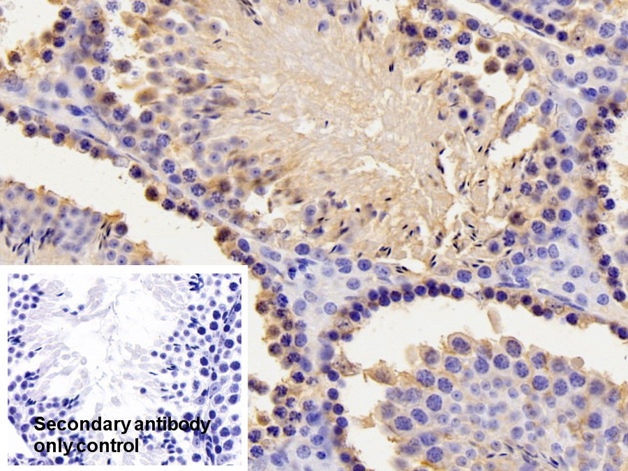
Polyclonal Antibody to Paraoxonase 1 (PON1) (PAA243Mu02)
Реактивность подтвержденная:
мышь
Источник (хозяин):
кролик
Валидировано для:
IHC
WB
Характеристики
Техническое описание
| Русское название | PAA243Mu02 Поликлональное антитело к PON1 (мышь) <Cloud-Clone,Китай> |
| Каталожный номер | PAA243Mu02 |
| Название антигена | Paraoxonase 1 (PON1) |
| UNIPROT | P52430 |
| Иммуноген | RPA243Mu02-Recombinant Paraoxonase 1 (PON1) |
| Английские синонимы | ESA, PON, Esterase A, Serum paraoxonase/arylesterase 1, Aromatic esterase 1, A-esterase 1, Serum aryldialkylphosphatase 1 |
Реактивность подтвержденная Нужна другая реактивность? |
мышь |
| Реактивность предсказываемая | крыса |
| Источник (хозяин) | кролик |
| Клональность | поликлональное |
| Рекомбинантное | нет |
| Готовое к использованию | нет |
| Концентрация | 500 мкг/мл |
| Конъюгат | По запросу: HRP, biotin, PerCP, PE, Cy3, FITC, Cy7, Cy5.5, PE-Cy5, PE-Cy7, PerCp-Cy5.5, APC, Cy5, PE-Cy3, PE-Cy5.5, APC-Cy7, Biotin-APC, FITC-Biotin, TRITC, APC-Cy5, AF488, AF594, AF405, AF555, AF700, AF647, AF750 |
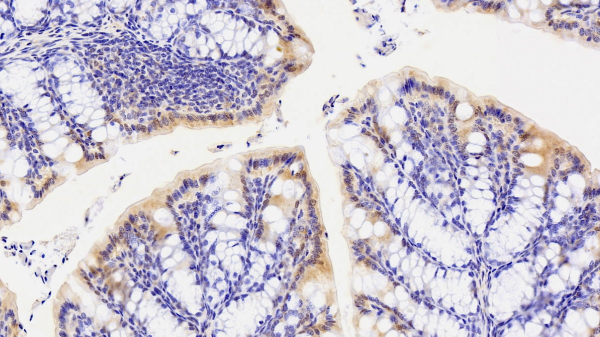
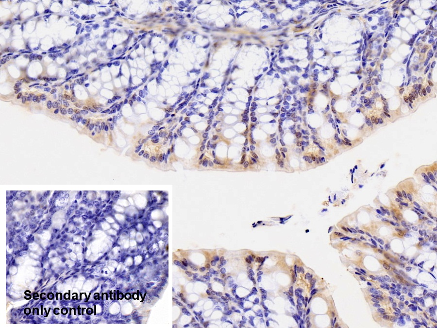
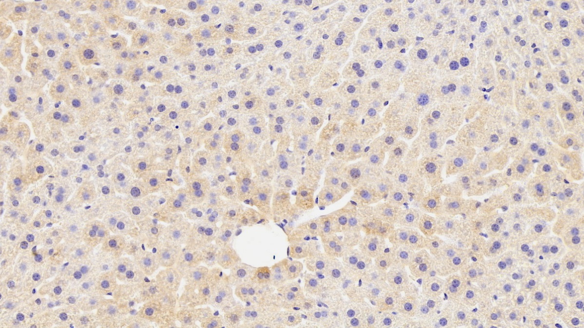
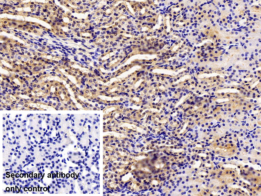
| Валидировано для | IHC WB Иммуногистохимия; Вестерн-блоттинг |
| Рекомендуемые разведения | WB: 0.2-2 мкг/мл; 1:250-2500; IHC: 5-20 мкг/мл; 1:25-100; ICC: 5-20 мкг/мл; 1:25-100; Оптимальное разведение определяется конечным потребителем |
| Метод очистки | Антигенспецифическая аффинная хроматография с последующей аффинной хроматографией с белком А |
| Состав буфера | 0.01M PBS, pH7.4, 0.05% Proclin-300, 50% глицерин |
| Условия доставки | термобокс с аккумуляторами холода |
| Условия хранения | Сразу после получения аликвотировать и хранить при -20ºС до 24 месяцев. Для частого использования хранить при +4ºС не более 2 недель. Избегать повторения циклов замерзания/оттаивания |
| Срок хранения | 24 месяца |
| Производитель | Cloud-Clone Corp. |
| Ссылка на страницу товара на сайте производителя | http://www.cloud-clone.com/products/PAA243Mu02.html |
|
Артикул
|
Наименование |
Производитель
|
|---|
|
Артикул
|
Наименование |
Производитель
|
|---|
|
Артикул
|
Наименование |
Производитель
|
|---|
|
Артикул
|
Наименование |
Производитель
|
|---|
|
Артикул
|
Наименование |
Производитель
|
|---|
Акции и предложения
Популярные продукты:
ELISA Kit DIY Materials for Transforming Growth Factor Alpha (TGFa) (KSA123Ra01)
Организм: крыса
Диапазон определения: 7.8-500 пг/мл
Чувствительность: 3.2 пг/мл
Диапазон определения: 7.8-500 пг/мл
Чувствительность: 3.2 пг/мл
Rat Adipose Triglyceride Lipase,ATGL ELISA kit (E02A1943)
Организм: крыса
Rabbit Jun Dimerization Protein 2 ELISA kit (E04J0010)
Организм: кролик
Mouse Zinc transporter 6(SLC30A6) ELISA kit (E03Z0014)
Организм: мышь
Mouse S100 Calcium Binding Protein A4 ELISA kit (E03S0438)
Организм: мышь
TNF-α Polyclonal Antibody (E-AB-93337)
Источник (хозяин): кролик
Реактивность подтвержденная: человек
Валидировано для: WB
Реактивность подтвержденная: человек
Валидировано для: WB

