| UNIPROT | P99029 |
| Иммуноген | RPF755Mu01-Recombinant Peroxiredoxin 5 (PRDX5) |
Polyclonal Antibody to Peroxiredoxin 5 (PRDX5) (PAF755Mu01)
Реактивность подтвержденная:
мышь
Источник (хозяин):
кролик
Валидировано для:
IHC
WB
Характеристики
Техническое описание
| Русское название | PAF755Mu01 Поликлональное антитело к PRDX5 (мышь) <Cloud-Clone,Китай> |
| Каталожный номер | PAF755Mu01 |
| Название антигена | Peroxiredoxin 5 (PRDX5) |
| UNIPROT | P99029 |
| Иммуноген | RPF755Mu01-Recombinant Peroxiredoxin 5 (PRDX5) |
| Английские синонимы | PLP, PRDX6, ACR1, PMP20, PRXV, SBBI10, Thioredoxin Peroxidase PMP20, Peroxisomal Antioxidant Enzyme, TPx Type VI, Liver Tissue 2D-Page Spot 71B, Alu Co-Repressor 1 |
Реактивность подтвержденная Нужна другая реактивность? |
мышь |
| Реактивность предсказываемая | человек |
| Источник (хозяин) | кролик |
| Клональность | поликлональное |
| Рекомбинантное | нет |
| Готовое к использованию | нет |
| Концентрация | 500 мкг/мл |
| Конъюгат | По запросу: HRP, biotin, PerCP, PE, Cy3, FITC, Cy7, Cy5.5, PE-Cy5, PE-Cy7, PerCp-Cy5.5, APC, Cy5, PE-Cy3, PE-Cy5.5, APC-Cy7, Biotin-APC, FITC-Biotin, TRITC, APC-Cy5, AF488, AF594, AF405, AF555, AF700, AF647, AF750 |
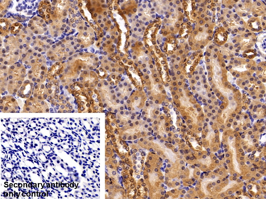
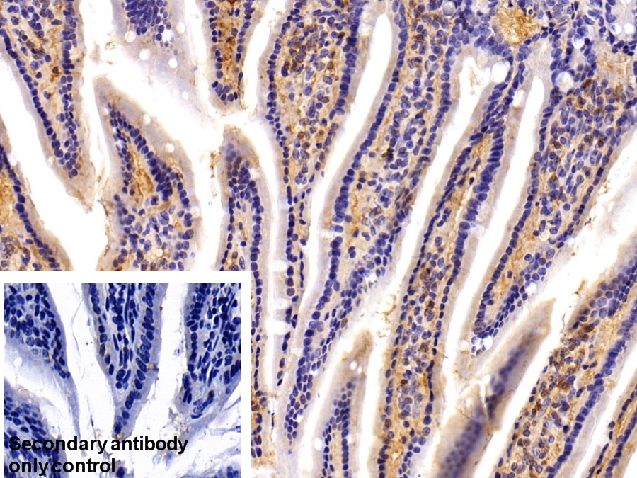
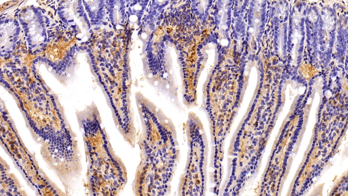
| Валидировано для | IHC WB Иммуногистохимия; Вестерн-блоттинг |
| Рекомендуемые разведения | WB: 0.2-2 мкг/мл; 1:250-2500; IHC: 5-20 мкг/мл; 1:25-100; ICC: 5-20 мкг/мл; 1:25-100; Оптимальное разведение определяется конечным потребителем |
| Метод очистки | Антигенспецифическая аффинная хроматография с последующей аффинной хроматографией с белком А |
| Состав буфера | 0.01M PBS, pH7.4, 0.05% Proclin-300, 50% глицерин |
| Условия доставки | термобокс с аккумуляторами холода |
| Условия хранения | Сразу после получения аликвотировать и хранить при -20ºС до 24 месяцев. Для частого использования хранить при +4ºС не более 2 недель. Избегать повторения циклов замерзания/оттаивания |
| Срок хранения | 24 месяца |
| Производитель | Cloud-Clone Corp. |
| Ссылка на страницу товара на сайте производителя | http://www.cloud-clone.com/products/PAF755Mu01.html |
|
Артикул
|
Наименование |
Производитель
|
|---|
|
Артикул
|
Наименование |
Производитель
|
|---|
|
Артикул
|
Наименование |
Производитель
|
|---|
|
Артикул
|
Наименование |
Производитель
|
|---|
|
Артикул
|
Наименование |
Производитель
|
|---|
Акции и предложения
Популярные продукты:
Chicken Renin ELISA kit (E12R0022)
Организм: курица
Canine Renin ELISA kit (E08R0022)
Организм: собака
Диапазон определения: 2.5-50 нг/мл
Чувствительность: 0.1 нг/мл
Диапазон определения: 2.5-50 нг/мл
Чувствительность: 0.1 нг/мл
Goat Renin ELISA kit (E06R0022)
Организм: коза
Anti-Human TAOK1 Polyclonal Antibody (PHK55001)
Источник (хозяин): кролик
Реактивность подтвержденная: человек
Валидировано для: ELISA, IHC, WB
Реактивность подтвержденная: человек
Валидировано для: ELISA, IHC, WB
Recombinant Staphylococcus aureus entA/SEA Protein, N-His (YXX24101)
Источник (хозяин): E.coli
Организм: бактерии
Фрагмент: Ser25-Ser257
Теги: N-His
Биоактивность: нет
Организм: бактерии
Фрагмент: Ser25-Ser257
Теги: N-His
Биоактивность: нет

