| UNIPROT | P30044 |
| Иммуноген | RPF755Hu01-Recombinant Peroxiredoxin 5 (PRDX5) |
Polyclonal Antibody to Peroxiredoxin 5 (PRDX5) (PAF755Hu01)
Реактивность подтвержденная:
человек
Источник (хозяин):
кролик
Валидировано для:
FCM
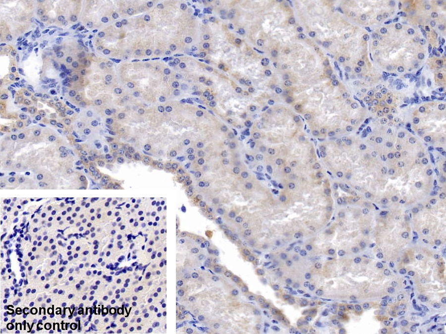
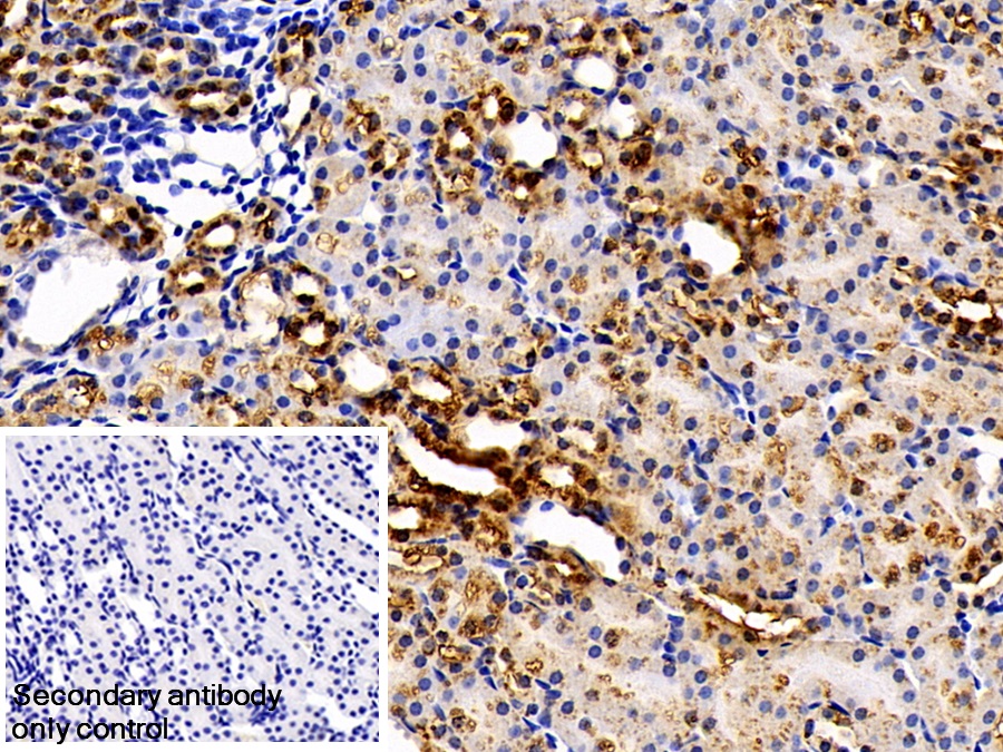
IHC
WB
Характеристики
Техническое описание
| Русское название | PAF755Hu01 Поликлональное антитело к PRDX5 (человек) <Cloud-Clone,Китай> |
| Каталожный номер | PAF755Hu01 |
| Название антигена | Peroxiredoxin 5 (PRDX5) |
| UNIPROT | P30044 |
| Иммуноген | RPF755Hu01-Recombinant Peroxiredoxin 5 (PRDX5) |
| Английские синонимы | PLP, PRDX6, ACR1, PMP20, PRXV, SBBI10, Thioredoxin Peroxidase PMP20, Peroxisomal Antioxidant Enzyme, TPx Type VI, Liver Tissue 2D-Page Spot 71B, Alu Co-Repressor 1 |
Реактивность подтвержденная Нужна другая реактивность? |
человек |
| Реактивность предсказываемая | мышь, свинья |
| Источник (хозяин) | кролик |
| Клональность | поликлональное |
| Рекомбинантное | нет |
| Готовое к использованию | нет |
| Концентрация | 500 мкг/мл |
| Конъюгат | По запросу: HRP, biotin, PerCP, PE, Cy3, FITC, Cy7, Cy5.5, PE-Cy5, PE-Cy7, PerCp-Cy5.5, APC, Cy5, PE-Cy3, PE-Cy5.5, APC-Cy7, Biotin-APC, FITC-Biotin, TRITC, APC-Cy5, AF488, AF594, AF405, AF555, AF700, AF647, AF750 |
| Валидировано для | FCM IHC WB Проточная цитометрия; Иммуногистохимия; Вестерн-блоттинг |
| Рекомендуемые разведения | WB: 0.2-2 мкг/мл; IHC: 5-20 мкг/мл; ICC: 5-20 мкг/мл; FCM: 20 мкг/мл; Оптимальное разведение определяется конечным потребителем |
| Метод очистки | Антигенспецифическая аффинная хроматография с последующей аффинной хроматографией с белком А |
| Состав буфера | PBS, pH7.4, 0.02% NaN3, 50% глицерин |
| Условия доставки | термобокс с аккумуляторами холода |
| Условия хранения | Сразу после получения аликвотировать и хранить при -20ºС до 24 месяцев. Для частого использования хранить при +4ºС не более 2 недель. Избегать повторения циклов замерзания/оттаивания |
| Срок хранения | 24 месяца |
| Производитель | Cloud-Clone Corp. |
| Ссылка на страницу товара на сайте производителя | http://www.cloud-clone.com/products/PAF755Hu01.html |
|
Артикул
|
Наименование |
Производитель
|
|---|
|
Артикул
|
Наименование |
Производитель
|
|---|
|
Артикул
|
Наименование |
Производитель
|
|---|
|
Артикул
|
Наименование |
Производитель
|
|---|
|
Артикул
|
Наименование |
Производитель
|
|---|
Акции и предложения
Популярные продукты:
ELISA Kit DIY Materials for Kynurenine (KYN) (KSX300Ge11)
Организм: для всех
Диапазон определения: 1.23-100 нг/мл
Чувствительность: 0.53 нг/мл
Диапазон определения: 1.23-100 нг/мл
Чувствительность: 0.53 нг/мл
Monoclonal Antibody to Prostaglandin-H2 D-isomerase (PTGDS) (MAA724Hu25)
Источник (хозяин): мышь
Реактивность подтвержденная: человек
Валидировано для: ICC, IF
Реактивность подтвержденная: человек
Валидировано для: ICC, IF
Monkey Boldenone (BDN) ELISA Kit (E09B1011)
Организм: обезьяна
Guinea Pig T cell leukemia homeobox protein 3(TLX3) ELISA kit (E05T0696)
Организм: морская свинка
Porcine Acylamino acid releasing enzyme(APEH) ELISA kit (E07A1588)
Организм: свинья

