| UNIPROT | Q9R063 |
| Иммуноген | RPF755Ra01-Recombinant Peroxiredoxin 5 (PRDX5) |
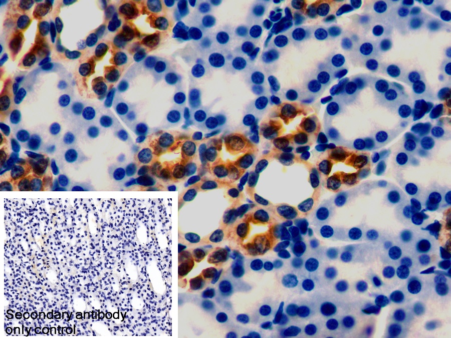
Polyclonal Antibody to Peroxiredoxin 5 (PRDX5) (PAF755Ra01)
Реактивность подтвержденная:
крыса
Источник (хозяин):
кролик
Валидировано для:
IHC
WB
Характеристики
Техническое описание
| Русское название | PAF755Ra01 Поликлональное антитело к PRDX5 (крыса) <Cloud-Clone,Китай> |
| Каталожный номер | PAF755Ra01 |
| Название антигена | Peroxiredoxin 5 (PRDX5) |
| UNIPROT | Q9R063 |
| Иммуноген | RPF755Ra01-Recombinant Peroxiredoxin 5 (PRDX5) |
| Английские синонимы | PLP, PRDX6, ACR1, PMP20, PRXV, SBBI10, Thioredoxin Peroxidase PMP20, Peroxisomal Antioxidant Enzyme, TPx Type VI, Liver Tissue 2D-Page Spot 71B, Alu Co-Repressor 1 |
Реактивность подтвержденная Нужна другая реактивность? |
крыса |
| Реактивность предсказываемая | человек, мышь |
| Источник (хозяин) | кролик |
| Клональность | поликлональное |
| Рекомбинантное | нет |
| Готовое к использованию | нет |
| Концентрация | 500 мкг/мл |
| Конъюгат | По запросу: HRP, biotin, PerCP, PE, Cy3, FITC, Cy7, Cy5.5, PE-Cy5, PE-Cy7, PerCp-Cy5.5, APC, Cy5, PE-Cy3, PE-Cy5.5, APC-Cy7, Biotin-APC, FITC-Biotin, TRITC, APC-Cy5, AF488, AF594, AF405, AF555, AF700, AF647, AF750 |
| Валидировано для | IHC WB Иммуногистохимия; Вестерн-блоттинг |
| Рекомендуемые разведения | WB: 0.2-2 мкг/мл; 1:250-2500; IHC: 5-20 мкг/мл; 1:25-100; ICC: 5-20 мкг/мл; 1:25-100; Оптимальное разведение определяется конечным потребителем |
| Метод очистки | Антигенспецифическая аффинная хроматография с последующей аффинной хроматографией с белком А |
| Состав буфера | 0.01M PBS, pH7.4, 0.05% Proclin-300, 50% глицерин |
| Условия доставки | термобокс с аккумуляторами холода |
| Условия хранения | Сразу после получения аликвотировать и хранить при -20ºС до 24 месяцев. Для частого использования хранить при +4ºС не более 2 недель. Избегать повторения циклов замерзания/оттаивания |
| Срок хранения | 24 месяца |
| Производитель | Cloud-Clone Corp. |
| Ссылка на страницу товара на сайте производителя | http://www.cloud-clone.com/products/PAF755Ra01.html |
|
Артикул
|
Наименование |
Производитель
|
|---|
|
Артикул
|
Наименование |
Производитель
|
|---|
|
Артикул
|
Наименование |
Производитель
|
|---|
|
Артикул
|
Наименование |
Производитель
|
|---|
|
Артикул
|
Наименование |
Производитель
|
|---|
Акции и предложения
Популярные продукты:
Sheep Peroxiredoxin 5 (PRDX5) ELISA Kit (E14T0338)
Организм: овца
Monkey Cytochrome P450 2D6(CYP2D6) ELISA kit (E09C2242)
Организм: обезьяна
Chicken Renin ELISA kit (E12R0022)
Организм: курица

