| UNIPROT | Q53H76 |
| Иммуноген | RPB151Hu01-Recombinant Phospholipase A1 (PLA1) |
Polyclonal Antibody to Phospholipase A1 (PLA1) (PAB151Hu01)
Реактивность подтвержденная:
человек
Источник (хозяин):
кролик
Валидировано для:
FCM
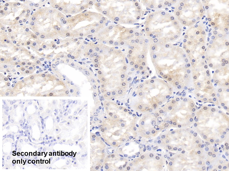
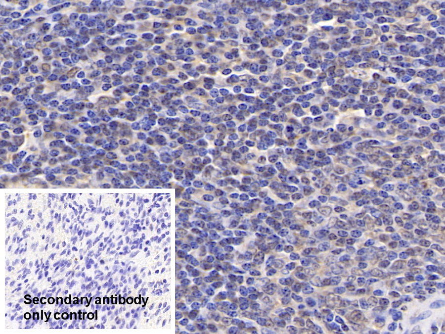
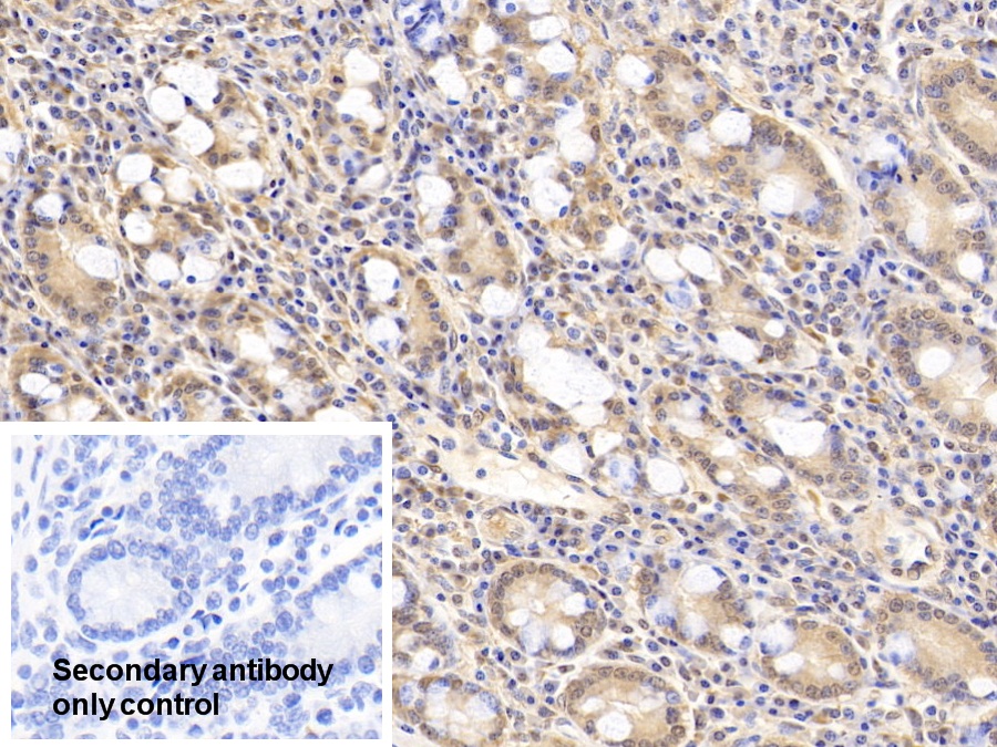
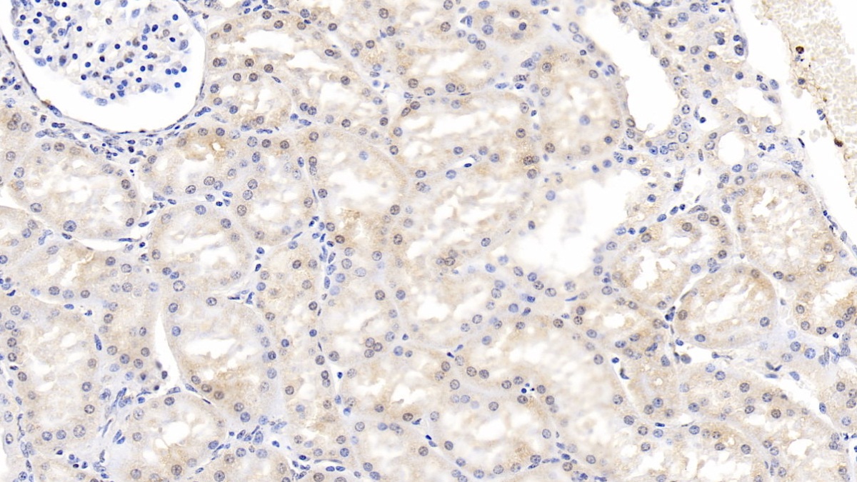
IHC
WB
Характеристики
Техническое описание
| Русское название | PAB151Hu01 Поликлональное антитело к PLA1 (человек) <Cloud-Clone,Китай> |
| Каталожный номер | PAB151Hu01 |
| Название антигена | Phospholipase A1 (PLA1) |
| UNIPROT | Q53H76 |
| Иммуноген | RPB151Hu01-Recombinant Phospholipase A1 (PLA1) |
| Английские синонимы | PLA1A, ps-PLA1, NMD, Phosphatidylserine-Specific Phospholipase A1-Alpha |
Реактивность подтвержденная Нужна другая реактивность? |
человек |
| Реактивность предсказываемая | свинья |
| Источник (хозяин) | кролик |
| Клональность | поликлональное |
| Рекомбинантное | нет |
| Готовое к использованию | нет |
| Концентрация | 500 мкг/мл |
| Конъюгат | По запросу: HRP, biotin, PerCP, PE, Cy3, FITC, Cy7, Cy5.5, PE-Cy5, PE-Cy7, PerCp-Cy5.5, APC, Cy5, PE-Cy3, PE-Cy5.5, APC-Cy7, Biotin-APC, FITC-Biotin, TRITC, APC-Cy5, AF488, AF594, AF405, AF555, AF700, AF647, AF750 |
| Валидировано для | FCM IHC WB Проточная цитометрия; Иммуногистохимия; Вестерн-блоттинг |
| Рекомендуемые разведения | WB: 0.2-2 мкг/мл; IHC: 5-20 мкг/мл; ICC: 5-20 мкг/мл; FCM: 20 мкг/мл; Оптимальное разведение определяется конечным потребителем |
| Метод очистки | Антигенспецифическая аффинная хроматография с последующей аффинной хроматографией с белком А |
| Состав буфера | 0.01M PBS, pH7.4, 0.05% Proclin-300, 50% глицерин |
| Условия доставки | термобокс с аккумуляторами холода |
| Условия хранения | Сразу после получения аликвотировать и хранить при -20ºС до 24 месяцев. Для частого использования хранить при +4ºС не более 2 недель. Избегать повторения циклов замерзания/оттаивания |
| Срок хранения | 24 месяца |
| Производитель | Cloud-Clone Corp. |
| Ссылка на страницу товара на сайте производителя | http://www.cloud-clone.com/products/PAB151Hu01.html |
|
Артикул
|
Наименование |
Производитель
|
|---|
|
Артикул
|
Наименование |
Производитель
|
|---|
|
Артикул
|
Наименование |
Производитель
|
|---|
Акции и предложения
Популярные продукты:
Anti-Laminin Gamma 2 (LAMC2) Monoclonal Antibody (FAC083Hu02)
Источник (хозяин): мышь
Реактивность подтвержденная: человек
Валидировано для: FCM
Реактивность подтвержденная: человек
Валидировано для: FCM
Rabbit Chloride transport protein 6(CLCN6) ELISA kit (E04C1757)
Организм: кролик
Bovine Chorionic somatomammotropin hormone 2(CSH2) ELISA kit (E11C2095)
Организм: корова
Диапазон определения: 5-100 нг/мл
Чувствительность: 1 нг/мл
Диапазон определения: 5-100 нг/мл
Чувствительность: 1 нг/мл

