| UNIPROT | P20742 |
| Иммуноген | RPG324Hu01-Recombinant Pregnancy Zone Protein (PZP) |
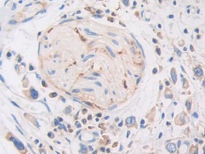
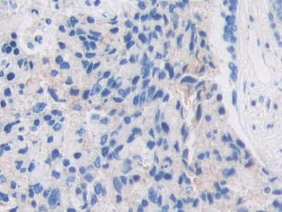
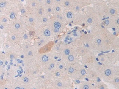
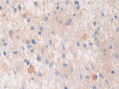
Polyclonal Antibody to Pregnancy Zone Protein (PZP) (PAG324Hu01)
Реактивность подтвержденная:
человек
Источник (хозяин):
кролик
Валидировано для:
IHC
WB
Характеристики
Техническое описание
| Русское название | PAG324Hu01 Поликлональное антитело к PZP (человек) <Cloud-Clone,Китай> |
| Каталожный номер | PAG324Hu01 |
| Название антигена | Pregnancy Zone Protein (PZP) |
| UNIPROT | P20742 |
| Иммуноген | RPG324Hu01-Recombinant Pregnancy Zone Protein (PZP) |
| Английские синонимы | CPAMD6, C3 and PZP-like alpha-2-macroglobulin domain-containing protein 6 |
Реактивность подтвержденная Нужна другая реактивность? |
человек |
| Источник (хозяин) | кролик |
| Клональность | поликлональное |
| Рекомбинантное | нет |
| Готовое к использованию | нет |
| Концентрация | 0.5 мг/мл |
| Конъюгат | По запросу: HRP, biotin, PerCP, PE, Cy3, FITC, Cy7, Cy5.5, PE-Cy5, PE-Cy7, PerCp-Cy5.5, APC, Cy5, PE-Cy3, PE-Cy5.5, APC-Cy7, Biotin-APC, FITC-Biotin, TRITC, APC-Cy5, AF488, AF594, AF405, AF555, AF700, AF647, AF750 |
| Валидировано для | IHC WB Иммуногистохимия; Вестерн-блоттинг |
| Рекомендуемые разведения | WB: 0.5-2 мкг/мл; IHC: 5-20 мкг/мл; ICC: 5-20 мкг/мл; Оптимальное разведение определяется конечным потребителем |
| Метод очистки | Антигенспецифическая аффинная хроматография с последующей аффинной хроматографией с белком А |
| Состав буфера | PBS, pH7.4, 0.02% NaN3, 50% глицерин |
| Условия доставки | термобокс с аккумуляторами холода |
| Условия хранения | Сразу после получения аликвотировать и хранить при -20ºС до 24 месяцев. Для частого использования хранить при +4ºС не более 2 недель. Избегать повторения циклов замерзания/оттаивания |
| Срок хранения | 24 месяца |
| Производитель | Cloud-Clone Corp. |
| Ссылка на страницу товара на сайте производителя | http://www.cloud-clone.com/products/PAG324Hu01.html |
|
Артикул
|
Наименование |
Производитель
|
|---|
|
Артикул
|
Наименование |
Производитель
|
|---|
|
Артикул
|
Наименование |
Производитель
|
|---|
Акции и предложения
Популярные продукты:
DPH2 Polyclonal Antibody (E-AB-91790)
Источник (хозяин): кролик
Реактивность подтвержденная: мышь
Валидировано для: WB
Реактивность подтвержденная: мышь
Валидировано для: WB
Monoclonal Antibody to Sulfadiazine (SD) (MAK999Ge22)
Источник (хозяин): мышь
Реактивность подтвержденная: для всех
Валидировано для: ELISA, ICC
Реактивность подтвержденная: для всех
Валидировано для: ELISA, ICC
Polyclonal Antibody to Pregnancy Zone Protein (PZP) (PAG324Hu01)
Источник (хозяин): кролик
Реактивность подтвержденная: человек
Валидировано для: IHC, WB
Реактивность подтвержденная: человек
Валидировано для: IHC, WB
ELISA Kit for Cat Eye Syndrome Chromosome Region, Candidate 1 (CECR1) (SEL307Hu)
Организм: человек
Диапазон определения: 0.312-20 нг/мл
Чувствительность: 0.118 нг/мл
Диапазон определения: 0.312-20 нг/мл
Чувствительность: 0.118 нг/мл
OR5D3 Mouse Monoclonal Antibody (BF9376)
Источник (хозяин): мышь
Реактивность подтвержденная: человек, мышь
Валидировано для: WB
Реактивность подтвержденная: человек, мышь
Валидировано для: WB
POMK Mouse Monoclonal Antibody (BF8781)
Источник (хозяин): мышь
Реактивность подтвержденная: человек
Валидировано для: WB
Реактивность подтвержденная: человек
Валидировано для: WB

