| UNIPROT | Q15165 |
| Иммуноген | RPD177Hu01-Recombinant Paraoxonase 2 (PON2) |
Polyclonal Antibody to Paraoxonase 2 (PON2) (PAD177Hu01)
Реактивность подтвержденная:
человек
Источник (хозяин):
кролик
Валидировано для:
IHC
WB
Характеристики
Техническое описание
| Русское название | PAD177Hu01 Поликлональное антитело к PON2 (человек) <Cloud-Clone,Китай> |
| Каталожный номер | PAD177Hu01 |
| Название антигена | Paraoxonase 2 (PON2) |
| UNIPROT | Q15165 |
| Иммуноген | RPD177Hu01-Recombinant Paraoxonase 2 (PON2) |
| Английские синонимы | Serum Paraoxonase/Arylesterase 2, Paraoxonase Nirs, Aromatic esterase 2, Serum aryldialkylphosphatase 2 |
Реактивность подтвержденная Нужна другая реактивность? |
человек |
| Источник (хозяин) | кролик |
| Клональность | поликлональное |
| Рекомбинантное | нет |
| Готовое к использованию | нет |
| Концентрация | 0.5 мг/мл |
| Конъюгат | По запросу: HRP, biotin, PerCP, PE, Cy3, FITC, Cy7, Cy5.5, PE-Cy5, PE-Cy7, PerCp-Cy5.5, APC, Cy5, PE-Cy3, PE-Cy5.5, APC-Cy7, Biotin-APC, FITC-Biotin, TRITC, APC-Cy5, AF488, AF594, AF405, AF555, AF700, AF647, AF750 |
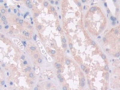
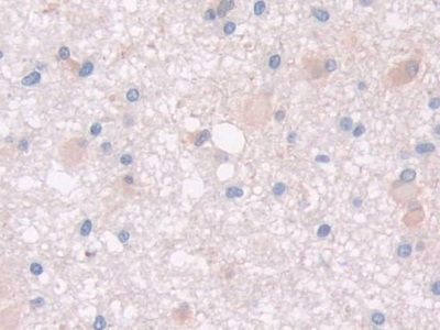
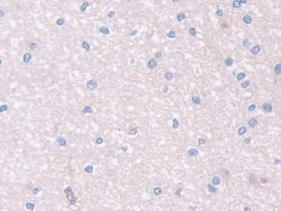
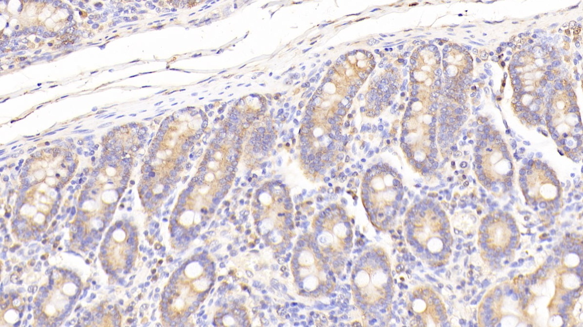
| Валидировано для | IHC WB Иммуногистохимия; Вестерн-блоттинг |
| Рекомендуемые разведения | WB: 0.01-2 мкг/мл; IHC: 5-30 мкг/мл; Оптимальное разведение определяется конечным потребителем |
| Метод очистки | Антигенспецифическая аффинная хроматография с последующей аффинной хроматографией с белком А |
| Состав буфера | 0.01M PBS, pH7.4, 0.05% Proclin-300, 50% глицерин |
| Условия доставки | термобокс с аккумуляторами холода |
| Условия хранения | Сразу после получения аликвотировать и хранить при -20ºС до 24 месяцев. Для частого использования хранить при +4ºС не более 2 недель. Избегать повторения циклов замерзания/оттаивания |
| Срок хранения | 24 месяца |
| Производитель | Cloud-Clone Corp. |
| Ссылка на страницу товара на сайте производителя | http://www.cloud-clone.com/products/PAD177Hu01.html |
|
Артикул
|
Наименование |
Производитель
|
|---|
|
Артикул
|
Наименование |
Производитель
|
|---|
|
Артикул
|
Наименование |
Производитель
|
|---|
Акции и предложения
Популярные продукты:
Anti-BRSK2 Polyclonal Antibody (PHP15001)
Источник (хозяин): кролик
Реактивность подтвержденная: человек, мышь, крыса
Валидировано для: ELISA, WB
Реактивность подтвержденная: человек, мышь, крыса
Валидировано для: ELISA, WB
Rabbit ATP dependent RNA helicase DHX8(DHX8) ELISA kit (E04A1842)
Организм: кролик
Human Actin like protein 7A(ACTL7A) ELISA kit (E01A1224)
Организм: человек
Диапазон определения: 50-1000 нг/мл
Чувствительность: 1 нг/мл
Диапазон определения: 50-1000 нг/мл
Чувствительность: 1 нг/мл
Porcine Caprin 1(CAPRIN1) ELISA kit (E07C1368)
Организм: свинья

