| UNIPROT | P30041 |
| Иммуноген | RPF756Hu01-Recombinant Peroxiredoxin 6 (PRDX6) |
Polyclonal Antibody to Peroxiredoxin 6 (PRDX6) (PAF756Hu01)
Реактивность подтвержденная:
человек
Источник (хозяин):
кролик
Валидировано для:
IHC
WB
Характеристики
Техническое описание
| Русское название | PAF756Hu01 Поликлональное антитело к PRDX6 (человек) <Cloud-Clone,Китай> |
| Каталожный номер | PAF756Hu01 |
| Название антигена | Peroxiredoxin 6 (PRDX6) |
| UNIPROT | P30041 |
| Иммуноген | RPF756Hu01-Recombinant Peroxiredoxin 6 (PRDX6) |
| Английские синонимы | 1-Cys, AOP2, NSGPx, PRX, aiPLA2, p29, Acidic calcium-independent phospholipase A2, Antioxidant protein 2, Non-selenium glutathione peroxidase, Red blood cells page spot 12 |
Реактивность подтвержденная Нужна другая реактивность? |
человек |
| Реактивность предсказываемая | мышь, крыса, свинья |
| Источник (хозяин) | кролик |
| Клональность | поликлональное |
| Рекомбинантное | нет |
| Готовое к использованию | нет |
| Концентрация | 0.43 мг/мл |
| Конъюгат | По запросу: HRP, biotin, PerCP, PE, Cy3, FITC, Cy7, Cy5.5, PE-Cy5, PE-Cy7, PerCp-Cy5.5, APC, Cy5, PE-Cy3, PE-Cy5.5, APC-Cy7, Biotin-APC, FITC-Biotin, TRITC, APC-Cy5, AF488, AF594, AF405, AF555, AF700, AF647, AF750 |
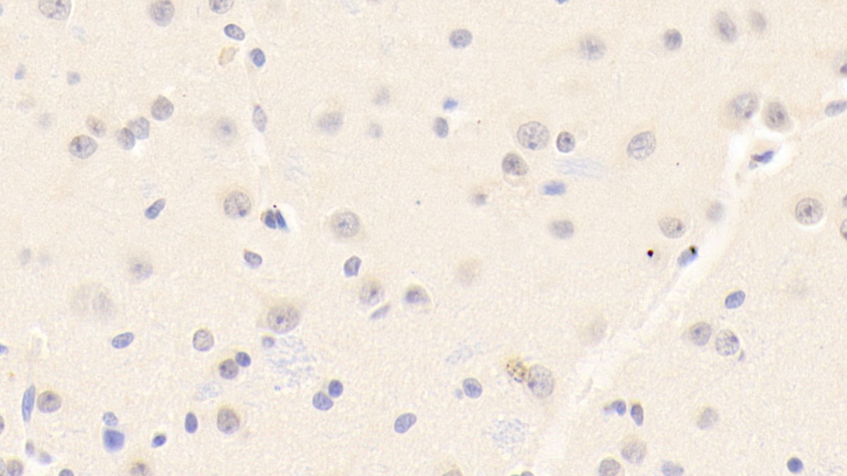
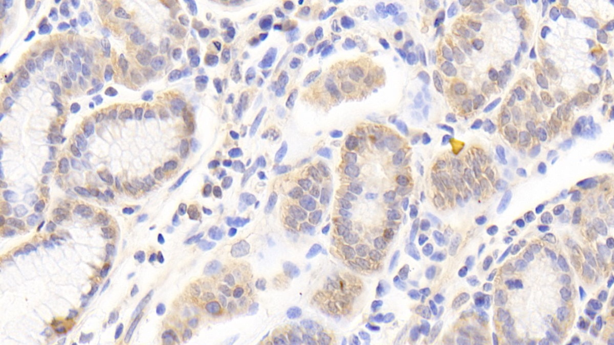
| Валидировано для | IHC WB Иммуногистохимия; Вестерн-блоттинг |
| Рекомендуемые разведения | WB: 0.01-2 мкг/мл; IHC: 5-20 мкг/мл; ICC: 5-20 мкг/мл; Оптимальное разведение определяется конечным потребителем |
| Метод очистки | Антигенспецифическая аффинная хроматография с последующей аффинной хроматографией с белком А |
| Состав буфера | 0.01M PBS, pH7.4, 0.05% Proclin-300, 50% глицерин |
| Условия доставки | термобокс с аккумуляторами холода |
| Условия хранения | Сразу после получения аликвотировать и хранить при -20ºС до 24 месяцев. Для частого использования хранить при +4ºС не более 2 недель. Избегать повторения циклов замерзания/оттаивания |
| Срок хранения | 24 месяца |
| Производитель | Cloud-Clone Corp. |
| Ссылка на страницу товара на сайте производителя | http://www.cloud-clone.com/products/PAF756Hu01.html |
|
Артикул
|
Наименование |
Производитель
|
|---|
|
Артикул
|
Наименование |
Производитель
|
|---|
|
Артикул
|
Наименование |
Производитель
|
|---|
|
Артикул
|
Наименование |
Производитель
|
|---|
|
Артикул
|
Наименование |
Производитель
|
|---|
|
Артикул
|
Наименование |
Производитель
|
|---|
Акции и предложения
Популярные продукты:
Bovine Thioredoxin reductase 2 ELISA kit (E11T0363)
Организм: корова
Canine Anti Endothelial Cell Antibody ELISA kit (E08A0434)
Организм: собака
Recombinant Human GRIA2/AMPAR2 Protein, N-His (YHE34701)
Источник (хозяин): E.coli
Организм: человек
Фрагмент: Asn25-Ala543
Теги: N-His
Биоактивность: нет
Организм: человек
Фрагмент: Asn25-Ala543
Теги: N-His
Биоактивность: нет
Fluor® Violet 450 Anti-Mouse Ly6C Antibody[Monts 1] (FCE2682)
Источник (хозяин): крыса
Реактивность подтвержденная: мышь
Валидировано для: FCM
Реактивность подтвержденная: мышь
Валидировано для: FCM
Anti-Human PTK2B/PYK2 Antibody (12A10), PerCP (FHG77414)
Источник (хозяин): мышь
Реактивность подтвержденная: человек
Валидировано для: FCM
Реактивность подтвержденная: человек
Валидировано для: FCM
Active Monocyte Chemotactic Protein 2 (MCP2) (APA088Hu01)
Организм: человек
Теги: N-концевой His-Tag
Биоактивность: да
Теги: N-концевой His-Tag
Биоактивность: да

