| UNIPROT | P26022 |
| Иммуноген | RPK411Hu01-Recombinant Pentraxin 3, Long (PTX3) |
Polyclonal Antibody to Pentraxin 3, Long (PTX3) (PAK411Hu02)
Реактивность подтвержденная:
человек
Источник (хозяин):
кролик
Валидировано для:
IHC
Характеристики
Техническое описание
| Русское название | PAK411Hu02 Поликлональное антитело к PTX3 (человек) <Cloud-Clone,Китай> |
| Каталожный номер | PAK411Hu02 |
| Название антигена | Pentraxin 3, Long (PTX3) |
| UNIPROT | P26022 |
| Иммуноген | RPK411Hu01-Recombinant Pentraxin 3, Long (PTX3) |
| Английские синонимы | TNFAIP5, TSG-14, Pentaxin-Related Gene,Rapidly Induced By IL-1 Beta, Tumor Necrosis Factor Alpha-Induced Protein 5, Tumor necrosis factor-inducible gene 14 protein |
Реактивность подтвержденная Нужна другая реактивность? |
человек |
| Реактивность предсказываемая | мышь |
| Источник (хозяин) | кролик |
| Клональность | поликлональное |
| Рекомбинантное | нет |
| Готовое к использованию | нет |
| Концентрация | 500 мкг/мл |
| Конъюгат | По запросу: HRP, biotin, PerCP, PE, Cy3, FITC, Cy7, Cy5.5, PE-Cy5, PE-Cy7, PerCp-Cy5.5, APC, Cy5, PE-Cy3, PE-Cy5.5, APC-Cy7, Biotin-APC, FITC-Biotin, TRITC, APC-Cy5, AF488, AF594, AF405, AF555, AF700, AF647, AF750 |
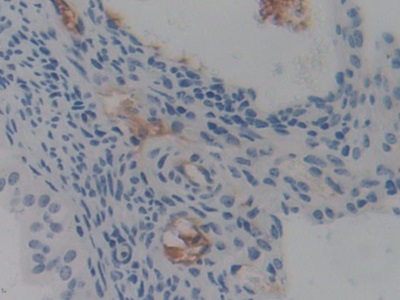
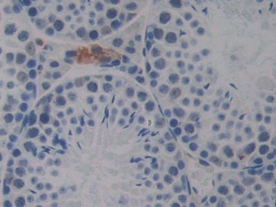
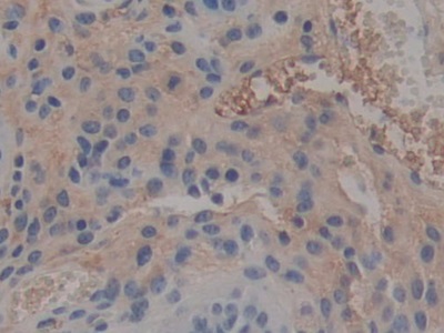
| Валидировано для | IHC Иммуногистохимия |
| Рекомендуемые разведения | WB: 0.5-2 мкг/мл; IHC: 5-20 мкг/мл; ICC: 5-20 мкг/мл; Оптимальное разведение определяется конечным потребителем |
| Метод очистки | Антигенспецифическая аффинная хроматография с последующей аффинной хроматографией с белком А |
| Состав буфера | 0.01M PBS, pH7.4, 0.05% Proclin-300, 50% глицерин |
| Условия доставки | термобокс с аккумуляторами холода |
| Условия хранения | Сразу после получения аликвотировать и хранить при -20ºС до 24 месяцев. Для частого использования хранить при +4ºС не более 2 недель. Избегать повторения циклов замерзания/оттаивания |
| Срок хранения | 24 месяца |
| Производитель | Cloud-Clone Corp. |
| Ссылка на страницу товара на сайте производителя | http://www.cloud-clone.com/products/PAK411Hu02.html |
|
Артикул
|
Наименование |
Производитель
|
|---|
|
Артикул
|
Наименование |
Производитель
|
|---|
|
Артикул
|
Наименование |
Производитель
|
|---|
|
Артикул
|
Наименование |
Производитель
|
|---|
|
Артикул
|
Наименование |
Производитель
|
|---|
Акции и предложения
Популярные продукты:
Anti-HBV HBsAg Polyclonal Antibody (PVV03001)
Источник (хозяин): кролик
Реактивность подтвержденная: вирусы
Валидировано для: ELISA, IHC, WB
Реактивность подтвержденная: вирусы
Валидировано для: ELISA, IHC, WB
Canine ADP ribosylation factor 1(ARF1) ELISA kit (E08A1624)
Организм: собака
Mouse Chymotrypsinogen B2(CTRB2) ELISA kit (E03C2159)
Организм: мышь
Bovine Interleukin 3 ELISA kit (E11I0383)
Организм: корова

