| UNIPROT | P97570 |
| Иммуноген | RPA411Ra01-Recombinant Phospholipase A2, Calcium Independent (iPLA2) |
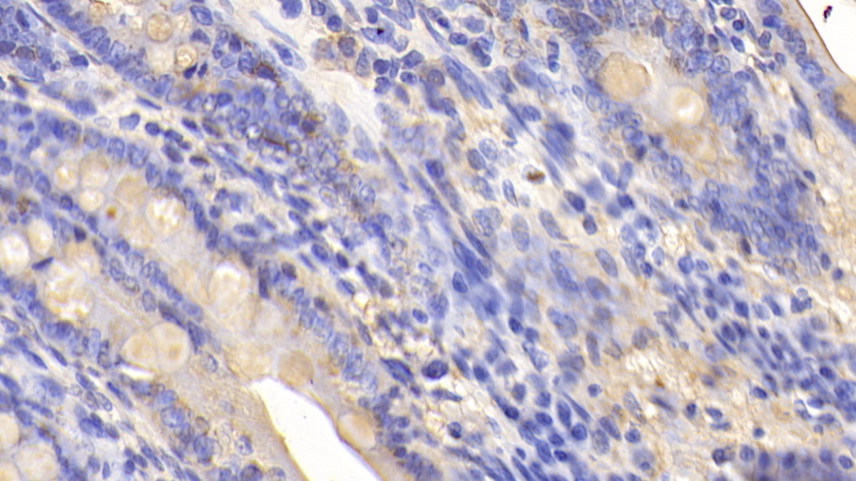
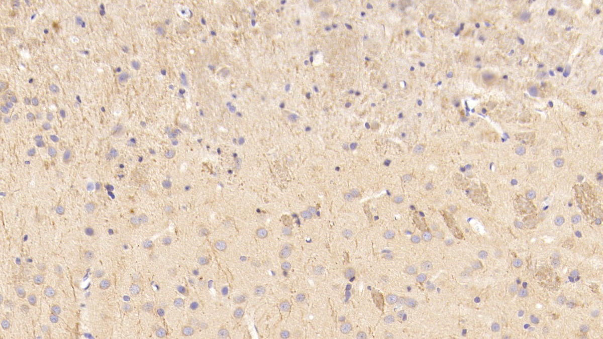
Polyclonal Antibody to Phospholipase A2, Calcium Independent (iPLA2) (PAA411Ra01)
Реактивность подтвержденная:
крыса
Источник (хозяин):
кролик
Валидировано для:
IHC
Характеристики
Техническое описание
| Русское название | PAA411Ra01 Поликлональное антитело к iPLA2 (крыса) <Cloud-Clone,Китай> |
| Каталожный номер | PAA411Ra01 |
| Название антигена | Phospholipase A2, Calcium Independent (iPLA2) |
| UNIPROT | P97570 |
| Иммуноген | RPA411Ra01-Recombinant Phospholipase A2, Calcium Independent (iPLA2) |
| Английские синонимы | PLA2G6, CaI-PLA2, GVI, INAD1, PNPLA9, Ca2+ Independent PLA2, 85 kDa Calcium-Independent Phospholipase A2, Phospholipase A2,group VI(Cytosolic,Calcium-Independent) |
Реактивность подтвержденная Нужна другая реактивность? |
крыса |
| Реактивность предсказываемая | человек, мышь |
| Источник (хозяин) | кролик |
| Клональность | поликлональное |
| Рекомбинантное | нет |
| Готовое к использованию | нет |
| Концентрация | 500 мкг/мл |
| Конъюгат | По запросу: HRP, biotin, PerCP, PE, Cy3, FITC, Cy7, Cy5.5, PE-Cy5, PE-Cy7, PerCp-Cy5.5, APC, Cy5, PE-Cy3, PE-Cy5.5, APC-Cy7, Biotin-APC, FITC-Biotin, TRITC, APC-Cy5, AF488, AF594, AF405, AF555, AF700, AF647, AF750 |
| Валидировано для | IHC Иммуногистохимия |
| Рекомендуемые разведения | WB: 0.2-2 мкг/мл; 1:250-2500; IHC: 5-20 мкг/мл; 1:25-100; ICC: 5-20 мкг/мл; 1:25-100; Оптимальное разведение определяется конечным потребителем |
| Метод очистки | Антигенспецифическая аффинная хроматография с последующей аффинной хроматографией с белком А |
| Состав буфера | 0.01M PBS, pH7.4, 0.05% Proclin-300, 50% глицерин |
| Условия доставки | термобокс с аккумуляторами холода |
| Условия хранения | Сразу после получения аликвотировать и хранить при -20ºС до 24 месяцев. Для частого использования хранить при +4ºС не более 2 недель. Избегать повторения циклов замерзания/оттаивания |
| Срок хранения | 24 месяца |
| Производитель | Cloud-Clone Corp. |
| Ссылка на страницу товара на сайте производителя | http://www.cloud-clone.com/products/PAA411Ra01.html |
|
Артикул
|
Наименование |
Производитель
|
|---|
|
Артикул
|
Наименование |
Производитель
|
|---|
|
Артикул
|
Наименование |
Производитель
|
|---|
|
Артикул
|
Наименование |
Производитель
|
|---|
Акции и предложения
Популярные продукты:
ELISA Kit DIY Materials for Cytochrome C Oxidase Subunit II (COX2) (KSD284Ra01)
Организм: крыса
Диапазон определения: 0.312-20 нг/мл
Чувствительность: 0.124 нг/мл
Диапазон определения: 0.312-20 нг/мл
Чувствительность: 0.124 нг/мл
Anti-Human/Mouse/Rat CD227/MUC1 Antibody (SM3) (RHD14201)
Источник (хозяин): мышь
Реактивность подтвержденная: человек, мышь, крыса
Валидировано для: ELISA, FCM, IF, IHC-P, IP, WB
Реактивность подтвержденная: человек, мышь, крыса
Валидировано для: ELISA, FCM, IF, IHC-P, IP, WB
Anti-ENO2/NSE Antibody (R3B52) (RHC38604)
Источник (хозяин): мышь
Реактивность подтвержденная: человек, мышь, крыса
Валидировано для: ELISA, WB
Реактивность подтвержденная: человек, мышь, крыса
Валидировано для: ELISA, WB
Polyclonal Antibody to Annexin A4 (ANXA4) (PAE784Ra02)
Источник (хозяин): кролик
Реактивность подтвержденная: крыса
Валидировано для: IHC, WB
Реактивность подтвержденная: крыса
Валидировано для: IHC, WB
Polyclonal Antibody to Phospholipase A2, Calcium Independent (iPLA2) (PAA411Ra01)
Источник (хозяин): кролик
Реактивность подтвержденная: крыса
Валидировано для: IHC
Реактивность подтвержденная: крыса
Валидировано для: IHC
Rabbit Anti-NeuN Antibody (SAA2241) (RHA00601)
Источник (хозяин): кролик
Реактивность подтвержденная: человек, мышь, крыса
Валидировано для: FCM, ICC, IF, IHC, WB
Реактивность подтвержденная: человек, мышь, крыса
Валидировано для: FCM, ICC, IF, IHC, WB

