| UNIPROT | P45877 |
| Иммуноген | RPB636Hu01-Recombinant Peptidylprolyl Isomerase C (PPIC) |
Polyclonal Antibody to Peptidylprolyl Isomerase C (PPIC) (PAB636Hu01)
Реактивность подтвержденная:
человек
Источник (хозяин):
кролик
Валидировано для:
IHC
Характеристики
Техническое описание
| Русское название | PAB636Hu01 Поликлональное антитело к PPIC (человек) <Cloud-Clone,Китай> |
| Каталожный номер | PAB636Hu01 |
| Название антигена | Peptidylprolyl Isomerase C (PPIC) |
| UNIPROT | P45877 |
| Иммуноген | RPB636Hu01-Recombinant Peptidylprolyl Isomerase C (PPIC) |
| Английские синонимы | PPI-C, CYPC, Cyclophilin C, Peptidyl Prolyl Cis/Trans Isomerase C, Rotamase C |
Реактивность подтвержденная Нужна другая реактивность? |
человек |
| Реактивность предсказываемая | мышь, крыса, свинья |
| Источник (хозяин) | кролик |
| Клональность | поликлональное |
| Рекомбинантное | нет |
| Готовое к использованию | нет |
| Концентрация | 500 мкг/мл |
| Конъюгат | По запросу: HRP, biotin, PerCP, PE, Cy3, FITC, Cy7, Cy5.5, PE-Cy5, PE-Cy7, PerCp-Cy5.5, APC, Cy5, PE-Cy3, PE-Cy5.5, APC-Cy7, Biotin-APC, FITC-Biotin, TRITC, APC-Cy5, AF488, AF594, AF405, AF555, AF700, AF647, AF750 |
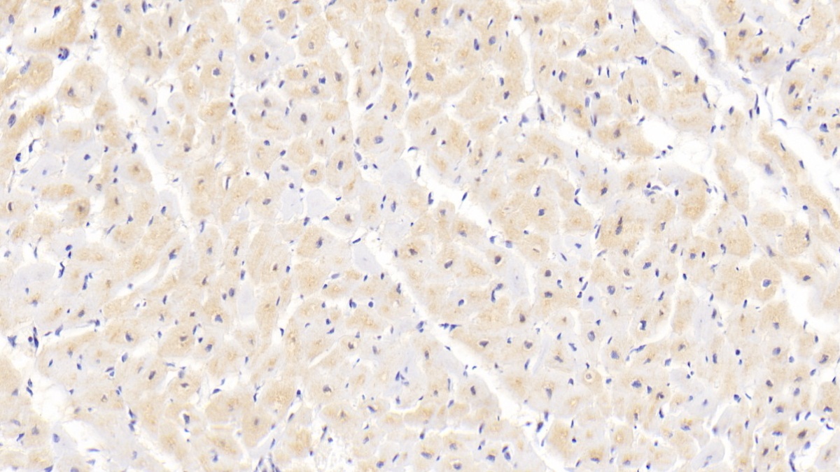
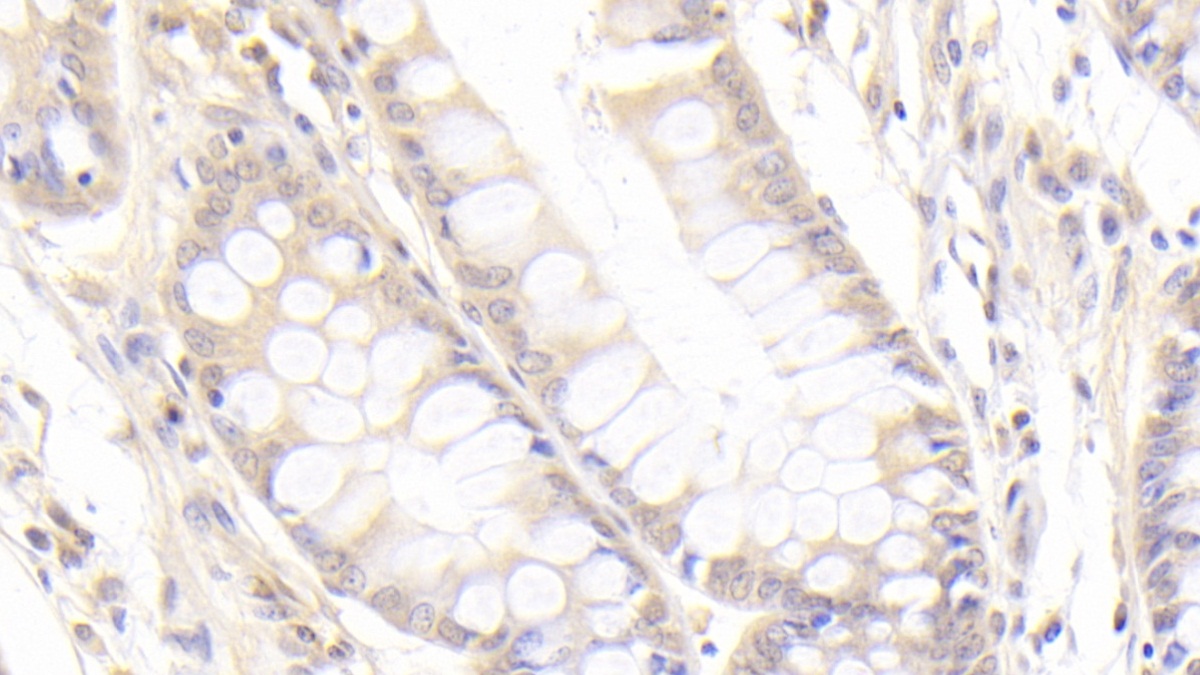
| Валидировано для | IHC Иммуногистохимия |
| Рекомендуемые разведения | WB: 0.2-2 мкг/мл; 1:250-2500; IHC: 5-20 мкг/мл; 1:25-100; ICC: 5-20 мкг/мл; 1:25-100; Оптимальное разведение определяется конечным потребителем |
| Метод очистки | Антигенспецифическая аффинная хроматография с последующей аффинной хроматографией с белком А |
| Состав буфера | 0.01M PBS, pH7.4, 0.05% Proclin-300, 50% глицерин |
| Условия доставки | термобокс с аккумуляторами холода |
| Условия хранения | Сразу после получения аликвотировать и хранить при -20ºС до 24 месяцев. Для частого использования хранить при +4ºС не более 2 недель. Избегать повторения циклов замерзания/оттаивания |
| Срок хранения | 24 месяца |
| Производитель | Cloud-Clone Corp. |
| Ссылка на страницу товара на сайте производителя | http://www.cloud-clone.com/products/PAB636Hu01.html |
|
Артикул
|
Наименование |
Производитель
|
|---|
|
Артикул
|
Наименование |
Производитель
|
|---|
|
Артикул
|
Наименование |
Производитель
|
|---|
Акции и предложения
Популярные продукты:
ELISA Kit for Angiotensin II (AngII) (CEA005Ra)
Организм: крыса
Диапазон определения: 24.69-2000 пг/мл
Чувствительность: 9.17 пг/мл
Диапазон определения: 24.69-2000 пг/мл
Чувствительность: 9.17 пг/мл
Monoclonal Antibody to Alkaline Phosphatase, Placental (ALPP) (MAB219Hu27)
Источник (хозяин): мышь
Реактивность подтвержденная: человек
Валидировано для: IHC, WB
Реактивность подтвержденная: человек
Валидировано для: IHC, WB
Human 15 hydroxyprostaglandin dehydrogenase [NAD+](HPGD) ELISA kit (E01H0149)
Организм: человек
Диапазон определения: 1-25 нг/мл
Чувствительность: 0.1 нг/мл
Диапазон определения: 1-25 нг/мл
Чувствительность: 0.1 нг/мл
Canine Protein Z ELISA kit (E08P0145)
Организм: собака

