| UNIPROT | P26022 |
| Иммуноген | RPK411Hu01-Recombinant Pentraxin 3, Long (PTX3) |
Polyclonal Antibody to Pentraxin 3, Long (PTX3) (PAK411Hu01)
Реактивность подтвержденная:
человек
Источник (хозяин):
кролик
Валидировано для:
IHC
WB
Характеристики
Техническое описание
| Русское название | PAK411Hu01 Поликлональное антитело к PTX3 (человек) <Cloud-Clone,Китай> |
| Каталожный номер | PAK411Hu01 |
| Название антигена | Pentraxin 3, Long (PTX3) |
| UNIPROT | P26022 |
| Иммуноген | RPK411Hu01-Recombinant Pentraxin 3, Long (PTX3) |
| Английские синонимы | TNFAIP5, TSG-14, Pentaxin-Related Gene,Rapidly Induced By IL-1 Beta, Tumor Necrosis Factor Alpha-Induced Protein 5, Tumor necrosis factor-inducible gene 14 protein |
Реактивность подтвержденная Нужна другая реактивность? |
человек |
| Источник (хозяин) | кролик |
| Клональность | поликлональное |
| Рекомбинантное | нет |
| Готовое к использованию | нет |
| Концентрация | 500 мкг/мл |
| Конъюгат | По запросу: HRP, biotin, PerCP, PE, Cy3, FITC, Cy7, Cy5.5, PE-Cy5, PE-Cy7, PerCp-Cy5.5, APC, Cy5, PE-Cy3, PE-Cy5.5, APC-Cy7, Biotin-APC, FITC-Biotin, TRITC, APC-Cy5, AF488, AF594, AF405, AF555, AF700, AF647, AF750 |
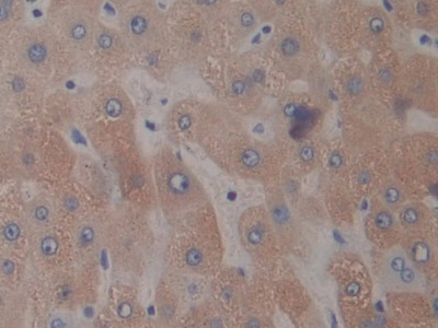
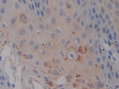
| Валидировано для | IHC WB Иммуногистохимия; Вестерн-блоттинг |
| Рекомендуемые разведения | WB: 0.2-2 мкг/мл; 1:250-2500; IHC: 5-20 мкг/мл; 1:25-100; ICC: 5-20 мкг/мл; 1:25-100; Оптимальное разведение определяется конечным потребителем |
| Метод очистки | Антигенспецифическая аффинная хроматография с последующей аффинной хроматографией с белком А |
| Состав буфера | 0.01M PBS, pH7.4, 0.05% Proclin-300, 50% глицерин |
| Условия доставки | термобокс с аккумуляторами холода |
| Условия хранения | Сразу после получения аликвотировать и хранить при -20ºС до 24 месяцев. Для частого использования хранить при +4ºС не более 2 недель. Избегать повторения циклов замерзания/оттаивания |
| Срок хранения | 24 месяца |
| Производитель | Cloud-Clone Corp. |
| Ссылка на страницу товара на сайте производителя | http://www.cloud-clone.com/products/PAK411Hu01.html |
|
Артикул
|
Наименование |
Производитель
|
|---|
|
Артикул
|
Наименование |
Производитель
|
|---|
|
Артикул
|
Наименование |
Производитель
|
|---|
|
Артикул
|
Наименование |
Производитель
|
|---|
|
Артикул
|
Наименование |
Производитель
|
|---|
Акции и предложения
Популярные продукты:
Coenzyme Q10 (CoQ10) Colorimetric Assay Kit (E-BC-K885-M)
Организм: для всех
Диапазон определения: 0.016 мг/мл
Чувствительность: 0.016-1 мг/мл
Диапазон определения: 0.016 мг/мл
Чувствительность: 0.016-1 мг/мл
Rat Erythropoietin antibody ELISA kit (E02E0004)
Организм: крыса
Porcine Angiogenin ELISA kit (E07A0501)
Организм: свинья
Recombinant Human CD1B/CD1A Protein (Fc Tag) (PKSH030990)
Источник (хозяин): HEK293
Организм: человек
Фрагмент: Met 1-Ser 303
Теги: C-hFc
Биоактивность: нет
Организм: человек
Фрагмент: Met 1-Ser 303
Теги: C-hFc
Биоактивность: нет
Recombinant Human CD300d/CD300LD Protein, N-His (YHJ10101)
Источник (хозяин): E.coli
Организм: человек
Фрагмент: Ala19-His165
Теги: N-His
Биоактивность: нет
Организм: человек
Фрагмент: Ala19-His165
Теги: N-His
Биоактивность: нет
Recombinant CSFV E2 glycoprotein Protein, C-Strep-His (EVV31002)
Источник (хозяин): клетки насекомых
Организм: вирусы
Фрагмент: Arg1-Asp337
Теги: C-Strep-His
Биоактивность: нет
Организм: вирусы
Фрагмент: Arg1-Asp337
Теги: C-Strep-His
Биоактивность: нет

