| UNIPROT | P55159 |
| Иммуноген | RPA243Ra01-Recombinant Paraoxonase 1 (PON1) |
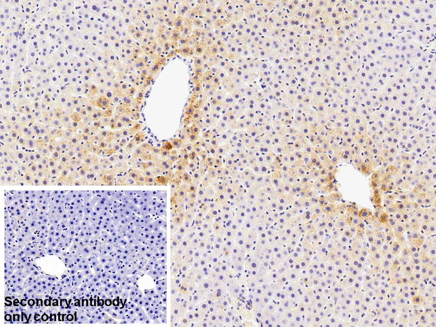
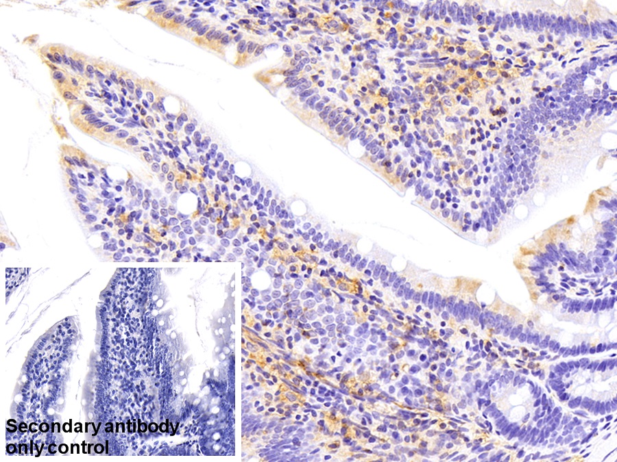
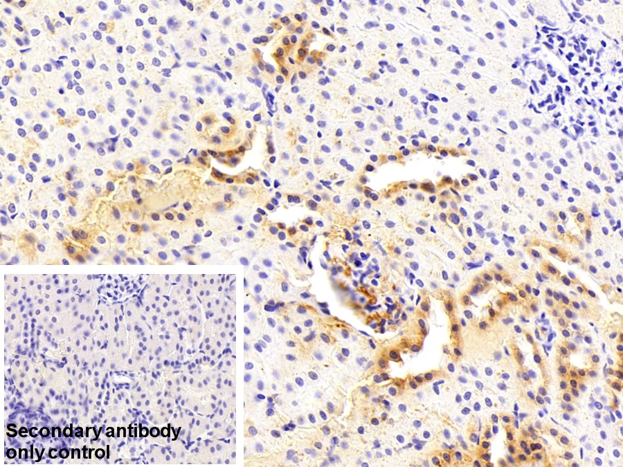
Polyclonal Antibody to Paraoxonase 1 (PON1) (PAA243Ra01)
Реактивность подтвержденная:
крыса
Источник (хозяин):
кролик
Валидировано для:
IHC
WB
Характеристики
Техническое описание
| Русское название | PAA243Ra01 Поликлональное антитело к PON1 (крыса) <Cloud-Clone,Китай> |
| Каталожный номер | PAA243Ra01 |
| Название антигена | Paraoxonase 1 (PON1) |
| UNIPROT | P55159 |
| Иммуноген | RPA243Ra01-Recombinant Paraoxonase 1 (PON1) |
| Английские синонимы | ESA, PON, Esterase A, Serum paraoxonase/arylesterase 1, Aromatic esterase 1, A-esterase 1, Serum aryldialkylphosphatase 1 |
Реактивность подтвержденная Нужна другая реактивность? |
крыса |
| Реактивность предсказываемая | мышь |
| Источник (хозяин) | кролик |
| Клональность | поликлональное |
| Рекомбинантное | нет |
| Готовое к использованию | нет |
| Концентрация | 0.5 мг/мл |
| Конъюгат | По запросу: HRP, biotin, PerCP, PE, Cy3, FITC, Cy7, Cy5.5, PE-Cy5, PE-Cy7, PerCp-Cy5.5, APC, Cy5, PE-Cy3, PE-Cy5.5, APC-Cy7, Biotin-APC, FITC-Biotin, TRITC, APC-Cy5, AF488, AF594, AF405, AF555, AF700, AF647, AF750 |
| Валидировано для | IHC WB Иммуногистохимия; Вестерн-блоттинг |
| Рекомендуемые разведения | WB: 0.01-2 мкг/мл; IHC: 5-20 мкг/мл; ICC: 5-20 мкг/мл; Оптимальное разведение определяется конечным потребителем |
| Метод очистки | Антигенспецифическая аффинная хроматография с последующей аффинной хроматографией с белком А |
| Состав буфера | PBS, pH7.4, 0.02% NaN3, 50% глицерин |
| Условия доставки | термобокс с аккумуляторами холода |
| Условия хранения | Сразу после получения аликвотировать и хранить при -20ºС до 24 месяцев. Для частого использования хранить при +4ºС не более 2 недель. Избегать повторения циклов замерзания/оттаивания |
| Срок хранения | 24 месяца |
| Производитель | Cloud-Clone Corp. |
| Ссылка на страницу товара на сайте производителя | http://www.cloud-clone.com/products/PAA243Ra01.html |
|
Артикул
|
Наименование |
Производитель
|
|---|
|
Артикул
|
Наименование |
Производитель
|
|---|
|
Артикул
|
Наименование |
Производитель
|
|---|
|
Артикул
|
Наименование |
Производитель
|
|---|
|
Артикул
|
Наименование |
Производитель
|
|---|
Акции и предложения
Популярные продукты:
Anti-SNAP-25 Antibody (SAb2311) (RHF38107)
Источник (хозяин): мышь
Реактивность подтвержденная: человек
Валидировано для: ELISA
Реактивность подтвержденная: человек
Валидировано для: ELISA
ELISA Kit DIY Materials for Interferon Gamma (IFNg) (KSA049Ov01)
Организм: овца
Диапазон определения: 15.6-1000 пг/мл
Чувствительность: 6.1 пг/мл
Диапазон определения: 15.6-1000 пг/мл
Чувствительность: 6.1 пг/мл
ELISA Kit DIY Materials for Interferon Gamma (IFNg) (KSA049Gu01)
Организм: морская свинка
Диапазон определения: 15.6-1000 пг/мл
Чувствительность: 5.7 пг/мл
Диапазон определения: 15.6-1000 пг/мл
Чувствительность: 5.7 пг/мл
ELISA Kit DIY Materials for Interferon Gamma (IFNg) (KSA049Mu01)
Организм: мышь
Диапазон определения: 15.6-1000 пг/мл
Чувствительность: 5.8 пг/мл
Диапазон определения: 15.6-1000 пг/мл
Чувствительность: 5.8 пг/мл
Bovine Serine Dehydratase ELISA kit (E11S0449)
Организм: корова
Guinea Pig Melanocortin receptor 4(MC4R) ELISA kit (E05M0386)
Организм: морская свинка

