| UNIPROT | Q8CJH3 |
| Иммуноген | RPH358Mu01-Recombinant Plexin B1 (PLXNB1) |
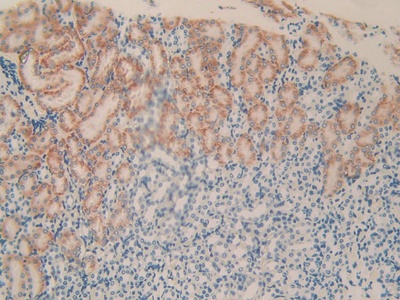
Polyclonal Antibody to Plexin B1 (PLXNB1) (PAH358Mu01)
Реактивность подтвержденная:
мышь
Источник (хозяин):
кролик
Валидировано для:
IHC
Характеристики
Техническое описание
| Русское название | PAH358Mu01 Поликлональное антитело к PLXNB1 (мышь) <Cloud-Clone,Китай> |
| Каталожный номер | PAH358Mu01 |
| Название антигена | Plexin B1 (PLXNB1) |
| UNIPROT | Q8CJH3 |
| Иммуноген | RPH358Mu01-Recombinant Plexin B1 (PLXNB1) |
| Английские синонимы | PLXN5, SEP, Semaphorin receptor SEP |
Реактивность подтвержденная Нужна другая реактивность? |
мышь |
| Источник (хозяин) | кролик |
| Клональность | поликлональное |
| Рекомбинантное | нет |
| Готовое к использованию | нет |
| Концентрация | 0.93 мг/мл |
| Конъюгат | По запросу: HRP, biotin, PerCP, PE, Cy3, FITC, Cy7, Cy5.5, PE-Cy5, PE-Cy7, PerCp-Cy5.5, APC, Cy5, PE-Cy3, PE-Cy5.5, APC-Cy7, Biotin-APC, FITC-Biotin, TRITC, APC-Cy5, AF488, AF594, AF405, AF555, AF700, AF647, AF750 |
| Валидировано для | IHC Иммуногистохимия |
| Рекомендуемые разведения | WB: 0.5-2 мкг/мл; 1:460-1860; IHC: 5-20 мкг/мл; 1:46-186; ICC: 5-20 мкг/мл; 1:46-186; Оптимальное разведение определяется конечным потребителем |
| Метод очистки | Антигенспецифическая аффинная хроматография с последующей аффинной хроматографией с белком А |
| Состав буфера | 0.01M PBS, pH7.4, 0.05% Proclin-300, 50% глицерин |
| Условия доставки | термобокс с аккумуляторами холода |
| Условия хранения | Сразу после получения аликвотировать и хранить при -20ºС до 24 месяцев. Для частого использования хранить при +4ºС не более 2 недель. Избегать повторения циклов замерзания/оттаивания |
| Срок хранения | 24 месяца |
| Производитель | Cloud-Clone Corp. |
| Ссылка на страницу товара на сайте производителя | http://www.cloud-clone.com/products/PAH358Mu01.html |
|
Артикул
|
Наименование |
Производитель
|
|---|
|
Артикул
|
Наименование |
Производитель
|
|---|
Акции и предложения
Популярные продукты:
Multiplex Assay Kit for Claudin 8 (CLDN8) (LMF298Hu)
Организм: человек
Диапазон определения: 0.01-10 нг/мл
Чувствительность: 0.003 нг/мл
Диапазон определения: 0.01-10 нг/мл
Чувствительность: 0.003 нг/мл
Sheep Caveolin 2(CAV2) ELISA kit (E14C1404)
Организм: овца
Canine Melatonin receptor type 1A(MTNR1A) ELISA kit (E08M0405)
Организм: собака
Rabbit Integrin Linked Kinase 1 ELISA kit (E04I0393)
Организм: кролик

