| UNIPROT | Q9WUA3 |
| Иммуноген | RPB745Mu01-Recombinant Phosphofructokinase, Platelet (PFKP) |
Polyclonal Antibody to Phosphofructokinase, Platelet (PFKP) (PAB745Mu01)
Реактивность подтвержденная:
мышь
Источник (хозяин):
кролик
Валидировано для:
IHC
WB
Характеристики
Техническое описание
| Русское название | PAB745Mu01 Поликлональное антитело к PFKP (мышь) <Cloud-Clone,Китай> |
| Каталожный номер | PAB745Mu01 |
| Название антигена | Phosphofructokinase, Platelet (PFKP) |
| UNIPROT | Q9WUA3 |
| Иммуноген | RPB745Mu01-Recombinant Phosphofructokinase, Platelet (PFKP) |
| Английские синонимы | PFK-C, PFKF, ATP-dependent 6-phosphofructokinase, platelet type, 6-phosphofructokinase type C, Phosphofructo-1-kinase isozyme C, Phosphohexokinase |
Реактивность подтвержденная Нужна другая реактивность? |
мышь |
| Реактивность предсказываемая | человек, крыса |
| Источник (хозяин) | кролик |
| Клональность | поликлональное |
| Рекомбинантное | нет |
| Готовое к использованию | нет |
| Концентрация | 0.3 мг/мл |
| Конъюгат | По запросу: HRP, biotin, PerCP, PE, Cy3, FITC, Cy7, Cy5.5, PE-Cy5, PE-Cy7, PerCp-Cy5.5, APC, Cy5, PE-Cy3, PE-Cy5.5, APC-Cy7, Biotin-APC, FITC-Biotin, TRITC, APC-Cy5, AF488, AF594, AF405, AF555, AF700, AF647, AF750 |
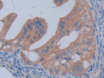
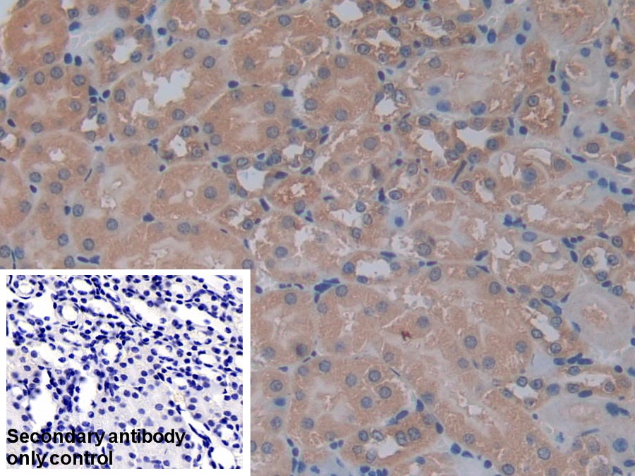
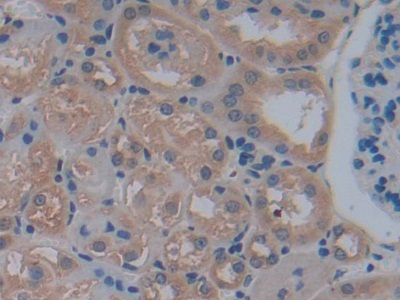
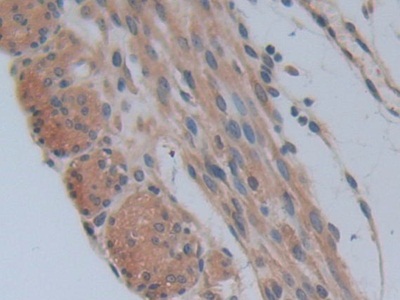
| Валидировано для | IHC WB Иммуногистохимия; Вестерн-блоттинг |
| Рекомендуемые разведения | WB: 0.01-2 мкг/мл; IHC: 5-20 мкг/мл; Оптимальное разведение определяется конечным потребителем |
| Метод очистки | Антигенспецифическая аффинная хроматография с последующей аффинной хроматографией с белком А |
| Состав буфера | PBS, pH7.4, 0.02% NaN3, 50% глицерин |
| Условия доставки | термобокс с аккумуляторами холода |
| Условия хранения | Сразу после получения аликвотировать и хранить при -20ºС до 24 месяцев. Для частого использования хранить при +4ºС не более 2 недель. Избегать повторения циклов замерзания/оттаивания |
| Срок хранения | 24 месяца |
| Производитель | Cloud-Clone Corp. |
| Ссылка на страницу товара на сайте производителя | http://www.cloud-clone.com/products/PAB745Mu01.html |
|
Артикул
|
Наименование |
Производитель
|
|---|
|
Артикул
|
Наименование |
Производитель
|
|---|
|
Артикул
|
Наименование |
Производитель
|
|---|
Акции и предложения
Популярные продукты:
Human Cytochrome P450 20A1(CYP20A1) ELISA kit (E01C2228)
Организм: человек
Диапазон определения: 2.5-50 нг/мл
Чувствительность: 0.1 нг/мл
Диапазон определения: 2.5-50 нг/мл
Чувствительность: 0.1 нг/мл
Guinea Pig RegeneRating Islet Derived Protein 1 Alpha ELISA kit (E05R0033)
Организм: морская свинка
Bovine Phosphofructokinase Platelet ELISA kit (E11P0642)
Организм: корова

