| UNIPROT | P08183 |
| Иммуноген | RPB690Hu01-Recombinant Permeability Glycoprotein (Pgp) |
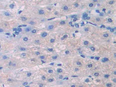
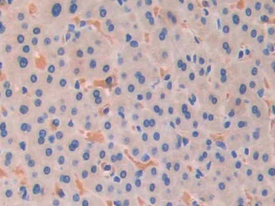
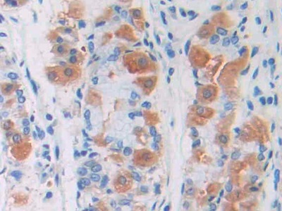
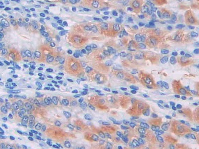
Polyclonal Antibody to Permeability Glycoprotein (Pgp) (PAB690Hu01)
Реактивность подтвержденная:
человек
Источник (хозяин):
кролик
Валидировано для:
IHC
Характеристики
Техническое описание
| Русское название | PAB690Hu01 Поликлональное антитело к Pgp (человек) <Cloud-Clone,Китай> |
| Каталожный номер | PAB690Hu01 |
| Название антигена | Permeability Glycoprotein (Pgp) |
| UNIPROT | P08183 |
| Иммуноген | RPB690Hu01-Recombinant Permeability Glycoprotein (Pgp) |
| Английские синонимы | CD243, CD 243, CD-243, ABCB1, ABC20, CLCS, GP170, MDR1, PGY1, P-Glycoprotein, Multidrug resistance protein 1, ATP-Binding Cassette,Sub-Family B(MDR/TAP),Member 1, Colchicin Sensitivity |
| Русские синонимы | Белок множественной лекарственной устойчивости 1 |
Реактивность подтвержденная Нужна другая реактивность? |
человек |
| Источник (хозяин) | кролик |
| Клональность | поликлональное |
| Рекомбинантное | нет |
| Готовое к использованию | нет |
| Концентрация | 0.38 мг/мл |
| Конъюгат | По запросу: HRP, biotin, PerCP, PE, Cy3, FITC, Cy7, Cy5.5, PE-Cy5, PE-Cy7, PerCp-Cy5.5, APC, Cy5, PE-Cy3, PE-Cy5.5, APC-Cy7, Biotin-APC, FITC-Biotin, TRITC, APC-Cy5, AF488, AF594, AF405, AF555, AF700, AF647, AF750 |
| Валидировано для | IHC Иммуногистохимия |
| Рекомендуемые разведения | WB: 0.01-3 мкг/мл; IHC: 5-30 мкг/мл; ICC: 5-20 мкг/мл; Оптимальное разведение определяется конечным потребителем |
| Метод очистки | Антигенспецифическая аффинная хроматография с последующей аффинной хроматографией с белком А |
| Состав буфера | PBS, pH7.4, 0.02% NaN3, 50% глицерин |
| Условия доставки | термобокс с аккумуляторами холода |
| Условия хранения | Сразу после получения аликвотировать и хранить при -20ºС до 24 месяцев. Для частого использования хранить при +4ºС не более 2 недель. Избегать повторения циклов замерзания/оттаивания |
| Срок хранения | 24 месяца |
| Производитель | Cloud-Clone Corp. |
| Ссылка на страницу товара на сайте производителя | http://www.cloud-clone.com/products/PAB690Hu01.html |
|
Артикул
|
Наименование |
Производитель
|
|---|
|
Артикул
|
Наименование |
Производитель
|
|---|
|
Артикул
|
Наименование |
Производитель
|
|---|
|
Артикул
|
Наименование |
Производитель
|
|---|
Акции и предложения
Популярные продукты:
Chicken Forkhead Box Protein O1 ELISA kit (E12F0115)
Организм: курица
P Glycoprotein 1 (MDR1) Mouse Monoclonal Antibody (BF8972)
Источник (хозяин): мышь
Реактивность подтвержденная: человек
Валидировано для: WB
Реактивность подтвержденная: человек
Валидировано для: WB
HSP27 Mouse Monoclonal Antibody (BF8159)
Источник (хозяин): мышь
Реактивность подтвержденная: человек, мышь, крыса
Валидировано для: WB
Реактивность подтвержденная: человек, мышь, крыса
Валидировано для: WB
Anti-Human PCNA Antibody (SAb2226) (RHC91301)
Источник (хозяин): мышь
Реактивность подтвержденная: человек
Валидировано для: ELISA, WB
Реактивность подтвержденная: человек
Валидировано для: ELISA, WB
Bovine ATP dependent RNA helicase DDX18(DDX18) ELISA kit (E11A1826)
Организм: корова

