| UNIPROT | P00749 |
| Иммуноген | RPA140Hu01-Recombinant Plasminogen Activator, Urokinase (uPA) |
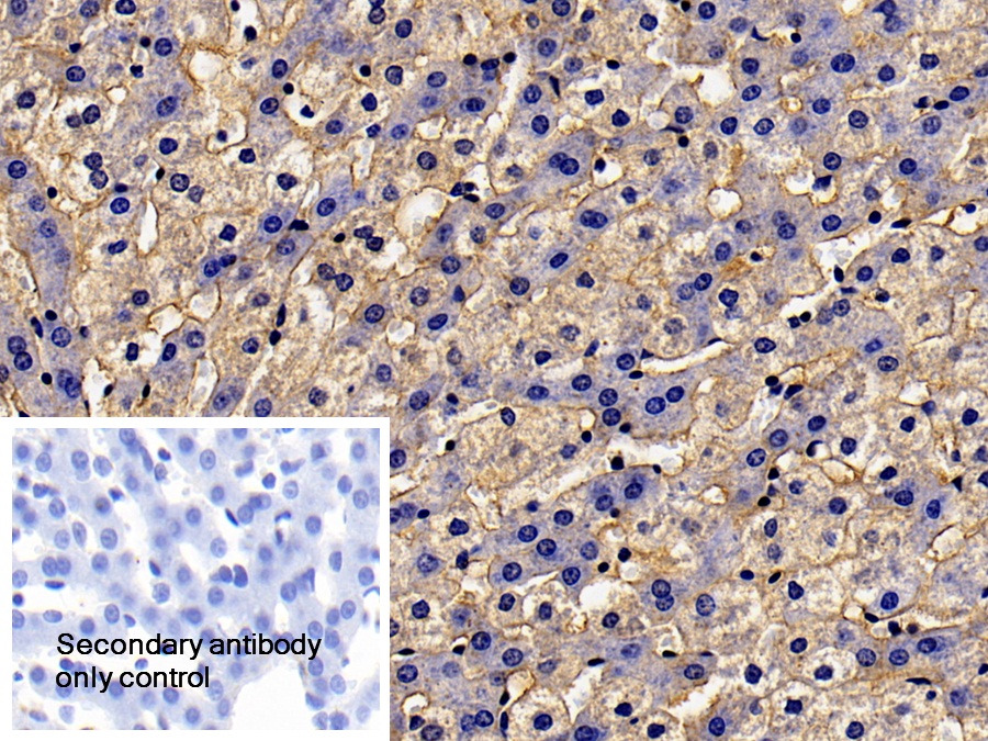
Polyclonal Antibody to Plasminogen Activator, Urokinase (uPA) (PAA140Hu01)
Реактивность подтвержденная:
человек
Источник (хозяин):
кролик
Валидировано для:
IHC
WB
Характеристики
Техническое описание
| Русское название | PAA140Hu01 Поликлональное антитело к uPA (человек) <Cloud-Clone,Китай> |
| Каталожный номер | PAA140Hu01 |
| Название антигена | Plasminogen Activator, Urokinase (uPA) |
| UNIPROT | P00749 |
| Иммуноген | RPA140Hu01-Recombinant Plasminogen Activator, Urokinase (uPA) |
| Английские синонимы | PLAU, ATF, URK, UK, UP-A, Abbokinase, Urokinase-Type Plasminogen Activator |
| Русские синонимы | УАП, урокиназа |
Реактивность подтвержденная Нужна другая реактивность? |
человек |
| Реактивность предсказываемая | свинья |
| Источник (хозяин) | кролик |
| Клональность | поликлональное |
| Рекомбинантное | нет |
| Готовое к использованию | нет |
| Концентрация | 0.5 мг/мл |
| Конъюгат | По запросу: HRP, biotin, PerCP, PE, Cy3, FITC, Cy7, Cy5.5, PE-Cy5, PE-Cy7, PerCp-Cy5.5, APC, Cy5, PE-Cy3, PE-Cy5.5, APC-Cy7, Biotin-APC, FITC-Biotin, TRITC, APC-Cy5, AF488, AF594, AF405, AF555, AF700, AF647, AF750 |
| Валидировано для | IHC WB Иммуногистохимия; Вестерн-блоттинг |
| Рекомендуемые разведения | WB: 0.01-2 мкг/мл; IHC: 5-20 мкг/мл; ICC: 5-20 мкг/мл; Оптимальное разведение определяется конечным потребителем |
| Метод очистки | Антигенспецифическая аффинная хроматография с последующей аффинной хроматографией с белком А |
| Состав буфера | 0.01M PBS, pH7.4, 0.05% Proclin-300, 50% глицерин |
| Условия доставки | термобокс с аккумуляторами холода |
| Условия хранения | Сразу после получения аликвотировать и хранить при -20ºС до 24 месяцев. Для частого использования хранить при +4ºС не более 2 недель. Избегать повторения циклов замерзания/оттаивания |
| Срок хранения | 24 месяца |
| Производитель | Cloud-Clone Corp. |
| Ссылка на страницу товара на сайте производителя | http://www.cloud-clone.com/products/PAA140Hu01.html |
|
Артикул
|
Наименование |
Производитель
|
|---|
|
Артикул
|
Наименование |
Производитель
|
|---|
|
Артикул
|
Наименование |
Производитель
|
|---|
|
Артикул
|
Наименование |
Производитель
|
|---|
|
Артикул
|
Наименование |
Производитель
|
|---|
|
Артикул
|
Наименование |
Производитель
|
|---|
|
Артикул
|
Наименование |
Производитель
|
|---|
|
Артикул
|
Наименование |
Производитель
|
|---|
|
Артикул
|
Наименование |
Производитель
|
|---|
Акции и предложения
Популярные продукты:
TMOD1 Mouse Monoclonal Antibody (BF8843)
Источник (хозяин): мышь
Реактивность подтвержденная: человек, крыса
Валидировано для: WB
Реактивность подтвержденная: человек, крыса
Валидировано для: WB
Anti-Fentanyl/FTY Antibody (SAA2238) (RGK12907)
Источник (хозяин): мышь
Реактивность подтвержденная: для всех
Валидировано для: ELISA
Реактивность подтвержденная: для всех
Валидировано для: ELISA
Anti-Heat Shock Protein Beta 6 (HSPb6) Monoclonal Antibody (FAF358Ra04)
Источник (хозяин): мышь
Реактивность подтвержденная: крыса
Валидировано для: FCM
Реактивность подтвержденная: крыса
Валидировано для: FCM
ELISA Kit DIY Materials for Histone Deacetylase 1 (HDAC1) (KSC206Hu01)
Организм: человек
Диапазон определения: 0.156-10 нг/мл
Чувствительность: 0.054 нг/мл
Диапазон определения: 0.156-10 нг/мл
Чувствительность: 0.054 нг/мл
ELISA Kit DIY Materials for Tumor Necrosis Factor Alpha (TNFa) (KSA133Gu01)
Организм: морская свинка
Диапазон определения: 7.8-500 пг/мл
Чувствительность: 2.8 пг/мл
Диапазон определения: 7.8-500 пг/мл
Чувствительность: 2.8 пг/мл
Bovine BRCA1 A complex subunit BRE(BRE) ELISA kit (E11B0841)
Организм: корова

