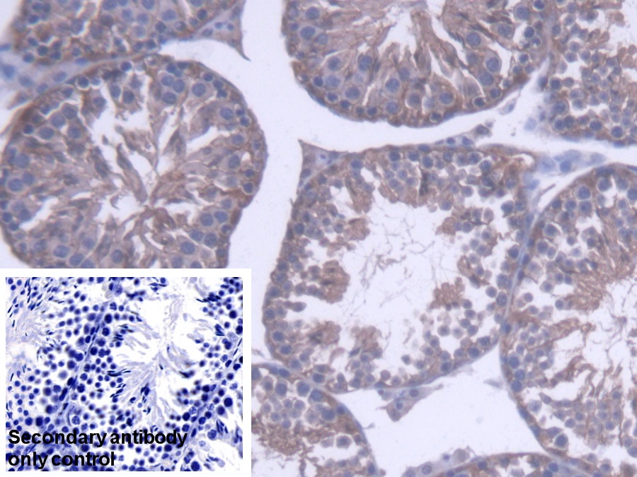
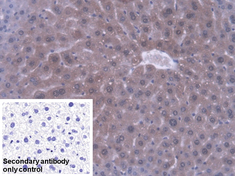
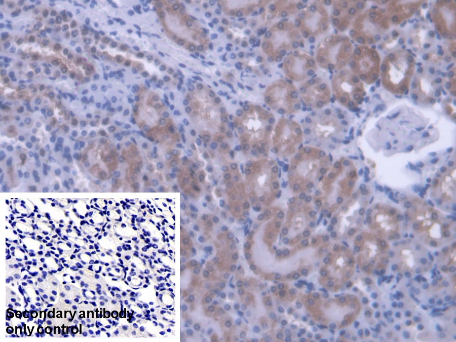
Polyclonal Antibody to Phosphatidylethanolamine Binding Protein 1 (PEBP1) (PAG543Mu01)
Реактивность подтвержденная:
мышь
Источник (хозяин):
кролик
Валидировано для:
IHC
WB
Характеристики
Техническое описание
| Русское название | PAG543Mu01 Поликлональное антитело к PEBP1 (мышь) <Cloud-Clone,Китай> |
| Каталожный номер | PAG543Mu01 |
| Название антигена | Phosphatidylethanolamine Binding Protein 1 (PEBP1) |
| UNIPROT | P70296 |
| Иммуноген | RPG543Mu01-Recombinant Phosphatidylethanolamine Binding Protein 1 (PEBP1) |
| Английские синонимы | PBP, HCNP, PEBP, RKIP, Prostatic Binding Protein, Raf Kinase Inhibitory Protein, Hippocampal Cholinergic Neurostimulating Peptide, Neuropolypeptide h3 |
Реактивность подтвержденная Нужна другая реактивность? |
мышь |
| Реактивность предсказываемая | человек, крыса |
| Источник (хозяин) | кролик |
| Клональность | поликлональное |
| Рекомбинантное | нет |
| Готовое к использованию | нет |
| Концентрация | 0.5 мг/мл |
| Конъюгат | По запросу: HRP, biotin, PerCP, PE, Cy3, FITC, Cy7, Cy5.5, PE-Cy5, PE-Cy7, PerCp-Cy5.5, APC, Cy5, PE-Cy3, PE-Cy5.5, APC-Cy7, Biotin-APC, FITC-Biotin, TRITC, APC-Cy5, AF488, AF594, AF405, AF555, AF700, AF647, AF750 |
| Валидировано для | IHC WB Иммуногистохимия; Вестерн-блоттинг |
| Рекомендуемые разведения | WB: 0.01-2 мкг/мл; IHC: 5-20 мкг/мл; Оптимальное разведение определяется конечным потребителем |
| Метод очистки | Антигенспецифическая аффинная хроматография с последующей аффинной хроматографией с белком А |
| Состав буфера | 0.01M PBS, pH7.4, 0.05% Proclin-300, 50% глицерин |
| Условия доставки | термобокс с аккумуляторами холода |
| Условия хранения | Сразу после получения аликвотировать и хранить при -20ºС до 24 месяцев. Для частого использования хранить при +4ºС не более 2 недель. Избегать повторения циклов замерзания/оттаивания |
| Срок хранения | 24 месяца |
| Производитель | Cloud-Clone Corp. |
| Ссылка на страницу товара на сайте производителя | http://www.cloud-clone.com/products/PAG543Mu01.html |
|
Артикул
|
Наименование |
Производитель
|
|---|
|
Артикул
|
Наименование |
Производитель
|
|---|
|
Артикул
|
Наименование |
Производитель
|
|---|
Акции и предложения
Популярные продукты:
Recombinant Human HER3/ErbB3 Protein (His Tag) (PKSH031766)
Источник (хозяин): HEK293
Организм: человек
Фрагмент: Met 1-Thr 643
Теги: C-His
Биоактивность: да
Организм: человек
Фрагмент: Met 1-Thr 643
Теги: C-His
Биоактивность: да
Recombinant Mouse DLL4 Protein (His Tag) (PKSM040570)
Источник (хозяин): HEK293
Организм: мышь
Фрагмент: Met 1-Pro 525
Теги: C-His
Биоактивность: да
Организм: мышь
Фрагмент: Met 1-Pro 525
Теги: C-His
Биоактивность: да
Anti-Human RABGEF1 Polyclonal Antibody (PHK57901)
Источник (хозяин): кролик
Реактивность подтвержденная: человек
Валидировано для: ELISA, IHC, WB
Реактивность подтвержденная: человек
Валидировано для: ELISA, IHC, WB
Anti-Mouse CD8a/Lyt2 Antibody (2.43), PE (FMB96012)
Источник (хозяин): крыса
Реактивность подтвержденная: мышь
Валидировано для: FCM
Реактивность подтвержденная: мышь
Валидировано для: FCM
ELISA Kit for Insulin Like Growth Factor 2 (IGF2) (RA051S-Mu)
Организм: мышь
Диапазон определения: 15.6-1000 пг/мл
Чувствительность: 6.0 пг/мл
Диапазон определения: 15.6-1000 пг/мл
Чувствительность: 6.0 пг/мл
ELISA Kit DIY Materials for Liver Receptor Homolog 1 (LRH1) (KSD965Hu01)
Организм: человек
Диапазон определения: 0.312-20 нг/мл
Чувствительность: 0.112 нг/мл
Диапазон определения: 0.312-20 нг/мл
Чувствительность: 0.112 нг/мл

