| UNIPROT | Q99LX0 |
| Иммуноген | RPL059Mu01-Recombinant Parkinson Disease Protein 7 (PARK7) |
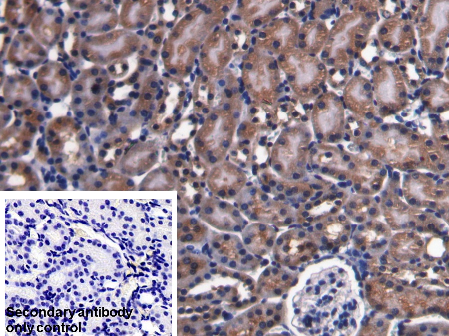
Polyclonal Antibody to Parkinson Disease Protein 7 (PARK7) (PAL059Mu01)
Реактивность подтвержденная:
мышь
Источник (хозяин):
кролик
Валидировано для:
IHC
WB
Характеристики
Техническое описание
| Русское название | PAL059Mu01 Поликлональное антитело к PARK7 (мышь) <Cloud-Clone,Китай> |
| Каталожный номер | PAL059Mu01 |
| Название антигена | Parkinson Disease Protein 7 (PARK7) |
| UNIPROT | Q99LX0 |
| Иммуноген | RPL059Mu01-Recombinant Parkinson Disease Protein 7 (PARK7) |
| Английские синонимы | DJ1, Autosomal Recessive,Early Onset |
Реактивность подтвержденная Нужна другая реактивность? |
мышь |
| Реактивность предсказываемая | человек, крыса |
| Источник (хозяин) | кролик |
| Клональность | поликлональное |
| Рекомбинантное | нет |
| Готовое к использованию | нет |
| Концентрация | 1 мг/мл |
| Конъюгат | По запросу: HRP, biotin, PerCP, PE, Cy3, FITC, Cy7, Cy5.5, PE-Cy5, PE-Cy7, PerCp-Cy5.5, APC, Cy5, PE-Cy3, PE-Cy5.5, APC-Cy7, Biotin-APC, FITC-Biotin, TRITC, APC-Cy5, AF488, AF594, AF405, AF555, AF700, AF647, AF750 |
| Валидировано для | IHC WB Иммуногистохимия; Вестерн-блоттинг |
| Рекомендуемые разведения | WB: 0.5-2 мкг/мл; 1:500-2000; IHC: 5-20 мкг/мл; 1:50-200; ICC: 5-20 мкг/мл; 1:50-200; Оптимальное разведение определяется конечным потребителем |
| Метод очистки | Антигенспецифическая аффинная хроматография с последующей аффинной хроматографией с белком А |
| Состав буфера | 0.01M PBS, pH7.4, 0.05% Proclin-300, 50% глицерин |
| Условия доставки | термобокс с аккумуляторами холода |
| Условия хранения | Сразу после получения аликвотировать и хранить при -20ºС до 24 месяцев. Для частого использования хранить при +4ºС не более 2 недель. Избегать повторения циклов замерзания/оттаивания |
| Срок хранения | 24 месяца |
| Производитель | Cloud-Clone Corp. |
| Ссылка на страницу товара на сайте производителя | http://www.cloud-clone.com/products/PAL059Mu01.html |
|
Артикул
|
Наименование |
Производитель
|
|---|
|
Артикул
|
Наименование |
Производитель
|
|---|
|
Артикул
|
Наименование |
Производитель
|
|---|
|
Артикул
|
Наименование |
Производитель
|
|---|
Акции и предложения
Популярные продукты:
Anti-Monkey CD3E Antibody (Fs0315), FITC (FWC27711)
Источник (хозяин): мышь
Реактивность подтвержденная: обезьяна
Валидировано для: ELISA, FCM
Реактивность подтвержденная: обезьяна
Валидировано для: ELISA, FCM
Human Parkinson Disease Protein 7 ELISA kit (E01P1009)
Организм: человек
Диапазон определения: 1-25 нг/мл
Чувствительность: 0.1 нг/мл
Диапазон определения: 1-25 нг/мл
Чувствительность: 0.1 нг/мл
Monkey Carbohyde sulfotransferase 7(CHST7) ELISA kit (E09C1714)
Организм: обезьяна
Rat Cadherin 22(CDH22) ELISA kit (E02C1542)
Организм: крыса
Rat Guanylin(GUCA2A) ELISA kit (E02G0443)
Организм: крыса
Mouse Tetraspanin 12(TSPAN12) ELISA kit (E03T0741)
Организм: мышь

