| UNIPROT | P06765 |
| Иммуноген | RPA172Ra01-Recombinant Platelet Factor 4 (PF4) |
Polyclonal Antibody to Platelet Factor 4 (PF4) (PAA172Ra01)
Реактивность подтвержденная:
крыса
Источник (хозяин):
кролик
Валидировано для:
IHC
Характеристики
Техническое описание
| Русское название | PAA172Ra01 Поликлональное антитело к PF4 (крыса) <Cloud-Clone,Китай> |
| Каталожный номер | PAA172Ra01 |
| Название антигена | Platelet Factor 4 (PF4) |
| UNIPROT | P06765 |
| Иммуноген | RPA172Ra01-Recombinant Platelet Factor 4 (PF4) |
| Английские синонимы | CXCL4, SCYB4, Chemokine C-X-C-Motif Ligand 4, Oncostatin-A, Iroplact |
Реактивность подтвержденная Нужна другая реактивность? |
крыса |
| Реактивность предсказываемая | человек, мышь |
| Источник (хозяин) | кролик |
| Клональность | поликлональное |
| Рекомбинантное | нет |
| Готовое к использованию | нет |
| Концентрация | 500 мкг/мл |
| Конъюгат | По запросу: HRP, biotin, PerCP, PE, Cy3, FITC, Cy7, Cy5.5, PE-Cy5, PE-Cy7, PerCp-Cy5.5, APC, Cy5, PE-Cy3, PE-Cy5.5, APC-Cy7, Biotin-APC, FITC-Biotin, TRITC, APC-Cy5, AF488, AF594, AF405, AF555, AF700, AF647, AF750 |
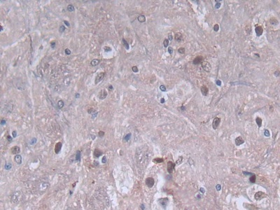
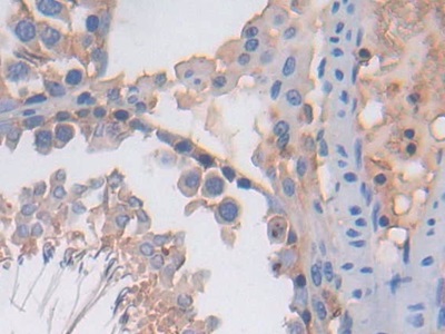
| Валидировано для | IHC Иммуногистохимия |
| Рекомендуемые разведения | WB: 0.2-2 мкг/мл; 1:250-2500; IHC: 5-20 мкг/мл; 1:25-100; ICC: 5-20 мкг/мл; 1:25-100; Оптимальное разведение определяется конечным потребителем |
| Метод очистки | Антигенспецифическая аффинная хроматография с последующей аффинной хроматографией с белком А |
| Состав буфера | 0.01M PBS, pH7.4, 0.05% Proclin-300, 50% глицерин |
| Условия доставки | термобокс с аккумуляторами холода |
| Условия хранения | Сразу после получения аликвотировать и хранить при -20ºС до 24 месяцев. Для частого использования хранить при +4ºС не более 2 недель. Избегать повторения циклов замерзания/оттаивания |
| Срок хранения | 24 месяца |
| Производитель | Cloud-Clone Corp. |
| Ссылка на страницу товара на сайте производителя | http://www.cloud-clone.com/products/PAA172Ra01.html |
|
Артикул
|
Наименование |
Производитель
|
|---|
|
Артикул
|
Наименование |
Производитель
|
|---|
|
Артикул
|
Наименование |
Производитель
|
|---|
|
Артикул
|
Наименование |
Производитель
|
|---|
|
Артикул
|
Наименование |
Производитель
|
|---|
|
Артикул
|
Наименование |
Производитель
|
|---|
|
Артикул
|
Наименование |
Производитель
|
|---|
|
Артикул
|
Наименование |
Производитель
|
|---|
|
Артикул
|
Наименование |
Производитель
|
|---|
|
Артикул
|
Наименование |
Производитель
|
|---|
Акции и предложения
Популярные продукты:
Mini Samples ELISA Kit for Amylin (MEA812Ra)
Организм: крыса
Диапазон определения: 12.35-1,000 пг/мл
Чувствительность: 5.7 пг/мл
Диапазон определения: 12.35-1,000 пг/мл
Чувствительность: 5.7 пг/мл
Chicken β parvin(PARVB) ELISA kit (E12B0959)
Организм: курица
Canine β parvin(PARVB) ELISA kit (E08B0959)
Организм: собака
Monkey Cyclin C(CCNC) ELISA kit (E09C1446)
Организм: обезьяна
Monkey Ferroportin ELISA kit (E09F0201)
Организм: обезьяна
Monkey Bone Alkaline Phosphatase ELISA kit (E09B0138)
Организм: обезьяна
Диапазон определения: 0.5-10 нг/мл
Чувствительность: 0.1 нг/мл
Диапазон определения: 0.5-10 нг/мл
Чувствительность: 0.1 нг/мл

