| UNIPROT | P21782 |
| Иммуноген | RPB309Bo01-Recombinant Pleiotrophin (PTN) |
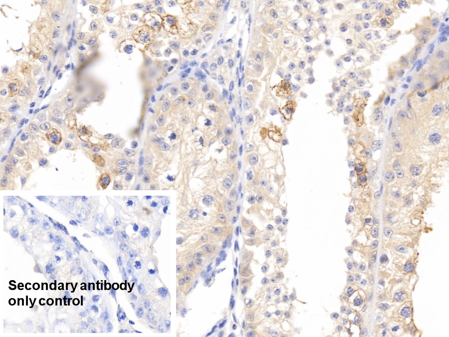
Polyclonal Antibody to Pleiotrophin (PTN) (PAB309Bo01)
Реактивность подтвержденная:
корова
Источник (хозяин):
кролик
Валидировано для:
IHC
WB
Характеристики
Техническое описание
| Русское название | PAB309Bo01 Поликлональное антитело к PTN (корова) <Cloud-Clone,Китай> |
| Каталожный номер | PAB309Bo01 |
| Название антигена | Pleiotrophin (PTN) |
| UNIPROT | P21782 |
| Иммуноген | RPB309Bo01-Recombinant Pleiotrophin (PTN) |
| Английские синонимы | HARP, HBGF8, HBNF, NEGF1, Heparin Binding Growth Factor 8, Neurite Growth-Promoting Factor 1, Heparin Affin Regulatory Peptide, Heparin Binding Growth Associated Molecule |
Реактивность подтвержденная Нужна другая реактивность? |
корова |
| Реактивность предсказываемая | человек, мышь, крыса |
| Источник (хозяин) | кролик |
| Клональность | поликлональное |
| Рекомбинантное | нет |
| Готовое к использованию | нет |
| Концентрация | 0.5 мг/мл |
| Конъюгат | По запросу: HRP, biotin, PerCP, PE, Cy3, FITC, Cy7, Cy5.5, PE-Cy5, PE-Cy7, PerCp-Cy5.5, APC, Cy5, PE-Cy3, PE-Cy5.5, APC-Cy7, Biotin-APC, FITC-Biotin, TRITC, APC-Cy5, AF488, AF594, AF405, AF555, AF700, AF647, AF750 |
| Валидировано для | IHC WB Иммуногистохимия; Вестерн-блоттинг |
| Рекомендуемые разведения | WB: 0.01-2 мкг/мл; IHC: 5-20 мкг/мл; Оптимальное разведение определяется конечным потребителем |
| Метод очистки | Антигенспецифическая аффинная хроматография с последующей аффинной хроматографией с белком А |
| Состав буфера | 0.01M PBS, pH7.4, 0.05% Proclin-300, 50% глицерин |
| Условия доставки | термобокс с аккумуляторами холода |
| Условия хранения | Сразу после получения аликвотировать и хранить при -20ºС до 24 месяцев. Для частого использования хранить при +4ºС не более 2 недель. Избегать повторения циклов замерзания/оттаивания |
| Срок хранения | 24 месяца |
| Производитель | Cloud-Clone Corp. |
| Ссылка на страницу товара на сайте производителя | http://www.cloud-clone.com/products/PAB309Bo01.html |
|
Артикул
|
Наименование |
Производитель
|
|---|
|
Артикул
|
Наименование |
Производитель
|
|---|
|
Артикул
|
Наименование |
Производитель
|
|---|
|
Артикул
|
Наименование |
Производитель
|
|---|
|
Артикул
|
Наименование |
Производитель
|
|---|
|
Артикул
|
Наименование |
Производитель
|
|---|
|
Артикул
|
Наименование |
Производитель
|
|---|
Акции и предложения
Популярные продукты:
Eukaryotic Interleukin 6 Receptor (IL6R) (EPB815Hu61)
Источник (хозяин): 293F
Организм: человек
Фрагмент: Leu20-Pro365
Теги: N-концевой His-Tag
Биоактивность: нет
Организм: человек
Фрагмент: Leu20-Pro365
Теги: N-концевой His-Tag
Биоактивность: нет
Monkey Actin binding protein anillin(ANLN) ELISA kit (E09A1525)
Организм: обезьяна
Chicken Pleiotrophin ELISA kit (E12P0160)
Организм: курица
Bovine Pleiotrophin ELISA kit (E11P0160)
Организм: корова
Canine Pleiotrophin ELISA kit (E08P0160)
Организм: собака
Porcine Pleiotrophin ELISA kit (E07P0160)
Организм: свинья

