| UNIPROT | P04054 |
| Иммуноген | RPD826Hu01-Recombinant Phospholipase A2, Pancreas (pPLA2) |
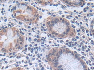
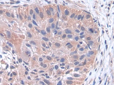
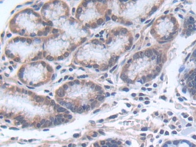
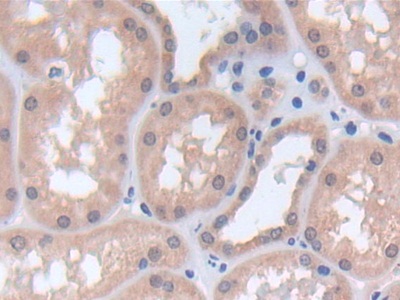
Polyclonal Antibody to Phospholipase A2, Pancreas (pPLA2) (PAD826Hu01)
Реактивность подтвержденная:
человек
Источник (хозяин):
кролик
Валидировано для:
IHC
Характеристики
Техническое описание
| Русское название | PAD826Hu01 Поликлональное антитело к pPLA2 (человек) <Cloud-Clone,Китай> |
| Каталожный номер | PAD826Hu01 |
| Название антигена | Phospholipase A2, Pancreas (pPLA2) |
| UNIPROT | P04054 |
| Иммуноген | RPD826Hu01-Recombinant Phospholipase A2, Pancreas (pPLA2) |
| Английские синонимы | PLA2G1B, PLA2A, PPLA2, Phospholipase A2, Group IB, Group IB phospholipase A2, Phosphatidylcholine 2-acylhydrolase 1B |
Реактивность подтвержденная Нужна другая реактивность? |
человек |
| Источник (хозяин) | кролик |
| Клональность | поликлональное |
| Рекомбинантное | нет |
| Готовое к использованию | нет |
| Концентрация | 500 мкг/мл |
| Конъюгат | По запросу: HRP, biotin, PerCP, PE, Cy3, FITC, Cy7, Cy5.5, PE-Cy5, PE-Cy7, PerCp-Cy5.5, APC, Cy5, PE-Cy3, PE-Cy5.5, APC-Cy7, Biotin-APC, FITC-Biotin, TRITC, APC-Cy5, AF488, AF594, AF405, AF555, AF700, AF647, AF750 |
| Валидировано для | IHC Иммуногистохимия |
| Рекомендуемые разведения | WB: 0.2-2 мкг/мл; 1:250-2500; IHC: 5-20 мкг/мл; 1:25-100; ICC: 5-20 мкг/мл; 1:25-100; Оптимальное разведение определяется конечным потребителем |
| Метод очистки | Антигенспецифическая аффинная хроматография с последующей аффинной хроматографией с белком А |
| Состав буфера | 0.01M PBS, pH7.4, 0.05% Proclin-300, 50% глицерин |
| Условия доставки | термобокс с аккумуляторами холода |
| Условия хранения | Сразу после получения аликвотировать и хранить при -20ºС до 24 месяцев. Для частого использования хранить при +4ºС не более 2 недель. Избегать повторения циклов замерзания/оттаивания |
| Срок хранения | 24 месяца |
| Производитель | Cloud-Clone Corp. |
| Ссылка на страницу товара на сайте производителя | http://www.cloud-clone.com/products/PAD826Hu01.html |
|
Артикул
|
Наименование |
Производитель
|
|---|
|
Артикул
|
Наименование |
Производитель
|
|---|
|
Артикул
|
Наименование |
Производитель
|
|---|
Акции и предложения
Популярные продукты:
Recombinant Human CCL25/TECK Protein, N-His (YHA53201)
Источник (хозяин): E.coli
Организм: человек
Фрагмент: Gln24-Leu150
Теги: N-His
Биоактивность: нет
Организм: человек
Фрагмент: Gln24-Leu150
Теги: N-His
Биоактивность: нет
NF-KB p100 Recombinant Rabbit mAb (ARM2639)
Источник (хозяин): кролик
Реактивность подтвержденная: человек, мышь, крыса
Валидировано для: IP, WB, IF, ICC
Реактивность подтвержденная: человек, мышь, крыса
Валидировано для: IP, WB, IF, ICC
Acetyl-Histone H3 (Lys18) Antibody (AF1023)
Источник (хозяин): кролик
Реактивность подтвержденная: человек, мышь, крыса, обезьяна
Валидировано для: IHC, WB, IF, ICC
Реактивность подтвержденная: человек, мышь, крыса, обезьяна
Валидировано для: IHC, WB, IF, ICC
Monoclonal Antibody to Phospholipase A2, Pancreas (pPLA2) (MAD826Po21)
Источник (хозяин): мышь
Реактивность подтвержденная: свинья
Валидировано для: ICC, IHC, IP, WB
Реактивность подтвержденная: свинья
Валидировано для: ICC, IHC, IP, WB
Polyclonal Antibody to Phospholipase A2, Pancreas (pPLA2) (PAD826Hu01)
Источник (хозяин): кролик
Реактивность подтвержденная: человек
Валидировано для: IHC
Реактивность подтвержденная: человек
Валидировано для: IHC
Polyclonal Antibody to B-Cell Leukemia/Lymphoma 2 (Bcl2) (PAA778Po01)
Источник (хозяин): кролик
Реактивность подтвержденная: свинья
Валидировано для: ICC, IHC, WB
Реактивность подтвержденная: свинья
Валидировано для: ICC, IHC, WB

