| UNIPROT | P13797 |
| Иммуноген | RPH365Hu01-Recombinant Plastin 3 (PLS3) |
Polyclonal Antibody to Plastin 3 (PLS3) (PAH365Hu01)
Реактивность подтвержденная:
человек
Источник (хозяин):
кролик
Валидировано для:
IHC
WB
Характеристики
Техническое описание
| Русское название | PAH365Hu01 Поликлональное антитело к PLS3 (человек) <Cloud-Clone,Китай> |
| Каталожный номер | PAH365Hu01 |
| Название антигена | Plastin 3 (PLS3) |
| UNIPROT | P13797 |
| Иммуноген | RPH365Hu01-Recombinant Plastin 3 (PLS3) |
| Английские синонимы | T-PLASTIN |
Реактивность подтвержденная Нужна другая реактивность? |
человек |
| Реактивность предсказываемая | мышь, крыса, свинья |
| Источник (хозяин) | кролик |
| Клональность | поликлональное |
| Рекомбинантное | нет |
| Готовое к использованию | нет |
| Концентрация | 0.57 мг/мл |
| Конъюгат | По запросу: HRP, biotin, PerCP, PE, Cy3, FITC, Cy7, Cy5.5, PE-Cy5, PE-Cy7, PerCp-Cy5.5, APC, Cy5, PE-Cy3, PE-Cy5.5, APC-Cy7, Biotin-APC, FITC-Biotin, TRITC, APC-Cy5, AF488, AF594, AF405, AF555, AF700, AF647, AF750 |
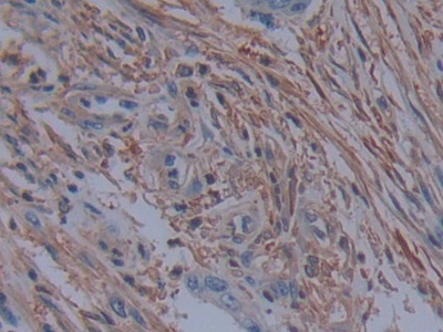
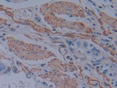
| Валидировано для | IHC WB Иммуногистохимия; Вестерн-блоттинг |
| Рекомендуемые разведения | WB: 0.01-2 мкг/мл; 1:280-1100; IHC: 5-20 мкг/мл; 1:28-110; ICC: 5-20 мкг/мл; 1:28-110; Оптимальное разведение определяется конечным потребителем |
| Метод очистки | Антигенспецифическая аффинная хроматография с последующей аффинной хроматографией с белком А |
| Состав буфера | PBS, pH7.4, 0.02% NaN3, 50% глицерин |
| Условия доставки | термобокс с аккумуляторами холода |
| Условия хранения | Сразу после получения аликвотировать и хранить при -20ºС до 24 месяцев. Для частого использования хранить при +4ºС не более 2 недель. Избегать повторения циклов замерзания/оттаивания |
| Срок хранения | 24 месяца |
| Производитель | Cloud-Clone Corp. |
| Ссылка на страницу товара на сайте производителя | http://www.cloud-clone.com/products/PAH365Hu01.html |
|
Артикул
|
Наименование |
Производитель
|
|---|
|
Артикул
|
Наименование |
Производитель
|
|---|
|
Артикул
|
Наименование |
Производитель
|
|---|
Акции и предложения
Популярные продукты:
Anti-Plastin 3 (PLS3) Polyclonal Antibody (FAH365Hu05)
Источник (хозяин): кролик
Реактивность подтвержденная: человек
Валидировано для: FCM
Реактивность подтвержденная: человек
Валидировано для: FCM
Anti-Plastin 3 (PLS3) Polyclonal Antibody (FAH365Hu03)
Источник (хозяин): кролик
Реактивность подтвержденная: человек
Валидировано для: FCM
Реактивность подтвержденная: человек
Валидировано для: FCM
Monoclonal Antibody to Enolase 1 (ENO1) (MAB449Hu26)
Источник (хозяин): мышь
Реактивность подтвержденная: человек
Валидировано для: IHC, WB
Реактивность подтвержденная: человек
Валидировано для: IHC, WB
Porcine Spermine ELISA kit (E07S0034)
Организм: свинья
Chicken Cystatin F(CST7) ELISA kit (E12C2126)
Организм: курица
Porcine CTD Phosphatase 1 ELISA kit (E07C0049)
Организм: свинья

