| UNIPROT | P47858 |
| Иммуноген | RPD405Ra01-Recombinant Phosphofructokinase, Muscle (PFKM) |
Polyclonal Antibody to Phosphofructokinase, Muscle (PFKM) (PAD405Ra01)
Реактивность подтвержденная:
крыса
Источник (хозяин):
кролик
Валидировано для:
IHC
WB
Характеристики
Техническое описание
| Русское название | PAD405Ra01 Поликлональное антитело к PFKM (крыса) <Cloud-Clone,Китай> |
| Каталожный номер | PAD405Ra01 |
| Название антигена | Phosphofructokinase, Muscle (PFKM) |
| UNIPROT | P47858 |
| Иммуноген | RPD405Ra01-Recombinant Phosphofructokinase, Muscle (PFKM) |
| Английские синонимы | PFK1, PFKX, Phosphofructokinase 1, Phosphofructo-1-kinase isozyme A, 6-Phosphofructokinase Polypeptide X, Fructose-6-Phosphate 1-Phosphotransferase |
Реактивность подтвержденная Нужна другая реактивность? |
крыса |
| Реактивность предсказываемая | человек, мышь |
| Источник (хозяин) | кролик |
| Клональность | поликлональное |
| Рекомбинантное | нет |
| Готовое к использованию | нет |
| Концентрация | 0.5 мг/мл |
| Конъюгат | По запросу: HRP, biotin, PerCP, PE, Cy3, FITC, Cy7, Cy5.5, PE-Cy5, PE-Cy7, PerCp-Cy5.5, APC, Cy5, PE-Cy3, PE-Cy5.5, APC-Cy7, Biotin-APC, FITC-Biotin, TRITC, APC-Cy5, AF488, AF594, AF405, AF555, AF700, AF647, AF750 |
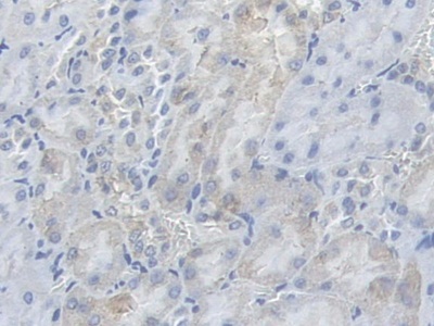
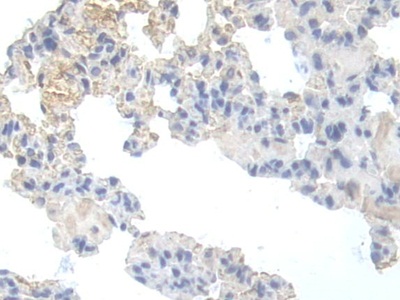
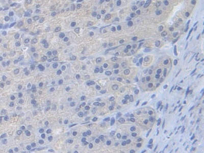
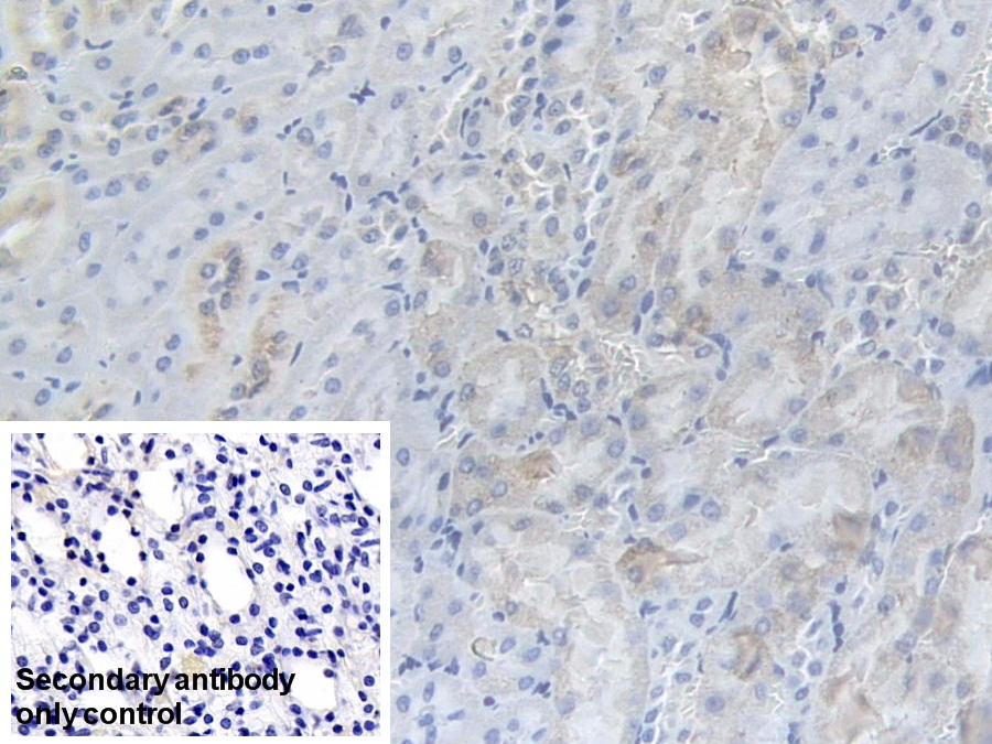
| Валидировано для | IHC WB Иммуногистохимия; Вестерн-блоттинг |
| Рекомендуемые разведения | WB: 0.5-2 мкг/мл; IHC: 5-20 мкг/мл; ICC: 5-20 мкг/мл; Оптимальное разведение определяется конечным потребителем |
| Метод очистки | Антигенспецифическая аффинная хроматография с последующей аффинной хроматографией с белком А |
| Состав буфера | 0.01M PBS, pH7.4, 0.05% Proclin-300, 50% глицерин |
| Условия доставки | термобокс с аккумуляторами холода |
| Условия хранения | Сразу после получения аликвотировать и хранить при -20ºС до 24 месяцев. Для частого использования хранить при +4ºС не более 2 недель. Избегать повторения циклов замерзания/оттаивания |
| Срок хранения | 24 месяца |
| Производитель | Cloud-Clone Corp. |
| Ссылка на страницу товара на сайте производителя | http://www.cloud-clone.com/products/PAD405Ra01.html |
|
Артикул
|
Наименование |
Производитель
|
|---|
|
Артикул
|
Наименование |
Производитель
|
|---|
|
Артикул
|
Наименование |
Производитель
|
|---|
Акции и предложения
Популярные продукты:
PGP9.5 Mouse Monoclonal Antibody (BF8240)
Источник (хозяин): мышь
Реактивность подтвержденная: человек, мышь, крыса
Валидировано для: ICC, IF, IHC, WB
Реактивность подтвержденная: человек, мышь, крыса
Валидировано для: ICC, IF, IHC, WB
PFKM Mouse Monoclonal Antibody (BF8312)
Источник (хозяин): мышь
Реактивность подтвержденная: человек
Валидировано для: ICC, IF, WB
Реактивность подтвержденная: человек
Валидировано для: ICC, IF, WB
Human Nucleotide-binding oligomerization domain-containing protein 2 ELISA kit (E01N0581)
Организм: человек
Диапазон определения: 250-5000 пг/мл
Чувствительность: 1 пг/мл
Диапазон определения: 250-5000 пг/мл
Чувствительность: 1 пг/мл
Canine Arylsulfatase G(ARSG) ELISA kit (E08A1688)
Организм: собака
Rat AP 2 complex subunit β(AP2B1) ELISA kit (E02A1564)
Организм: крыса
Porcine Cytokine receptor like factor 1(CRLF1) ELISA kit (E07C2071)
Организм: свинья

