| UNIPROT | O77834 |
| Иммуноген | RPF756Bo01-Recombinant Peroxiredoxin 6 (PRDX6) |
Polyclonal Antibody to Peroxiredoxin 6 (PRDX6) (PAF756Bo01)
Реактивность подтвержденная:
корова
Источник (хозяин):
кролик
Валидировано для:
IHC
WB
Характеристики
Техническое описание
| Русское название | PAF756Bo01 Поликлональное антитело к PRDX6 (корова) <Cloud-Clone,Китай> |
| Каталожный номер | PAF756Bo01 |
| Название антигена | Peroxiredoxin 6 (PRDX6) |
| UNIPROT | O77834 |
| Иммуноген | RPF756Bo01-Recombinant Peroxiredoxin 6 (PRDX6) |
| Английские синонимы | 1-Cys, AOP2, NSGPx, PRX, aiPLA2, p29, Acidic calcium-independent phospholipase A2, Antioxidant protein 2, Non-selenium glutathione peroxidase, Red blood cells page spot 12 |
Реактивность подтвержденная Нужна другая реактивность? |
корова |
| Реактивность предсказываемая | человек |
| Источник (хозяин) | кролик |
| Клональность | поликлональное |
| Рекомбинантное | нет |
| Готовое к использованию | нет |
| Концентрация | 0.5 мг/мл |
| Конъюгат | По запросу: HRP, biotin, PerCP, PE, Cy3, FITC, Cy7, Cy5.5, PE-Cy5, PE-Cy7, PerCp-Cy5.5, APC, Cy5, PE-Cy3, PE-Cy5.5, APC-Cy7, Biotin-APC, FITC-Biotin, TRITC, APC-Cy5, AF488, AF594, AF405, AF555, AF700, AF647, AF750 |
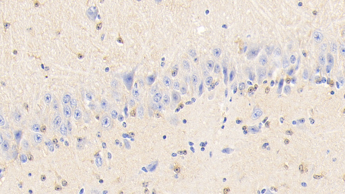
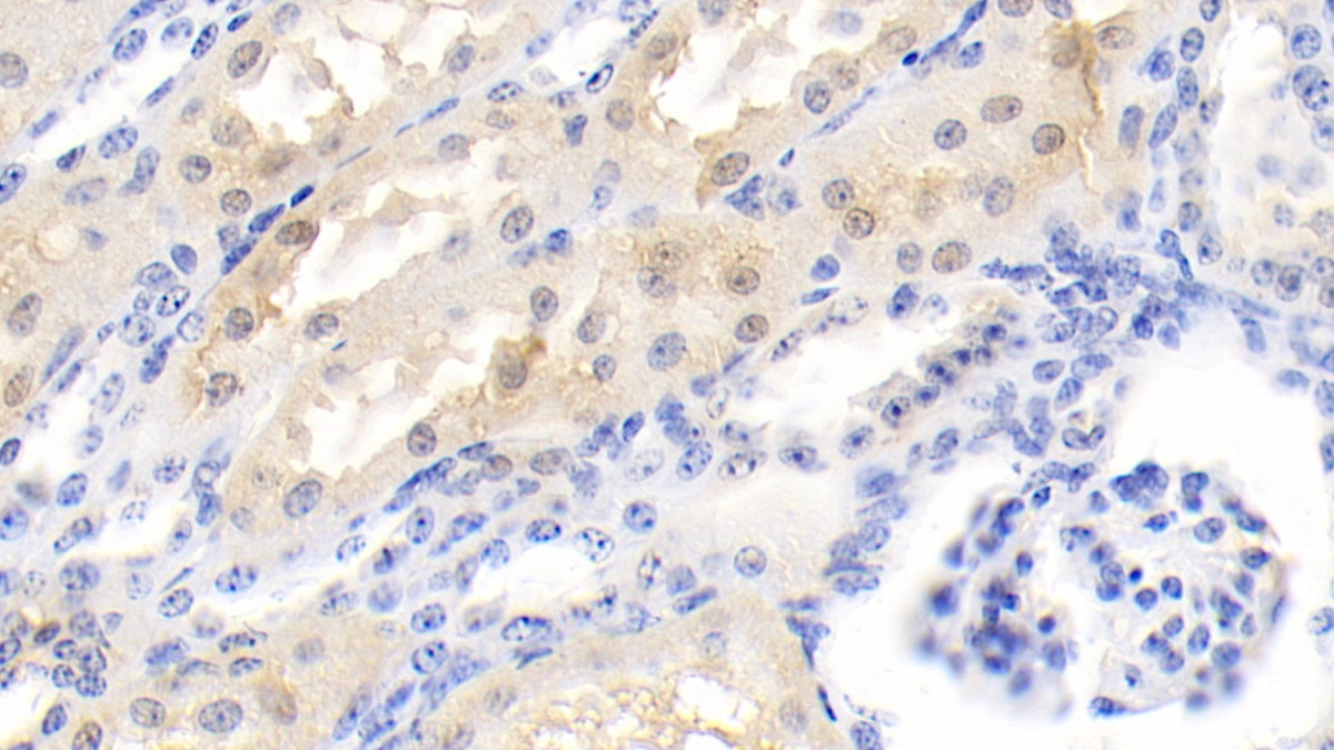
| Валидировано для | IHC WB Иммуногистохимия; Вестерн-блоттинг |
| Рекомендуемые разведения | WB: 0.5-2 мкг/мл; IHC: 5-20 мкг/мл; ICC: 5-20 мкг/мл; Оптимальное разведение определяется конечным потребителем |
| Метод очистки | Антигенспецифическая аффинная хроматография с последующей аффинной хроматографией с белком А |
| Состав буфера | PBS, pH7.4, 0.02% NaN3, 50% глицерин |
| Условия доставки | термобокс с аккумуляторами холода |
| Условия хранения | Сразу после получения аликвотировать и хранить при -20ºС до 24 месяцев. Для частого использования хранить при +4ºС не более 2 недель. Избегать повторения циклов замерзания/оттаивания |
| Срок хранения | 24 месяца |
| Производитель | Cloud-Clone Corp. |
| Ссылка на страницу товара на сайте производителя | http://www.cloud-clone.com/products/PAF756Bo01.html |
|
Артикул
|
Наименование |
Производитель
|
|---|
|
Артикул
|
Наименование |
Производитель
|
|---|
|
Артикул
|
Наименование |
Производитель
|
|---|
|
Артикул
|
Наименование |
Производитель
|
|---|
|
Артикул
|
Наименование |
Производитель
|
|---|
Акции и предложения
Популярные продукты:
ELISA Kit DIY Materials for Complement Component 3 (C3) (KSA861Bo01)
Организм: корова
Диапазон определения: 3.12-200 нг/мл
Чувствительность: 1.28 нг/мл
Диапазон определения: 3.12-200 нг/мл
Чувствительность: 1.28 нг/мл
Monkey Astrotactin 2(ASTN2) ELISA kit (E09A1734)
Организм: обезьяна
Anti-HSP40/DNAJB1 Antibody (R3G77) (RHD67402)
Источник (хозяин): мышь
Реактивность подтвержденная: человек
Валидировано для: IHC, IP, WB
Реактивность подтвержденная: человек
Валидировано для: IHC, IP, WB
PKM Polyclonal Antibody (E-AB-10004)
Источник (хозяин): кролик
Реактивность подтвержденная: человек, мышь, крыса
Валидировано для: IHC, WB
Реактивность подтвержденная: человек, мышь, крыса
Валидировано для: IHC, WB
DNase I Antibody (DF14243)
Источник (хозяин): кролик
Реактивность подтвержденная: человек, мышь, крыса
Реактивность подтвержденная: человек, мышь, крыса
PI4KA Antibody (DF12696)
Источник (хозяин): кролик
Реактивность подтвержденная: человек, мышь, крыса
Валидировано для: WB
Реактивность подтвержденная: человек, мышь, крыса
Валидировано для: WB

