| UNIPROT | Q5BK35 |
| Иммуноген | RPB077Ra01-Recombinant Phospholipase A2, Group IID (PLA2G2D) |
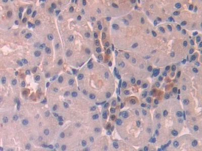
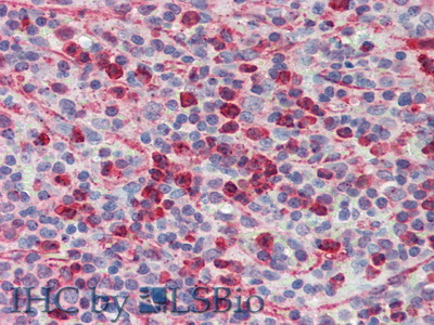
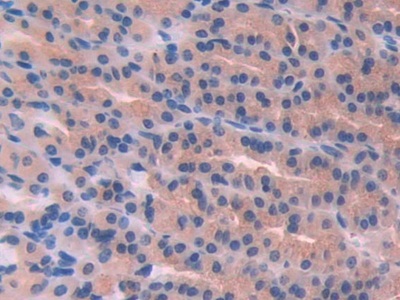
Polyclonal Antibody to Phospholipase A2, Group IID (PLA2G2D) (PAB077Ra01)
Реактивность подтвержденная:
крыса
Источник (хозяин):
кролик
Валидировано для:
IHC
Характеристики
Техническое описание
| Русское название | PAB077Ra01 Поликлональное антитело к PLA2G2D (крыса) <Cloud-Clone,Китай> |
| Каталожный номер | PAB077Ra01 |
| Название антигена | Phospholipase A2, Group IID (PLA2G2D) |
| UNIPROT | Q5BK35 |
| Иммуноген | RPB077Ra01-Recombinant Phospholipase A2, Group IID (PLA2G2D) |
| Английские синонимы | PLA2G2D, sPLA2S, s-PLA2, sPLA2, SPLASH, Secreted Phospholipase A2, Phosphatidylcholine 2-acylhydrolase 2D, Secretory-type PLA, stroma-associated homolog |
Реактивность подтвержденная Нужна другая реактивность? |
крыса |
| Источник (хозяин) | кролик |
| Клональность | поликлональное |
| Рекомбинантное | нет |
| Готовое к использованию | нет |
| Концентрация | 500 мкг/мл |
| Конъюгат | По запросу: HRP, biotin, PerCP, PE, Cy3, FITC, Cy7, Cy5.5, PE-Cy5, PE-Cy7, PerCp-Cy5.5, APC, Cy5, PE-Cy3, PE-Cy5.5, APC-Cy7, Biotin-APC, FITC-Biotin, TRITC, APC-Cy5, AF488, AF594, AF405, AF555, AF700, AF647, AF750 |
| Валидировано для | IHC Иммуногистохимия |
| Рекомендуемые разведения | WB: 0.5-2 мкг/мл; IHC: 5-20 мкг/мл; ICC: 5-20 мкг/мл; Оптимальное разведение определяется конечным потребителем |
| Метод очистки | Антигенспецифическая аффинная хроматография с последующей аффинной хроматографией с белком А |
| Состав буфера | PBS, pH7.4, 0.02% NaN3, 50% глицерин |
| Условия доставки | термобокс с аккумуляторами холода |
| Условия хранения | Сразу после получения аликвотировать и хранить при -20ºС до 24 месяцев. Для частого использования хранить при +4ºС не более 2 недель. Избегать повторения циклов замерзания/оттаивания |
| Срок хранения | 24 месяца |
| Производитель | Cloud-Clone Corp. |
| Ссылка на страницу товара на сайте производителя | http://www.cloud-clone.com/products/PAB077Ra01.html |
|
Артикул
|
Наименование |
Производитель
|
|---|
|
Артикул
|
Наименование |
Производитель
|
|---|
Акции и предложения
Популярные продукты:
Goat Phosphatidylethanol ELISA kit (E06P1129)
Организм: коза
HDAC1 Polyclonal Antibody (E-AB-18230)
Источник (хозяин): кролик
Реактивность подтвержденная: человек, мышь, крыса
Валидировано для: IHC, WB
Реактивность подтвержденная: человек, мышь, крыса
Валидировано для: IHC, WB
Phosphoglucose Isomerase (PGI) Activity Colorimetric Assay Kit (E-BC-K770-M)
Организм: для всех
Диапазон определения: 0.78 Ед/л
Чувствительность: 0.78-50.09 Ед/л
Диапазон определения: 0.78 Ед/л
Чувствительность: 0.78-50.09 Ед/л
Multiplex Assay Kit for Guanylate Cyclase 1 Beta 3 (GUCY1b3) (LMH947Mu)
Организм: мышь
Диапазон определения: 0.01-10 нг/мл
Чувствительность: 0.003 нг/мл
Диапазон определения: 0.01-10 нг/мл
Чувствительность: 0.003 нг/мл
Polyclonal Antibody to Cluster Of Differentiation 247 (CD247) (PAA865Hu08)
Источник (хозяин): кролик
Реактивность подтвержденная: человек
Валидировано для: WB
Реактивность подтвержденная: человек
Валидировано для: WB
Monoclonal Antibody to Lamin B1 (LMNB1) (MAF548Hu27)
Источник (хозяин): мышь
Реактивность подтвержденная: человек
Валидировано для: WB
Реактивность подтвержденная: человек
Валидировано для: WB

