| UNIPROT | P60484 |
| Иммуноген | RPF822Hu01-Recombinant Phosphatase And Tensin Homolog (PTEN) |
Polyclonal Antibody to Phosphatase And Tensin Homolog (PTEN) (PAF822Hu01)
Реактивность подтвержденная:
человек
Источник (хозяин):
кролик
Валидировано для:
FCM
IHC
WB
Характеристики
Техническое описание
| Русское название | PAF822Hu01 Поликлональное антитело к PTEN (человек) <Cloud-Clone,Китай> |
| Каталожный номер | PAF822Hu01 |
| Название антигена | Phosphatase And Tensin Homolog (PTEN) |
| UNIPROT | P60484 |
| Иммуноген | RPF822Hu01-Recombinant Phosphatase And Tensin Homolog (PTEN) |
| Английские синонимы | BZS, MHAM, MMAC1, PTEN1, TEP1, Mutated In Multiple Advanced Cancers 1, Phosphatidylinositol 3,4,5-trisphosphate 3-phosphatase and dual-specificity protein phosphatase PTEN |
Реактивность подтвержденная Нужна другая реактивность? |
человек |
| Реактивность предсказываемая | крыса, морская свинка, собака, свинья, корова, коза, овца, лошадь, курица |
| Источник (хозяин) | кролик |
| Клональность | поликлональное |
| Рекомбинантное | нет |
| Готовое к использованию | нет |
| Концентрация | 0.5 мг/мл |
| Конъюгат | По запросу: HRP, biotin, PerCP, PE, Cy3, FITC, Cy7, Cy5.5, PE-Cy5, PE-Cy7, PerCp-Cy5.5, APC, Cy5, PE-Cy3, PE-Cy5.5, APC-Cy7, Biotin-APC, FITC-Biotin, TRITC, APC-Cy5, AF488, AF594, AF405, AF555, AF700, AF647, AF750 |
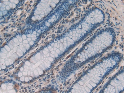
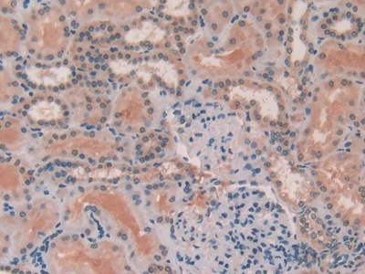
| Валидировано для | FCM IHC WB Проточная цитометрия; Иммуногистохимия; Вестерн-блоттинг |
| Рекомендуемые разведения | WB: 0.01-2 мкг/мл; IHC: 5-20 мкг/мл; ICC: 5-20 мкг/мл; FCM: 20 мкг/мл; Оптимальное разведение определяется конечным потребителем |
| Метод очистки | Антигенспецифическая аффинная хроматография с последующей аффинной хроматографией с белком А |
| Состав буфера | PBS, pH7.4, 0.02% NaN3, 50% глицерин |
| Условия доставки | термобокс с аккумуляторами холода |
| Условия хранения | Сразу после получения аликвотировать и хранить при -20ºС до 24 месяцев. Для частого использования хранить при +4ºС не более 2 недель. Избегать повторения циклов замерзания/оттаивания |
| Срок хранения | 24 месяца |
| Производитель | Cloud-Clone Corp. |
| Ссылка на страницу товара на сайте производителя | http://www.cloud-clone.com/products/PAF822Hu01.html |
|
Артикул
|
Наименование |
Производитель
|
|---|
|
Артикул
|
Наименование |
Производитель
|
|---|
|
Артикул
|
Наименование |
Производитель
|
|---|
|
Артикул
|
Наименование |
Производитель
|
|---|
|
Артикул
|
Наименование |
Производитель
|
|---|
Акции и предложения
Популярные продукты:
Anti-Myxovirus Resistance 1 (MX1) Monoclonal Antibody (FAL763Hu02)
Источник (хозяин): мышь
Реактивность подтвержденная: человек
Валидировано для: FCM
Реактивность подтвержденная: человек
Валидировано для: FCM
Monoclonal Antibody to Ubiquitin Cross Reactive Protein (UCRP) (MAL630Hu22)
Источник (хозяин): мышь
Реактивность подтвержденная: человек
Валидировано для: WB
Реактивность подтвержденная: человек
Валидировано для: WB
Monoclonal Antibody to Immunoglobulin Superfamily, Member 12 (IGSF12) (MAB731Mu25)
Источник (хозяин): мышь
Реактивность подтвержденная: мышь
Валидировано для: ICC, IF
Реактивность подтвержденная: мышь
Валидировано для: ICC, IF
ELISA Kit for Forkhead Box Protein A3 (FOXA3) (SEG209Hu)
Организм: человек
Диапазон определения: 0.156-10 нг/мл
Чувствительность: 0.054 нг/мл
Диапазон определения: 0.156-10 нг/мл
Чувствительность: 0.054 нг/мл
Guinea Pig cystathionine β synthase(CBS) ELISA kit (E05C1414)
Организм: морская свинка
Goat Crk like protein(CRKL) ELISA kit (E06C2069)
Организм: коза

