| UNIPROT | P47860 |
| Иммуноген | RPB745Ra01-Recombinant Phosphofructokinase, Platelet (PFKP) |
Polyclonal Antibody to Phosphofructokinase, Platelet (PFKP) (PAB745Ra01)
Реактивность подтвержденная:
крыса
Источник (хозяин):
кролик
Валидировано для:
IHC
WB
Характеристики
Техническое описание
| Русское название | PAB745Ra01 Поликлональное антитело к PFKP (крыса) <Cloud-Clone,Китай> |
| Каталожный номер | PAB745Ra01 |
| Название антигена | Phosphofructokinase, Platelet (PFKP) |
| UNIPROT | P47860 |
| Иммуноген | RPB745Ra01-Recombinant Phosphofructokinase, Platelet (PFKP) |
| Английские синонимы | PFK-C, PFKF, ATP-dependent 6-phosphofructokinase, platelet type, 6-phosphofructokinase type C, Phosphofructo-1-kinase isozyme C, Phosphohexokinase |
Реактивность подтвержденная Нужна другая реактивность? |
крыса |
| Реактивность предсказываемая | человек |
| Источник (хозяин) | кролик |
| Клональность | поликлональное |
| Рекомбинантное | нет |
| Готовое к использованию | нет |
| Концентрация | 500 мкг/мл |
| Конъюгат | По запросу: HRP, biotin, PerCP, PE, Cy3, FITC, Cy7, Cy5.5, PE-Cy5, PE-Cy7, PerCp-Cy5.5, APC, Cy5, PE-Cy3, PE-Cy5.5, APC-Cy7, Biotin-APC, FITC-Biotin, TRITC, APC-Cy5, AF488, AF594, AF405, AF555, AF700, AF647, AF750 |
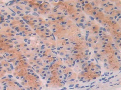
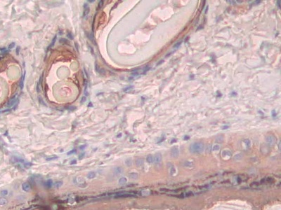
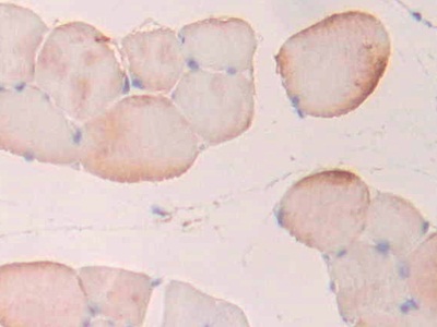
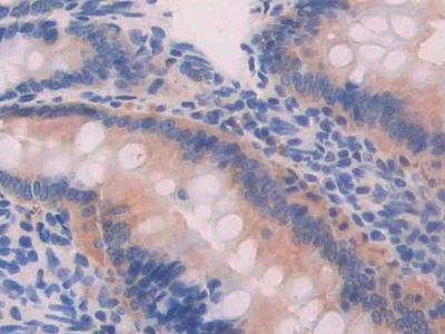
| Валидировано для | IHC WB Иммуногистохимия; Вестерн-блоттинг |
| Рекомендуемые разведения | WB: 0.5-2 мкг/мл; ICC (фиксация формалином): 5-20 мкг/мл; IHC (замороженные срезы): 5-20 мкг/мл; IHC (парафиновые срезы): 5-20 мкг/мл; ELISA: 0.05-2 мкг/мл; Оптимальное разведение определяется конечным потребителем |
| Метод очистки | Антигенспецифическая аффинная хроматография с последующей аффинной хроматографией с белком А |
| Состав буфера | 0.01M PBS, pH7.4, 0.05% Proclin-300, 50% глицерин |
| Условия доставки | термобокс с аккумуляторами холода |
| Условия хранения | Сразу после получения аликвотировать и хранить при -20ºС до 24 месяцев. Для частого использования хранить при +4ºС не более 2 недель. Избегать повторения циклов замерзания/оттаивания |
| Срок хранения | 24 месяца |
| Производитель | Cloud-Clone Corp. |
| Ссылка на страницу товара на сайте производителя | http://www.cloud-clone.com/products/PAB745Ra01.html |
|
Артикул
|
Наименование |
Производитель
|
|---|
|
Артикул
|
Наименование |
Производитель
|
|---|
|
Артикул
|
Наименование |
Производитель
|
|---|
Акции и предложения
Популярные продукты:
Anti-Human SLC30A8 hIgG Antibody (SAA1702) (RHJ18802)
Источник (хозяин): человек
Реактивность подтвержденная: человек
Валидировано для: ELISA
Реактивность подтвержденная: человек
Валидировано для: ELISA
ELISA Kit DIY Materials for Catechol-O-Methyltransferase (COMT) (KSJ365Ra01)
Организм: крыса
Диапазон определения: 1.56-100 нг/мл
Чувствительность: 0.59 нг/мл
Диапазон определения: 1.56-100 нг/мл
Чувствительность: 0.59 нг/мл
Monkey Catechol O Metthyhransferase ELISA kit (E09C0045)
Организм: обезьяна
Rat Transcriptional regulator ERG(ERG) ELISA kit (E02T0612)
Организм: крыса
Rabbit Lymphocyte Antigen 96 ELISA kit (E04L0307)
Организм: кролик

