| UNIPROT | P15083 |
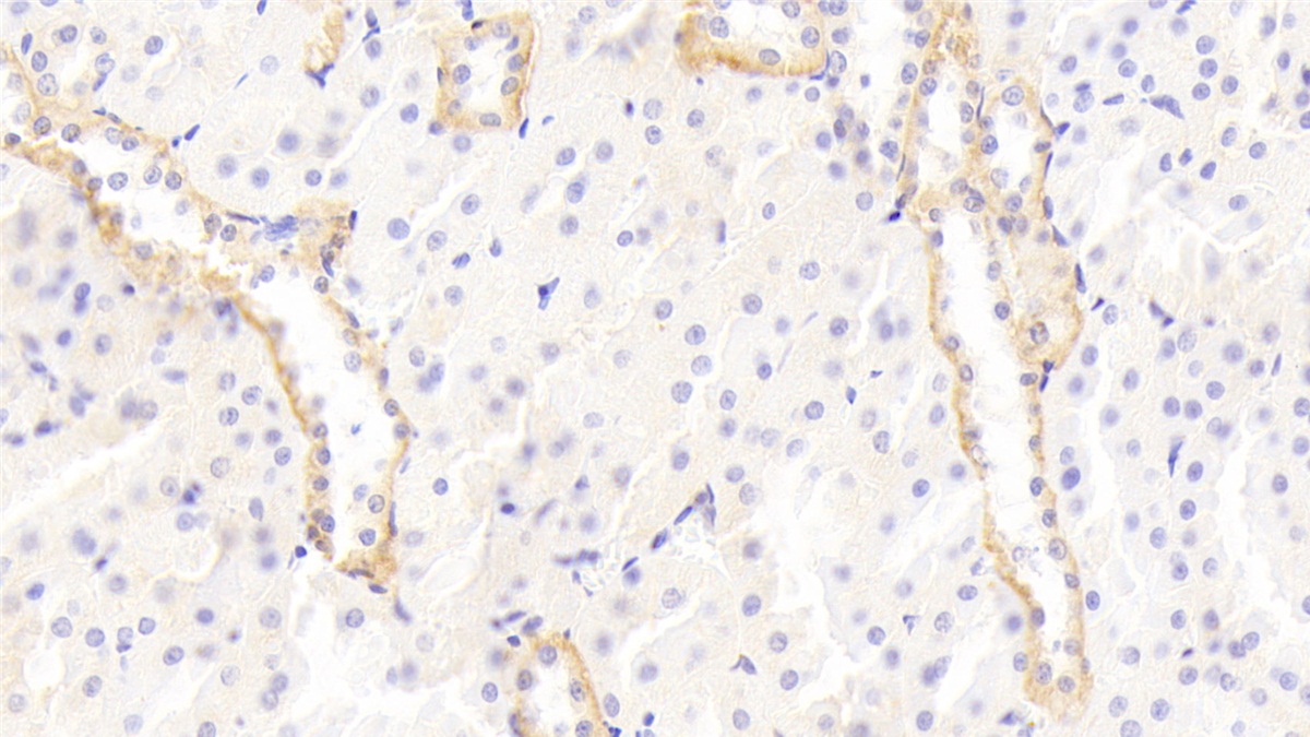
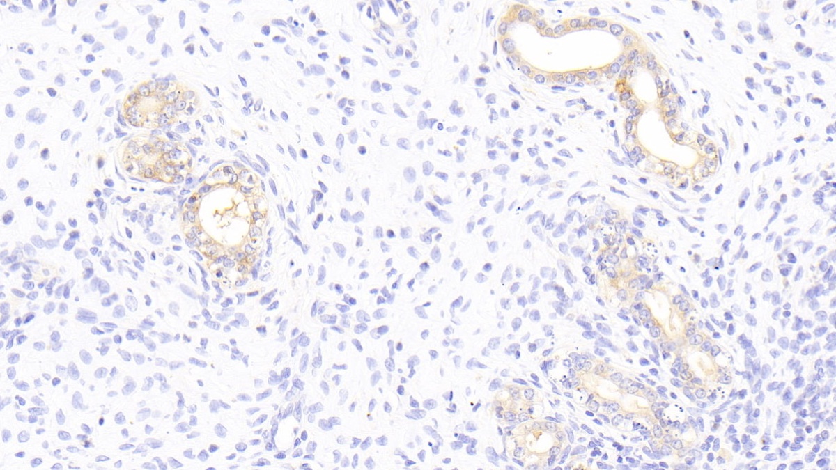
| Иммуноген | RPB074Ra01-Recombinant Polymeric Immunoglobulin Receptor (PIGR) |
Polyclonal Antibody to Polymeric Immunoglobulin Receptor (PIGR) (PAB074Ra01)
Реактивность подтвержденная:
крыса
Источник (хозяин):
кролик
Валидировано для:
IHC
Характеристики
Техническое описание
| Русское название | PAB074Ra01 Поликлональное антитело к PIGR (крыса) <Cloud-Clone,Китай> |
| Каталожный номер | PAB074Ra01 |
| Название антигена | Polymeric Immunoglobulin Receptor (PIGR) |
| UNIPROT | P15083 |
| Иммуноген | RPB074Ra01-Recombinant Polymeric Immunoglobulin Receptor (PIGR) |
| Английские синонимы | SC, Secretory Component, Hepatocellular carcinoma-associated protein TB6 |
Реактивность подтвержденная Нужна другая реактивность? |
крыса |
| Источник (хозяин) | кролик |
| Клональность | поликлональное |
| Рекомбинантное | нет |
| Готовое к использованию | нет |
| Концентрация | 500 мкг/мл |
| Конъюгат | По запросу: HRP, biotin, PerCP, PE, Cy3, FITC, Cy7, Cy5.5, PE-Cy5, PE-Cy7, PerCp-Cy5.5, APC, Cy5, PE-Cy3, PE-Cy5.5, APC-Cy7, Biotin-APC, FITC-Biotin, TRITC, APC-Cy5, AF488, AF594, AF405, AF555, AF700, AF647, AF750 |
| Валидировано для | IHC Иммуногистохимия |
| Рекомендуемые разведения | WB: 0.2-2 мкг/мл; 1:250-2500; IHC: 5-20 мкг/мл; 1:25-100; ICC: 5-20 мкг/мл; 1:25-100; Оптимальное разведение определяется конечным потребителем |
| Метод очистки | Антигенспецифическая аффинная хроматография с последующей аффинной хроматографией с белком А |
| Состав буфера | 0.01M PBS, pH7.4, 0.05% Proclin-300, 50% глицерин |
| Условия доставки | термобокс с аккумуляторами холода |
| Условия хранения | Сразу после получения аликвотировать и хранить при -20ºС до 24 месяцев. Для частого использования хранить при +4ºС не более 2 недель. Избегать повторения циклов замерзания/оттаивания |
| Срок хранения | 24 месяца |
| Производитель | Cloud-Clone Corp. |
| Ссылка на страницу товара на сайте производителя | http://www.cloud-clone.com/products/PAB074Ra01.html |
|
Артикул
|
Наименование |
Производитель
|
|---|
|
Артикул
|
Наименование |
Производитель
|
|---|
|
Артикул
|
Наименование |
Производитель
|
|---|
|
Артикул
|
Наименование |
Производитель
|
|---|
|
Артикул
|
Наименование |
Производитель
|
|---|
|
Артикул
|
Наименование |
Производитель
|
|---|
Акции и предложения
Популярные продукты:
ELISA Kit DIY Materials for V-Erb B2 Erythroblastic Leukemia Viral Oncogene Homolog 3 (ErbB3) (KSC187Mu01)
Организм: мышь
Диапазон определения: 7.8-500 пг/мл
Чувствительность: 3.4 пг/мл
Диапазон определения: 7.8-500 пг/мл
Чувствительность: 3.4 пг/мл
Rat Filaggrin ELISA kit (E02F0028)
Организм: крыса
Mouse Neuronatin(NNAT) ELISA kit (E03N0552)
Организм: мышь
Rabbit Zinc transporter 1 ELISA kit (E04S0855)
Организм: кролик
Canine Alanine ELISA kit (E08A4348)
Организм: собака
Chicken Cathelicidin Antimicrobial Peptide ELISA kit (E12C0333)
Организм: курица

