| UNIPROT | Q61838 |
| Иммуноген | RPG324Mu04-Recombinant Pregnancy Zone Protein (PZP) |
Polyclonal Antibody to Pregnancy Zone Protein (PZP) (PAG324Mu04)
Реактивность подтвержденная:
мышь
Источник (хозяин):
кролик
Валидировано для:
IHC
Характеристики
Техническое описание
| Русское название | PAG324Mu04 Поликлональное антитело к PZP (мышь) <Cloud-Clone,Китай> |
| Каталожный номер | PAG324Mu04 |
| Название антигена | Pregnancy Zone Protein (PZP) |
| UNIPROT | Q61838 |
| Иммуноген | RPG324Mu04-Recombinant Pregnancy Zone Protein (PZP) |
| Английские синонимы | CPAMD6, C3 and PZP-like alpha-2-macroglobulin domain-containing protein 6 |
Реактивность подтвержденная Нужна другая реактивность? |
мышь |
| Источник (хозяин) | кролик |
| Клональность | поликлональное |
| Рекомбинантное | нет |
| Готовое к использованию | нет |
| Концентрация | 0.5 мг/мл |
| Конъюгат | По запросу: HRP, biotin, PerCP, PE, Cy3, FITC, Cy7, Cy5.5, PE-Cy5, PE-Cy7, PerCp-Cy5.5, APC, Cy5, PE-Cy3, PE-Cy5.5, APC-Cy7, Biotin-APC, FITC-Biotin, TRITC, APC-Cy5, AF488, AF594, AF405, AF555, AF700, AF647, AF750 |
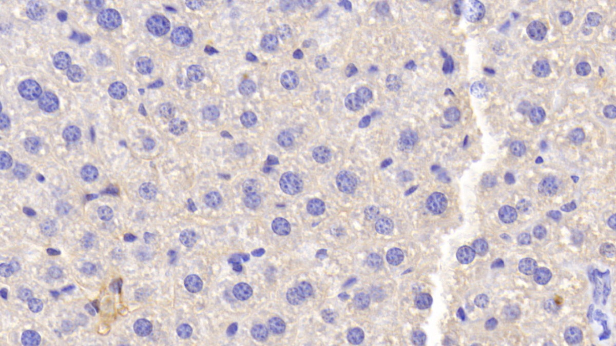
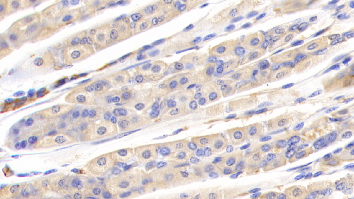
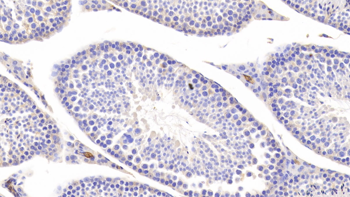
| Валидировано для | IHC Иммуногистохимия |
| Рекомендуемые разведения | WB: 0.5-2 мкг/мл; IHC: 5-20 мкг/мл; ICC: 5-20 мкг/мл; Оптимальное разведение определяется конечным потребителем |
| Метод очистки | Антигенспецифическая аффинная хроматография с последующей аффинной хроматографией с белком А |
| Состав буфера | 0.01M PBS, pH7.4, 0.05% Proclin-300, 50% глицерин |
| Условия доставки | термобокс с аккумуляторами холода |
| Условия хранения | Сразу после получения аликвотировать и хранить при -20ºС до 24 месяцев. Для частого использования хранить при +4ºС не более 2 недель. Избегать повторения циклов замерзания/оттаивания |
| Срок хранения | 24 месяца |
| Производитель | Cloud-Clone Corp. |
| Ссылка на страницу товара на сайте производителя | http://www.cloud-clone.com/products/PAG324Mu04.html |
|
Артикул
|
Наименование |
Производитель
|
|---|
|
Артикул
|
Наименование |
Производитель
|
|---|
|
Артикул
|
Наименование |
Производитель
|
|---|
Акции и предложения
Популярные продукты:
Anti-Human ACVR2B Antibody (SAb2422) (RHG63704)
Источник (хозяин): человек
Реактивность подтвержденная: человек
Валидировано для: ELISA
Реактивность подтвержденная: человек
Валидировано для: ELISA
Anti-Adeno-Associated Virus 9/AAV9 Antibody (Fs0365) (RVV46704)
Источник (хозяин): человек
Реактивность подтвержденная: вирусы
Валидировано для: ELISA, NEUT
Реактивность подтвержденная: вирусы
Валидировано для: ELISA, NEUT
Monoclonal Antibody to Alpha-1-Acid Glycoprotein (a1AGP) (MAA816Ra28)
Источник (хозяин): мышь
Реактивность подтвержденная: крыса
Валидировано для: ICC, IF
Реактивность подтвержденная: крыса
Валидировано для: ICC, IF
Monkey N acetylneuraminate lyase(NPL) ELISA kit (E09N0555)
Организм: обезьяна
Sheep Activating signal cointegor 1 ELISA kit (E14A2014)
Организм: овца

