| UNIPROT | Q9Y263 |
| Иммуноген | RPA576Hu04-Recombinant Phospholipase A2 Activating Protein (PLAP) |
Polyclonal Antibody to Phospholipase A2 Activating Protein (PLAP) (PAA576Hu04)
Реактивность подтвержденная:
человек
Источник (хозяин):
кролик
Валидировано для:
IHC
WB
Характеристики
Техническое описание
| Русское название | PAA576Hu04 Поликлональное антитело к PLAP (человек) <Cloud-Clone,Китай> |
| Каталожный номер | PAA576Hu04 |
| Название антигена | Phospholipase A2 Activating Protein (PLAA) |
| UNIPROT | Q9Y263 |
| Иммуноген | RPA576Hu04-Recombinant Phospholipase A2 Activating Protein (PLAP) |
| Английские синонимы | PLAP, PLA2P, PLA2-P, DOA1 |
Реактивность подтвержденная Нужна другая реактивность? |
человек |
| Реактивность предсказываемая | крыса |
| Источник (хозяин) | кролик |
| Клональность | поликлональное |
| Рекомбинантное | нет |
| Готовое к использованию | нет |
| Концентрация | 0.5 мг/мл |
| Конъюгат | По запросу: HRP, biotin, PerCP, PE, Cy3, FITC, Cy7, Cy5.5, PE-Cy5, PE-Cy7, PerCp-Cy5.5, APC, Cy5, PE-Cy3, PE-Cy5.5, APC-Cy7, Biotin-APC, FITC-Biotin, TRITC, APC-Cy5, AF488, AF594, AF405, AF555, AF700, AF647, AF750 |
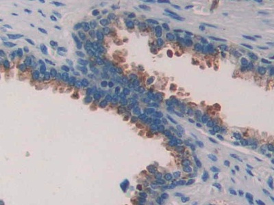
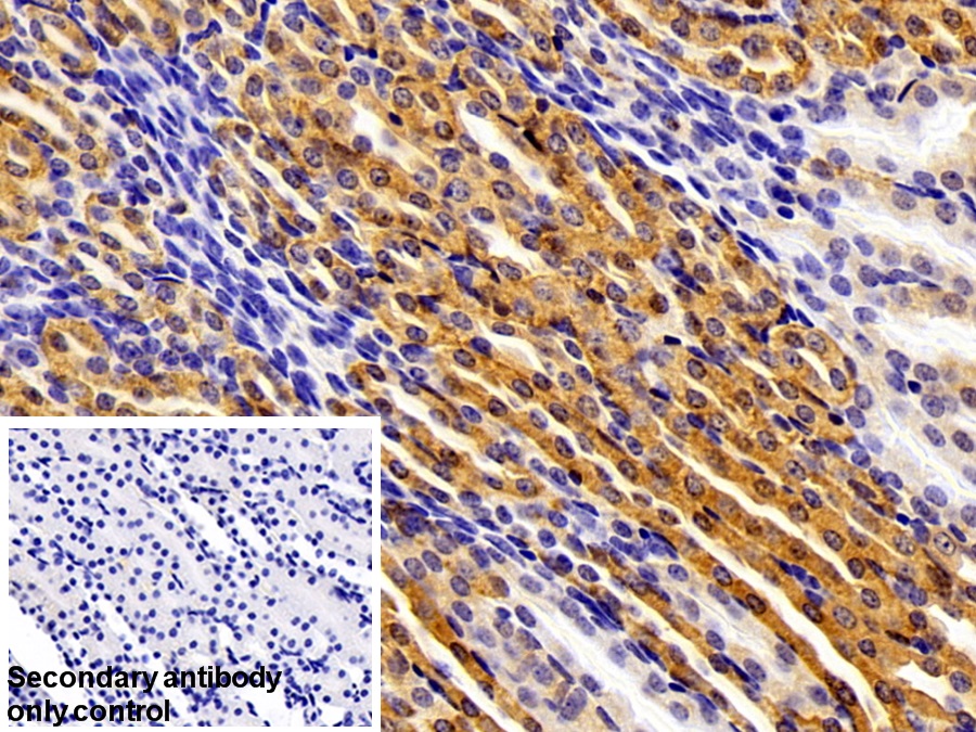
| Валидировано для | IHC WB Иммуногистохимия; Вестерн-блоттинг |
| Рекомендуемые разведения | WB: 0.01-2 мкг/мл; IHC: 5-20 мкг/мл; Оптимальное разведение определяется конечным потребителем |
| Метод очистки | Антигенспецифическая аффинная хроматография с последующей аффинной хроматографией с белком А |
| Состав буфера | PBS, pH7.4, 0.02% NaN3, 50% глицерин |
| Условия доставки | термобокс с аккумуляторами холода |
| Условия хранения | Сразу после получения аликвотировать и хранить при -20ºС до 24 месяцев. Для частого использования хранить при +4ºС не более 2 недель. Избегать повторения циклов замерзания/оттаивания |
| Срок хранения | 24 месяца |
| Производитель | Cloud-Clone Corp. |
| Ссылка на страницу товара на сайте производителя | http://www.cloud-clone.com/products/PAA576Hu04.html |
|
Артикул
|
Наименование |
Производитель
|
|---|
|
Артикул
|
Наименование |
Производитель
|
|---|
|
Артикул
|
Наименование |
Производитель
|
|---|
Акции и предложения
Популярные продукты:
Bovine Cystinosin(CTNS) ELISA kit (E11C2155)
Организм: корова
Monkey Glycosylated Ferritin ELISA kit (E09G0017)
Организм: обезьяна
Rat Phosphatidylinositol 3 kinase ELISA kit (E02P0185)
Организм: крыса
Human Phosphatidylinositol 3 kinase ELISA kit (E01P0185)
Организм: человек
Диапазон определения: 2.5-50 нг/мл
Чувствительность: 0.1 нг/мл
Диапазон определения: 2.5-50 нг/мл
Чувствительность: 0.1 нг/мл

