| UNIPROT | Q15166 |
| Иммуноген | RPD178Hu01-Recombinant Paraoxonase 3 (PON3) |
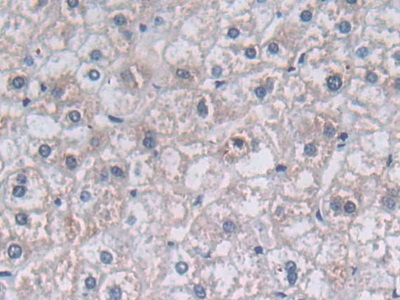
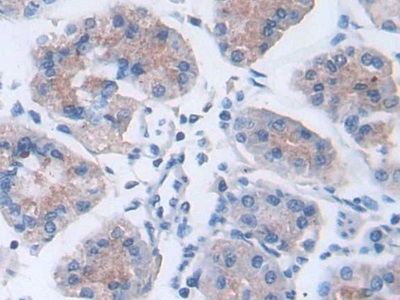
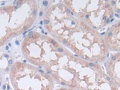
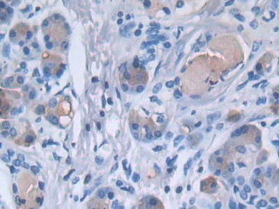
Polyclonal Antibody to Paraoxonase 3 (PON3) (PAD178Hu01)
Реактивность подтвержденная:
человек
Источник (хозяин):
кролик
Валидировано для:
IHC
WB
Характеристики
Техническое описание
| Русское название | PAD178Hu01 Поликлональное антитело к PON3 (человек) <Cloud-Clone,Китай> |
| Каталожный номер | PAD178Hu01 |
| Название антигена | Paraoxonase 3 (PON3) |
| UNIPROT | Q15166 |
| Иммуноген | RPD178Hu01-Recombinant Paraoxonase 3 (PON3) |
| Английские синонимы | Serum paraoxonase/lactonase 3 |
Реактивность подтвержденная Нужна другая реактивность? |
человек |
| Источник (хозяин) | кролик |
| Клональность | поликлональное |
| Рекомбинантное | нет |
| Готовое к использованию | нет |
| Концентрация | 0.34 мг/мл |
| Конъюгат | По запросу: HRP, biotin, PerCP, PE, Cy3, FITC, Cy7, Cy5.5, PE-Cy5, PE-Cy7, PerCp-Cy5.5, APC, Cy5, PE-Cy3, PE-Cy5.5, APC-Cy7, Biotin-APC, FITC-Biotin, TRITC, APC-Cy5, AF488, AF594, AF405, AF555, AF700, AF647, AF750 |
| Валидировано для | IHC WB Иммуногистохимия; Вестерн-блоттинг |
| Рекомендуемые разведения | WB: 0.01-2 мкг/мл; IHC: 5-20 мкг/мл; ICC: 5-20 мкг/мл; Оптимальное разведение определяется конечным потребителем |
| Метод очистки | Антигенспецифическая аффинная хроматография с последующей аффинной хроматографией с белком А |
| Состав буфера | PBS, pH7.4, 0.02% NaN3, 50% глицерин |
| Условия доставки | термобокс с аккумуляторами холода |
| Условия хранения | Сразу после получения аликвотировать и хранить при -20ºС до 24 месяцев. Для частого использования хранить при +4ºС не более 2 недель. Избегать повторения циклов замерзания/оттаивания |
| Срок хранения | 24 месяца |
| Производитель | Cloud-Clone Corp. |
| Ссылка на страницу товара на сайте производителя | http://www.cloud-clone.com/products/PAD178Hu01.html |
|
Артикул
|
Наименование |
Производитель
|
|---|
|
Артикул
|
Наименование |
Производитель
|
|---|
|
Артикул
|
Наименование |
Производитель
|
|---|
|
Артикул
|
Наименование |
Производитель
|
|---|
Акции и предложения
Популярные продукты:
Porcine ATPase WRNIP1(WRNIP1) ELISA kit (E07A2019)
Организм: свинья
Human Protein Kinase, AMP Activated Alpha 1 ELISA kit (E01P0140)
Организм: человек
Диапазон определения: 50-1000 пг/мл
Чувствительность: 1 пг/мл
Диапазон определения: 50-1000 пг/мл
Чувствительность: 1 пг/мл
Anti-Human MAGEC2 Polyclonal Antibody (PHK63301)
Источник (хозяин): кролик
Реактивность подтвержденная: человек
Валидировано для: ELISA, IHC, WB
Реактивность подтвержденная: человек
Валидировано для: ELISA, IHC, WB
Recombinant Human YTHDC2 Protein, N-His (YHK49101)
Источник (хозяин): E.coli
Организм: человек
Фрагмент: Glu185-Gly361
Теги: N-His
Биоактивность: нет
Организм: человек
Фрагмент: Glu185-Gly361
Теги: N-His
Биоактивность: нет
Recombinant Human DSG1 Protein, N-His (YHF93801)
Источник (хозяин): E.coli
Организм: человек
Фрагмент: Glu50-Pro548
Теги: N-His
Биоактивность: нет
Организм: человек
Фрагмент: Glu50-Pro548
Теги: N-His
Биоактивность: нет
Recombinant Human DSG1 Protein, C-His (EHF93801)
Источник (хозяин): клетки насекомых
Организм: человек
Фрагмент: Glu50-Pro548
Теги: C-His
Биоактивность: нет
Организм: человек
Фрагмент: Glu50-Pro548
Теги: C-His
Биоактивность: нет

