| UNIPROT | P02766 |
| Иммуноген | RPA726Hu01-Recombinant Prealbumin (PALB) |
Polyclonal Antibody to Prealbumin (PALB) (PAA726Hu01)
Реактивность подтвержденная:
человек
Источник (хозяин):
кролик
Валидировано для:
IHC
WB
Характеристики
Техническое описание
| Русское название | PAA726Hu01 Поликлональное антитело к PALB (человек) <Cloud-Clone,Китай> |
| Каталожный номер | PAA726Hu01 |
| Название антигена | Transthyretin (TTR) |
| UNIPROT | P02766 |
| Иммуноген | RPA726Hu01-Recombinant Prealbumin (PALB) |
| Английские синонимы | TBPA, PA, PLB, ATTR, PALB, Prealbumin, Prealbumin Amyloidosis Type I, Transports Thyroxine and Retinol |
| Русские синонимы | тироксинсвязывающий преальбумин |
Реактивность подтвержденная Нужна другая реактивность? |
человек |
| Реактивность предсказываемая | свинья |
| Источник (хозяин) | кролик |
| Клональность | поликлональное |
| Рекомбинантное | нет |
| Готовое к использованию | нет |
| Концентрация | 0.5 мг/мл |
| Конъюгат | По запросу: HRP, biotin, PerCP, PE, Cy3, FITC, Cy7, Cy5.5, PE-Cy5, PE-Cy7, PerCp-Cy5.5, APC, Cy5, PE-Cy3, PE-Cy5.5, APC-Cy7, Biotin-APC, FITC-Biotin, TRITC, APC-Cy5, AF488, AF594, AF405, AF555, AF700, AF647, AF750 |
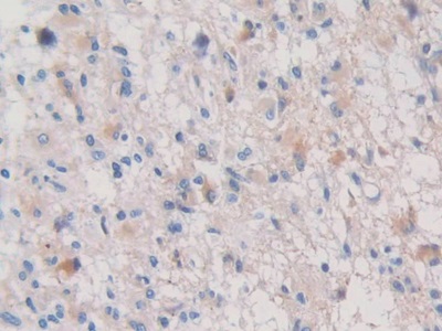
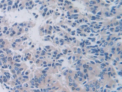
| Валидировано для | IHC WB Иммуногистохимия; Вестерн-блоттинг |
| Рекомендуемые разведения | WB: 0.01-2 мкг/мл; IHC: 5-20 мкг/мл; ICC: 5-20 мкг/мл; Оптимальное разведение определяется конечным потребителем |
| Метод очистки | Антигенспецифическая аффинная хроматография с последующей аффинной хроматографией с белком А |
| Состав буфера | PBS, pH7.4, 0.02% NaN3, 50% глицерин |
| Условия доставки | термобокс с аккумуляторами холода |
| Условия хранения | Сразу после получения аликвотировать и хранить при -20ºС до 24 месяцев. Для частого использования хранить при +4ºС не более 2 недель. Избегать повторения циклов замерзания/оттаивания |
| Срок хранения | 24 месяца |
| Производитель | Cloud-Clone Corp. |
| Ссылка на страницу товара на сайте производителя | http://www.cloud-clone.com/products/PAA726Hu01.html |
|
Артикул
|
Наименование |
Производитель
|
|---|
|
Артикул
|
Наименование |
Производитель
|
|---|
|
Артикул
|
Наименование |
Производитель
|
|---|
|
Артикул
|
Наименование |
Производитель
|
|---|
|
Артикул
|
Наименование |
Производитель
|
|---|
|
Артикул
|
Наименование |
Производитель
|
|---|
|
Артикул
|
Наименование |
Производитель
|
|---|
|
Артикул
|
Наименование |
Производитель
|
|---|
|
Артикул
|
Наименование |
Производитель
|
|---|
|
Артикул
|
Наименование |
Производитель
|
|---|
|
Артикул
|
Наименование |
Производитель
|
|---|
|
Артикул
|
Наименование |
Производитель
|
|---|
|
Артикул
|
Наименование |
Производитель
|
|---|
Акции и предложения
Популярные продукты:
Porcine Cyclin A ELISA kit (E07C0075)
Организм: свинья
Rat Putrescine ELISA kit (E02P1258)
Организм: крыса
Human Putrescine ELISA kit (E01P1258)
Организм: человек
Monkey Archaemetzincin 1(AMZ1) ELISA kit (E09A1435)
Организм: обезьяна
Guinea Pig Translocator protein ELISA kit (E05T0051)
Организм: морская свинка
Rabbit Astrotactin 1(ASTN1) ELISA kit (E04A1733)
Организм: кролик

