| UNIPROT | Q62086 |
| Иммуноген | RPD177Mu01-Recombinant Paraoxonase 2 (PON2) |
Polyclonal Antibody to Paraoxonase 2 (PON2) (PAD177Mu01)
Реактивность подтвержденная:
мышь
Источник (хозяин):
кролик
Валидировано для:
IHC
Характеристики
Техническое описание
| Русское название | PAD177Mu01 Поликлональное антитело к PON2 (мышь) <Cloud-Clone,Китай> |
| Каталожный номер | PAD177Mu01 |
| Название антигена | Paraoxonase 2 (PON2) |
| UNIPROT | Q62086 |
| Иммуноген | RPD177Mu01-Recombinant Paraoxonase 2 (PON2) |
| Английские синонимы | Serum Paraoxonase/Arylesterase 2, Paraoxonase Nirs, Aromatic esterase 2, Serum aryldialkylphosphatase 2 |
Реактивность подтвержденная Нужна другая реактивность? |
мышь |
| Реактивность предсказываемая | человек, крыса |
| Источник (хозяин) | кролик |
| Клональность | поликлональное |
| Рекомбинантное | нет |
| Готовое к использованию | нет |
| Концентрация | 0.4 мг/мл |
| Конъюгат | По запросу: HRP, biotin, PerCP, PE, Cy3, FITC, Cy7, Cy5.5, PE-Cy5, PE-Cy7, PerCp-Cy5.5, APC, Cy5, PE-Cy3, PE-Cy5.5, APC-Cy7, Biotin-APC, FITC-Biotin, TRITC, APC-Cy5, AF488, AF594, AF405, AF555, AF700, AF647, AF750 |
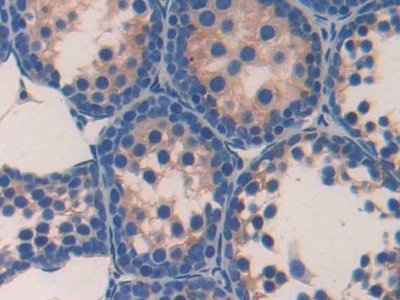
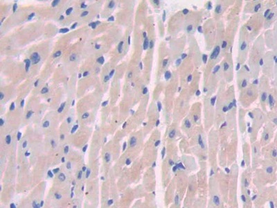
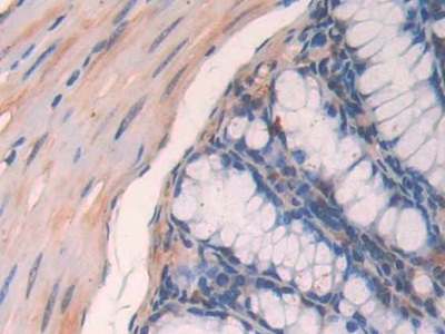
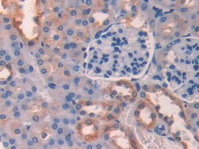
| Валидировано для | IHC Иммуногистохимия |
| Рекомендуемые разведения | WB: 0.01-2 мкг/мл; IHC: 5-20 мкг/мл; IF: 5-20 мкг/мл; Оптимальное разведение определяется конечным потребителем |
| Метод очистки | Антигенспецифическая аффинная хроматография с последующей аффинной хроматографией с белком А |
| Состав буфера | PBS, pH7.4, 0.02% NaN3, 50% глицерин |
| Условия доставки | термобокс с аккумуляторами холода |
| Условия хранения | Сразу после получения аликвотировать и хранить при -20ºС до 24 месяцев. Для частого использования хранить при +4ºС не более 2 недель. Избегать повторения циклов замерзания/оттаивания |
| Срок хранения | 24 месяца |
| Производитель | Cloud-Clone Corp. |
| Ссылка на страницу товара на сайте производителя | http://www.cloud-clone.com/products/PAD177Mu01.html |
|
Артикул
|
Наименование |
Производитель
|
|---|
|
Артикул
|
Наименование |
Производитель
|
|---|
|
Артикул
|
Наименование |
Производитель
|
|---|
Акции и предложения
Популярные продукты:
Human Actin like protein 7A(ACTL7A) ELISA kit (E01A1224)
Организм: человек
Диапазон определения: 50-1000 нг/мл
Чувствительность: 1 нг/мл
Диапазон определения: 50-1000 нг/мл
Чувствительность: 1 нг/мл
Rabbit Calcipressin 2(RCAN2) ELISA kit (E04C2417)
Организм: кролик
Monkey Glycated Albumin ELISA kit (E09G0293)
Организм: обезьяна
Anti-Escherichia coli eae/Intimin Polyclonal Antibody (PXX09901)
Источник (хозяин): кролик
Реактивность подтвержденная: бактерии
Валидировано для: ELISA, IHC, WB
Реактивность подтвержденная: бактерии
Валидировано для: ELISA, IHC, WB
Anti-DENV-2 NSP5/NS5 Antibody (1D8) (RVV32703)
Источник (хозяин): человек
Реактивность подтвержденная: вирусы
Валидировано для: ELISA
Реактивность подтвержденная: вирусы
Валидировано для: ELISA
Anti-DENV-2 NSP5/NS5 Antibody (1D7) (RVV32706)
Источник (хозяин): человек
Реактивность подтвержденная: вирусы
Валидировано для: ELISA
Реактивность подтвержденная: вирусы
Валидировано для: ELISA

